Rabbit COPS5 Polyclonal Antibody | anti-COPS5 antibody
COPS5 Antibody
Phosphate buffered saline, pH 7.4, 150mM NaCl, 0.02% sodium azide and 50% glycerol.
IF (Immunofluorescence)
(AAA326367 staining 293 cells by IF/ICC. The sample were fixed with PFA and permeabilized in 0.1% Triton X-100, then blocked in 10% serum for 45 minutes at 25 degree C. The primary antibody was diluted at 1/200 and incubated with the sample for 1 hour at 37 degree C. An Alexa Fluor 594 conjugated goat anti-rabbit IgG (H+L) antibody, diluted at 1/600, was used as secondary antibody.)
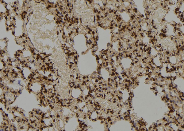
IHC (Immunohiostchemistry)
(AAA326367 at 1/100 staining Rat lung tissue by IHC-P. The sample was formaldehyde fixed and a heat mediated antigen retrieval step in citrate buffer was performed. The sample was then blocked and incubated with the antibody for 1.5 hours at 22 degree C. An HRP conjugated goat anti-rabbit antibody was used as the secondary.)
WB (Western Blot)
(Western blot analysis of Hela whole cell lysates, using COPS5 Antibody. The lane on the left is treated with the antigen-specific peptide.)
Function: Probable protease subunit of the COP9 signalosome complex (CSN), a complex involved in various cellular and developmental processes. The CSN complex is an essential regulator of the ubiquitin (Ubl) conjugation pathway by mediating the deneddylation of the cullin subunits of the SCF-type E3 ligase complexes, leading to decrease the Ubl ligase activity of SCF-type complexes such as SCF, CSA or DDB2. The complex is also involved in phosphorylation of p53/TP53, c-jun/JUN, IkappaBalpha/NFKBIA, ITPK1 and IRF8, possibly via its association with CK2 and PKD kinases. CSN-dependent phosphorylation of TP53 and JUN promotes and protects degradation by the Ubl system, respectively. In the complex, it probably acts as the catalytic center that mediates the cleavage of Nedd8 from cullins. It however has no metalloprotease activity by itself and requires the other subunits of the CSN complex. Interacts directly with a large number of proteins that are regulated by the CSN complex, confirming a key role in the complex. Promotes the proteasomal degradation of BRSK2.
Subunit Structure: Component of the CSN complex, composed of COPS1/GPS1, COPS2, COPS3, COPS4, COPS5, COPS6, COPS7 (COPS7A or COPS7B), COPS8 and COPS9 isoform 1 (PubMed:26456823). In the complex, it probably interacts directly with COPS1, COPS2, COPS4, COPS6 and COPS7 (COPS7A or COPS7B) and COPS9 isoform 1 (PubMed:26456823). Interacts with COPS9 isoform 2 (PubMed:23776465). The CSN complex interacts with the BRISC complex. Also exists as monomeric form. Interacts with TP53, MIF, JUN, UCHL1, NCOA1, HIF1A, CDKN1B, BCL3, GFER, PGR, LHCGR, SMAD4, SMAD7, ID1, ID3, ITGB2 and TOP2A. Part of a complex consisting of RANBP9, Ran, DYRK1B and COPS5. Interacts with IFIT3. Interacts with BRSK2. Interacts with ZDHHC16 (PubMed:17123647). Interacts with MINDY3 (PubMed:21499297). Interacts with FANK1; regulates the phosphorylation of JUN and the transcriptional activity of AP-1 (PubMed:20978819).
Similarity: The JAMM motif is essential for the protease activity of the CSN complex resulting in deneddylation of cullins. It constitutes the catalytic center of the complex (By similarity). Belongs to the peptidase M67A family. CSN5 subfamily.
NCBI and Uniprot Product Information
Predicted: 38 kDa
Customer Reviews
Loading reviews...
Share Your Experience
Similar Products
COPS5 Antibody
COPS5 Antibody
Product Notes
The COPS5 cops5 (Catalog #AAA326367) is an Antibody produced from Rabbit and is intended for research purposes only. The product is available for immediate purchase. The COPS5 Antibody reacts with Human, Mouse, Rat and may cross-react with other species as described in the data sheet. AAA Biotech's COPS5 can be used in a range of immunoassay formats including, but not limited to, ELISA, ICC (Immunocytochemistry), IF (Immunofluorescence), IHC (Immunohistochemistry), WB (Western Blot). Researchers should empirically determine the suitability of the COPS5 cops5 for an application not listed in the data sheet. Researchers commonly develop new applications and it is an integral, important part of the investigative research process. It is sometimes possible for the material contained within the vial of "COPS5, Polyclonal Antibody" to become dispersed throughout the inside of the vial, particularly around the seal of said vial, during shipment and storage. We always suggest centrifuging these vials to consolidate all of the liquid away from the lid and to the bottom of the vial prior to opening. Please be advised that certain products may require dry ice for shipping and that, if this is the case, an additional dry ice fee may also be required.Precautions
All products in the AAA Biotech catalog are strictly for research-use only, and are absolutely not suitable for use in any sort of medical, therapeutic, prophylactic, in-vivo, or diagnostic capacity. By purchasing a product from AAA Biotech, you are explicitly certifying that said products will be properly tested and used in line with industry standard. AAA Biotech and its authorized distribution partners reserve the right to refuse to fulfill any order if we have any indication that a purchaser may be intending to use a product outside of our accepted criteria.Disclaimer
Though we do strive to guarantee the information represented in this datasheet, AAA Biotech cannot be held responsible for any oversights or imprecisions. AAA Biotech reserves the right to adjust any aspect of this datasheet at any time and without notice. It is the responsibility of the customer to inform AAA Biotech of any product performance issues observed or experienced within 30 days of receipt of said product. To see additional details on this or any of our other policies, please see our Terms & Conditions page.Item has been added to Shopping Cart
If you are ready to order, navigate to Shopping Cart and get ready to checkout.
