Rabbit CHST13 Polyclonal Antibody | anti-CHST13 antibody
CHST13 antibody
Gene Names
CHST13; C4ST3
Applications
ELISA, Immunohistochemistry, Western Blot
Synonyms
CHST13, Antibody; CHST13 antibody; Polyclonal CHST13; Anti-CHST13; C4ST-3; C4ST3; carbohydrate (chondroitin 4) sulfotransferase 13; Carbohydrate sulfotransferase 13; Chondroitin 4-O-sulfotransferase 3; Chondroitin 4-sulfotransferase 3; CHST13; CHSTD; MGC119278; MGC119279; MGC119281; anti-CHST13 antibody
Host
Rabbit
Clonality
Polyclonal
Isotype
IgG
Specificity
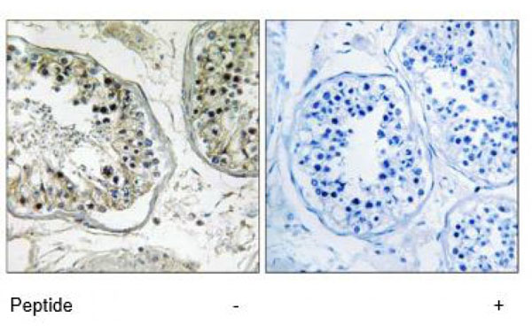
CHST13 antibody detects endogenous levels of total CHST13 protein
Form/Format
Supplied in PBS (without Mg2+ and Ca2+), pH 7.4, 150mM NaCl, 0.02% sodium azide and 50% glycerol
Concentration
1 mg/ml (varies by lot)
Sequence Length
225
Applicable Applications for anti-CHST13 antibody
ELISA, IHC (Immunohistochemistry), WB (Western Blot)
Biological Significance
CHST13 catalyzes the transfer of sulfate to position 4 of the N-acetylgalactosamine (GalNAc) residue of chondroitin.
Immunogen
CHST13 antibody was raised in Rabbit using a synthesized peptide derived from internal of human CHST13 as the immunogen
Preparation and Storage
Store at -20 degree C for 1 year
Related Product Information for anti-CHST13 antibody
Purified Rabbit polyclonal CHST13 antibody
Product Categories/Family for anti-CHST13 antibody
NCBI and Uniprot Product Information
NCBI GI #
NCBI GeneID
Molecular Weight
25,489 Da
NCBI Official Full Name
CHST13 protein
NCBI Official Synonym Full Names
carbohydrate (chondroitin 4) sulfotransferase 13
NCBI Official Symbol
CHST13
NCBI Official Synonym Symbols
C4ST3
NCBI Protein Information
carbohydrate sulfotransferase 13
UniProt Protein Name
Carbohydrate sulfotransferase 13
UniProt Gene Name
CHST13
UniProt Synonym Gene Names
C4ST-3; C4ST3
UniProt Entry Name
CHSTD_HUMAN
Customer Reviews
Loading reviews...
Share Your Experience
Similar Products
Product Notes
The CHST13 chst13 (Catalog #AAA224358) is an Antibody produced from Rabbit and is intended for research purposes only. The product is available for immediate purchase. AAA Biotech's CHST13 can be used in a range of immunoassay formats including, but not limited to, ELISA, IHC (Immunohistochemistry), WB (Western Blot). Researchers should empirically determine the suitability of the CHST13 chst13 for an application not listed in the data sheet. Researchers commonly develop new applications and it is an integral, important part of the investigative research process. It is sometimes possible for the material contained within the vial of "CHST13, Polyclonal Antibody" to become dispersed throughout the inside of the vial, particularly around the seal of said vial, during shipment and storage. We always suggest centrifuging these vials to consolidate all of the liquid away from the lid and to the bottom of the vial prior to opening. Please be advised that certain products may require dry ice for shipping and that, if this is the case, an additional dry ice fee may also be required.Precautions
All products in the AAA Biotech catalog are strictly for research-use only, and are absolutely not suitable for use in any sort of medical, therapeutic, prophylactic, in-vivo, or diagnostic capacity. By purchasing a product from AAA Biotech, you are explicitly certifying that said products will be properly tested and used in line with industry standard. AAA Biotech and its authorized distribution partners reserve the right to refuse to fulfill any order if we have any indication that a purchaser may be intending to use a product outside of our accepted criteria.Disclaimer
Though we do strive to guarantee the information represented in this datasheet, AAA Biotech cannot be held responsible for any oversights or imprecisions. AAA Biotech reserves the right to adjust any aspect of this datasheet at any time and without notice. It is the responsibility of the customer to inform AAA Biotech of any product performance issues observed or experienced within 30 days of receipt of said product. To see additional details on this or any of our other policies, please see our Terms & Conditions page.Item has been added to Shopping Cart
If you are ready to order, navigate to Shopping Cart and get ready to checkout.
