Chicken anti-Human CSNK1A1 / CK1 Alpha Polyclonal Antibody | anti-CSNK1A1 antibody
Anti-CSNK1A1 / CK1 Alpha Antibody IHC-plus
WB (Western Blot)
(Western blot of whole rat spinal cord homogenate stained with chicken casein kinase 1 alpha antibody, at dilution of 1:10,000. A prominent band running with an apparent SDS-PAGE molecular weight of ~38kDa and a less prominent band at ~34kDa corresponds to other CK1 alpha isotypes.)
ICC (Immunocytochemistry)
(High power image of HeLa cells stained with chicken casein kinase 1 alpha antibody (red) and our panspecific mouse monoclonal antibody to nuclear pore complexes MCA-39C7 (green). Casein kinase 1 alpha has a particulate distribution both in the nucleus and the cytoplasm. Blue is the Hoeschst DNA stain. High quality immunocytochemical images made using this antibody are shown in reference 4.)
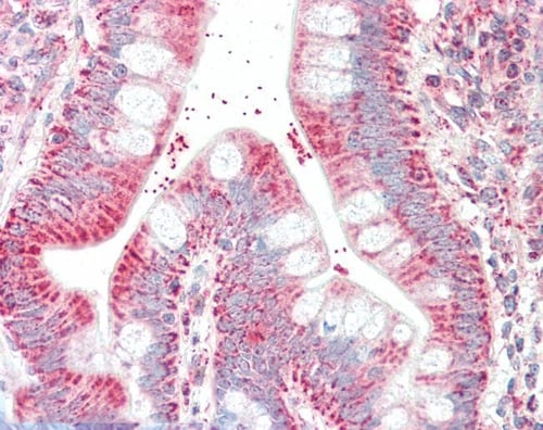
IHC (Immunohistochemistry)
(Anti-CSNK1A1 / CK1 Alpha antibody IHC staining of human small intestine. Immunohistochemistry of formalin-fixed, paraffin-embedded tissue after heat-induced antigen retrieval. Antibody dilution 1:500.)
NCBI and Uniprot Product Information
Customer Reviews
Loading reviews...
Share Your Experience
Similar Products
Product Notes
The CSNK1A1 csnk1a1 (Catalog #AAA52665) is an Antibody produced from Chicken and is intended for research purposes only. The product is available for immediate purchase. The Anti-CSNK1A1 / CK1 Alpha Antibody IHC-plus reacts with Human and may cross-react with other species as described in the data sheet. AAA Biotech's CSNK1A1 / CK1 Alpha can be used in a range of immunoassay formats including, but not limited to, WB (Western Blot), IF (Immunofluorescence), ICC (Immunocytochemistry), IHC (Immunohistochemistry). Researchers should empirically determine the suitability of the CSNK1A1 csnk1a1 for an application not listed in the data sheet. Researchers commonly develop new applications and it is an integral, important part of the investigative research process. It is sometimes possible for the material contained within the vial of "CSNK1A1 / CK1 Alpha, Polyclonal Antibody" to become dispersed throughout the inside of the vial, particularly around the seal of said vial, during shipment and storage. We always suggest centrifuging these vials to consolidate all of the liquid away from the lid and to the bottom of the vial prior to opening. Please be advised that certain products may require dry ice for shipping and that, if this is the case, an additional dry ice fee may also be required.Precautions
All products in the AAA Biotech catalog are strictly for research-use only, and are absolutely not suitable for use in any sort of medical, therapeutic, prophylactic, in-vivo, or diagnostic capacity. By purchasing a product from AAA Biotech, you are explicitly certifying that said products will be properly tested and used in line with industry standard. AAA Biotech and its authorized distribution partners reserve the right to refuse to fulfill any order if we have any indication that a purchaser may be intending to use a product outside of our accepted criteria.Disclaimer
Though we do strive to guarantee the information represented in this datasheet, AAA Biotech cannot be held responsible for any oversights or imprecisions. AAA Biotech reserves the right to adjust any aspect of this datasheet at any time and without notice. It is the responsibility of the customer to inform AAA Biotech of any product performance issues observed or experienced within 30 days of receipt of said product. To see additional details on this or any of our other policies, please see our Terms & Conditions page.Item has been added to Shopping Cart
If you are ready to order, navigate to Shopping Cart and get ready to checkout.
