Rabbit CtBP1 Polyclonal Antibody | anti-CtBP1 antibody
Phospho-CtBP1(Ser422) Antibody
Phosphate buffered saline, pH 7.4, 150mM NaCl, 0.02% sodium azide and 50% glycerol.
IF (Immunofluorescence)
(AAA321241 staining Hela by IF/ICC. The sample were fixed with PFA and permeabilized in 0.1% Triton X-100, then blocked in 10% serum for 45 minutes at 25 degree C. The primary antibody was diluted at 1/200 and incubated with the sample for 1 hour at 37 degree C. An Alexa Fluor 594 conjugated goat anti-rabbit IgG (H+L) Ab, diluted at 1/600, was used as the secondary antibody.)
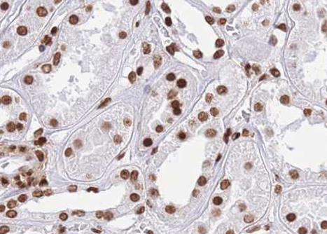
IHC (Immunohiostchemistry)
(AAA321241 at 1/100 staining human kidney tissue sections by IHC-P. The tissue was formaldehyde fixed and a heat mediated antigen retrieval step in citrate buffer was performed. The tissue was then blocked and incubated with the antibody for 1.5 hours at 22 degree C. An HRP conjugated goat anti-rabbit antibody was used as the secondary.)
WB (Western Blot)
(Western blot analysis on Jurkat cell lysate using Phospho-CtBP1(Ser422) Antibody. The lane on the left is treated with the antigen-specific peptide.)
Function: Corepressor targeting diverse transcription regulators such as GLIS2 or BCL6. Has dehydrogenase activity. Involved in controlling the equilibrium between tubular and stacked structures in the Golgi complex. Functions in brown adipose tissue (BAT) differentiation.
Subunit Structure: Homo-or heterodimer. Heterodimer with CTBP2. Interacts with PRDM16; the interaction represses white adipose tissue (WAT)-specific genes expression. Interacts with GLIS2, FOXP2, HDAC4, HDAC5, HDAC9 and ZNF217. Interacts with adenovirus E1A protein (via its C-terminus); the interaction disrupts the interaction of CTBP1 with RBBP8. Interacts with Epstein-Barr virus EBNA3 and EBNA6. Interacts with ELK3 (via its PXDLS motif). Interacts with RBBP8 (via its PXDLS motif); the interaction is disrupted by binding to adenovirus E1A. Interacts with FOXP1, HIPK2, PNN, NRIP1, MECOM, ZFHX1B and WIZ. Interacts with ZNF366 (via PXDLS motif) (PubMed:16393996, PubMed:17085477). Interaction with SATB1 (non-acetylated form); the interaction stabilizes its attachment to DNA and promotes transcription repression. Interacts with BCL6; the interaction is required for BCL6 transcriptional autoinhibition and inhibition of some BCL6 target genes. Interacts with IKZF4 (By similarity). Interacts with human adenovirus 5 E1A protein; this interaction seems to potentiate viral replication (PubMed:23747199). Interacts with MCRIP1 (unphosphorylated form, via the PXDLS motif); competitively inhibiting CTBP-ZEB1 interaction (PubMed:25728771).
Post-translational Modifications: The level of phosphorylation appears to be regulated during the cell cycle. Phosphorylation by HIPK2 on Ser-422 induces proteasomal degradation. ADP-ribosylated; when cells are exposed to brefeldin A. Sumoylation on Lys-428 is promoted by the E3 SUMO-protein ligase CBX4.
Similarity: Belongs to the D-isomer specific 2-hydroxyacid dehydrogenase family.
NCBI and Uniprot Product Information
Predicted: 48 kDa
Customer Reviews
Loading reviews...
Share Your Experience
Similar Products
Product Notes
The CtBP1 ctbp1 (Catalog #AAA321241) is an Antibody produced from Rabbit and is intended for research purposes only. The product is available for immediate purchase. The Phospho-CtBP1(Ser422) Antibody reacts with Human, Mouse, Rat and may cross-react with other species as described in the data sheet. AAA Biotech's CtBP1 can be used in a range of immunoassay formats including, but not limited to, ELISA, ICC (Immunocytochemistry), IF (Immunofluorescence), IHC (Immunohistochemistry), WB (Western Blot). Researchers should empirically determine the suitability of the CtBP1 ctbp1 for an application not listed in the data sheet. Researchers commonly develop new applications and it is an integral, important part of the investigative research process. It is sometimes possible for the material contained within the vial of "CtBP1, Polyclonal Antibody" to become dispersed throughout the inside of the vial, particularly around the seal of said vial, during shipment and storage. We always suggest centrifuging these vials to consolidate all of the liquid away from the lid and to the bottom of the vial prior to opening. Please be advised that certain products may require dry ice for shipping and that, if this is the case, an additional dry ice fee may also be required.Precautions
All products in the AAA Biotech catalog are strictly for research-use only, and are absolutely not suitable for use in any sort of medical, therapeutic, prophylactic, in-vivo, or diagnostic capacity. By purchasing a product from AAA Biotech, you are explicitly certifying that said products will be properly tested and used in line with industry standard. AAA Biotech and its authorized distribution partners reserve the right to refuse to fulfill any order if we have any indication that a purchaser may be intending to use a product outside of our accepted criteria.Disclaimer
Though we do strive to guarantee the information represented in this datasheet, AAA Biotech cannot be held responsible for any oversights or imprecisions. AAA Biotech reserves the right to adjust any aspect of this datasheet at any time and without notice. It is the responsibility of the customer to inform AAA Biotech of any product performance issues observed or experienced within 30 days of receipt of said product. To see additional details on this or any of our other policies, please see our Terms & Conditions page.Item has been added to Shopping Cart
If you are ready to order, navigate to Shopping Cart and get ready to checkout.
