Rabbit anti-Human CHGA Polyclonal Antibody | anti-CHGA antibody
CHGA Polyclonal Antibody
Gene Names
CHGA; CGA
Reactivity
Human
Applications
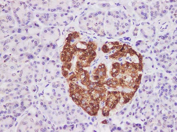
Immunohistochemistry
Purity
Antigen Affinity Purification
Synonyms
CHGA, Antibody; CHGA Polyclonal Antibody; Chromogranin A; CHGA; CGA; Chromogranin-A; Pituitary secretory protein I; SP-I; anti-CHGA antibody
Host
Rabbit
Reactivity
Human
Clonality
Polyclonal
Isotype
IgG
Purity/Purification
Antigen Affinity Purification
Form/Format
PBS with 0.02% sodium azide, 1% protective protein and 50% glycerol, pH7.4
Concentration
1mg/mL (varies by lot)
Applicable Applications for anti-CHGA antibody
IHC (Immunohistochemistry)
Immunogen
Recombinant Human CHGA protein expressed by Mammalian
Preparation and Storage
Store at -20 degree C Valid for 12 months. Avoid freeze/thaw cycles. Protected from prolonged exposure to light.
Related Product Information for anti-CHGA antibody
Human Chromogranin A (CHGA) an acidic protein and a member of the chromogranin/secretogranin family of neuroendocrine secretory proteins. It is located in secretory vesicles of neurons and endocrine cells such as islet beta cell secretory granules in pancreas. Chromogranin A expression has been oberserved in neuroendocrine tumors, medullary thyroid carcinoma, as well as carcinoid tumors.
Product Categories/Family for anti-CHGA antibody
NCBI and Uniprot Product Information
NCBI GI #
NCBI GeneID
NCBI Accession #
NCBI GenBank Nucleotide #
Molecular Weight
50,688 Da
NCBI Official Full Name
chromogranin-A preproprotein
NCBI Official Synonym Full Names
chromogranin A (parathyroid secretory protein 1)
NCBI Official Symbol
CHGA
NCBI Official Synonym Symbols
CGA
NCBI Protein Information
chromogranin-A; SP-I; pituitary secretory protein I; parathyroid secretory protein 1; betagranin (N-terminal fragment of chromogranin A)
UniProt Protein Name
Chromogranin-A
UniProt Gene Name
CHGA
UniProt Synonym Gene Names
CgA; SP-I
UniProt Entry Name
CMGA_HUMAN
Customer Reviews
Loading reviews...
Share Your Experience
Similar Products
Product Notes
The CHGA chga (Catalog #AAA179744) is an Antibody produced from Rabbit and is intended for research purposes only. The product is available for immediate purchase. The CHGA Polyclonal Antibody reacts with Human and may cross-react with other species as described in the data sheet. AAA Biotech's CHGA can be used in a range of immunoassay formats including, but not limited to, IHC (Immunohistochemistry). Researchers should empirically determine the suitability of the CHGA chga for an application not listed in the data sheet. Researchers commonly develop new applications and it is an integral, important part of the investigative research process. It is sometimes possible for the material contained within the vial of "CHGA, Polyclonal Antibody" to become dispersed throughout the inside of the vial, particularly around the seal of said vial, during shipment and storage. We always suggest centrifuging these vials to consolidate all of the liquid away from the lid and to the bottom of the vial prior to opening. Please be advised that certain products may require dry ice for shipping and that, if this is the case, an additional dry ice fee may also be required.Precautions
All products in the AAA Biotech catalog are strictly for research-use only, and are absolutely not suitable for use in any sort of medical, therapeutic, prophylactic, in-vivo, or diagnostic capacity. By purchasing a product from AAA Biotech, you are explicitly certifying that said products will be properly tested and used in line with industry standard. AAA Biotech and its authorized distribution partners reserve the right to refuse to fulfill any order if we have any indication that a purchaser may be intending to use a product outside of our accepted criteria.Disclaimer
Though we do strive to guarantee the information represented in this datasheet, AAA Biotech cannot be held responsible for any oversights or imprecisions. AAA Biotech reserves the right to adjust any aspect of this datasheet at any time and without notice. It is the responsibility of the customer to inform AAA Biotech of any product performance issues observed or experienced within 30 days of receipt of said product. To see additional details on this or any of our other policies, please see our Terms & Conditions page.Item has been added to Shopping Cart
If you are ready to order, navigate to Shopping Cart and get ready to checkout.
