Rabbit anti-Human CLPTM1L Polyclonal Antibody | anti-CLPTM1L antibody
CLPTM1L Antibody
Gene Names
CLPTM1L; CRR9
Reactivity
Human
Applications
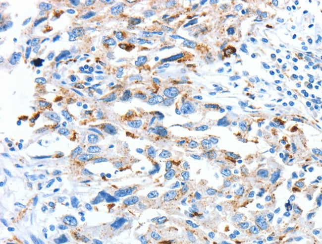
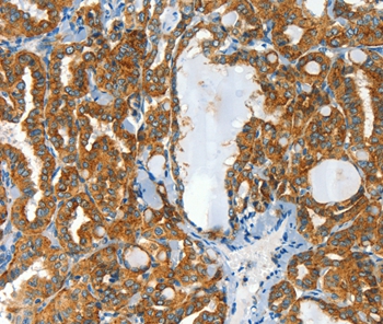
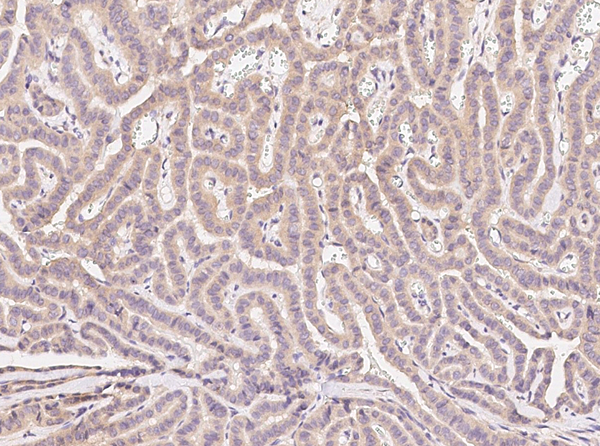
Immunohistochemistry
Purity
Antigen affinity purification.
Synonyms
CLPTM1L, Antibody; CLPTM1L Antibody; CRR9; anti-CLPTM1L antibody
Host
Rabbit
Reactivity
Human
Clonality
Polyclonal
Specificity
The antibody detects endogenous levels of total CLPTM1L protein.
Purity/Purification
Antigen affinity purification.
Form/Format
Rabbit IgG in pH7.3 PBS, 0.05% NaN3, 50% Glycerol.
Concentration
2.6 mg/ml (varies by lot)
Sequence Length
538
Applicable Applications for anti-CLPTM1L antibody
IHC (Immunohistochemistry)
Immunogen Type
Peptide
Immunogen Description
Synthetic peptide corresponding to a region derived from internal residues of human CLPTM1-like
Target Name
CLPTM1L
Preparation and Storage
Store at -20 degree C
Related Product Information for anti-CLPTM1L antibody
Cleft lip and palate transmembrane protein 1-like protein (CLPTM1-like protein), also known as cisplatin resistance-related protein 9 (CRR9p), is a protein that in humans is encoded by the CLPTM1L gene. CRR9p is associated with cisplatin-induced apoptosis. CLPTM1L, which lies within a cancer susceptibility locus on chromosome 5 (5p15.33), has been found to be commonly over-expressed in lung tumors and to confer resistance to apoptosis caused by genotoxic agents in association with up-regulation of the anti-apoptotic protein, Bcl-xL.
Product Categories/Family for anti-CLPTM1L antibody
NCBI and Uniprot Product Information
NCBI GI #
NCBI GeneID
NCBI Accession #
NCBI GenBank Nucleotide #
Molecular Weight
58,356 Da
NCBI Official Full Name
cleft lip and palate transmembrane protein 1-like protein
NCBI Official Synonym Full Names
CLPTM1-like
NCBI Official Symbol
CLPTM1L
NCBI Official Synonym Symbols
CRR9
NCBI Protein Information
cleft lip and palate transmembrane protein 1-like protein
UniProt Protein Name
Cleft lip and palate transmembrane protein 1-like protein
UniProt Gene Name
CLPTM1L
UniProt Synonym Gene Names
CRR9; CLPTM1-like protein; CRR9p
UniProt Entry Name
CLP1L_HUMAN
Customer Reviews
Loading reviews...
Share Your Experience
Similar Products
Product Notes
The CLPTM1L clptm1l (Catalog #AAA301052) is an Antibody produced from Rabbit and is intended for research purposes only. The product is available for immediate purchase. The CLPTM1L Antibody reacts with Human and may cross-react with other species as described in the data sheet. AAA Biotech's CLPTM1L can be used in a range of immunoassay formats including, but not limited to, IHC (Immunohistochemistry). Researchers should empirically determine the suitability of the CLPTM1L clptm1l for an application not listed in the data sheet. Researchers commonly develop new applications and it is an integral, important part of the investigative research process. It is sometimes possible for the material contained within the vial of "CLPTM1L, Polyclonal Antibody" to become dispersed throughout the inside of the vial, particularly around the seal of said vial, during shipment and storage. We always suggest centrifuging these vials to consolidate all of the liquid away from the lid and to the bottom of the vial prior to opening. Please be advised that certain products may require dry ice for shipping and that, if this is the case, an additional dry ice fee may also be required.Precautions
All products in the AAA Biotech catalog are strictly for research-use only, and are absolutely not suitable for use in any sort of medical, therapeutic, prophylactic, in-vivo, or diagnostic capacity. By purchasing a product from AAA Biotech, you are explicitly certifying that said products will be properly tested and used in line with industry standard. AAA Biotech and its authorized distribution partners reserve the right to refuse to fulfill any order if we have any indication that a purchaser may be intending to use a product outside of our accepted criteria.Disclaimer
Though we do strive to guarantee the information represented in this datasheet, AAA Biotech cannot be held responsible for any oversights or imprecisions. AAA Biotech reserves the right to adjust any aspect of this datasheet at any time and without notice. It is the responsibility of the customer to inform AAA Biotech of any product performance issues observed or experienced within 30 days of receipt of said product. To see additional details on this or any of our other policies, please see our Terms & Conditions page.Item has been added to Shopping Cart
If you are ready to order, navigate to Shopping Cart and get ready to checkout.
