Rabbit Cullin 4B Polyclonal Antibody | anti-CUL4B antibody
Anti-Cullin 4B antibody
Gene Names
CUL4B; SFM2; MRXSC; CUL-4B; MRXHF2; MRXS15
Reactivity
Human, Mouse, Rat, Zebrafish
Applications
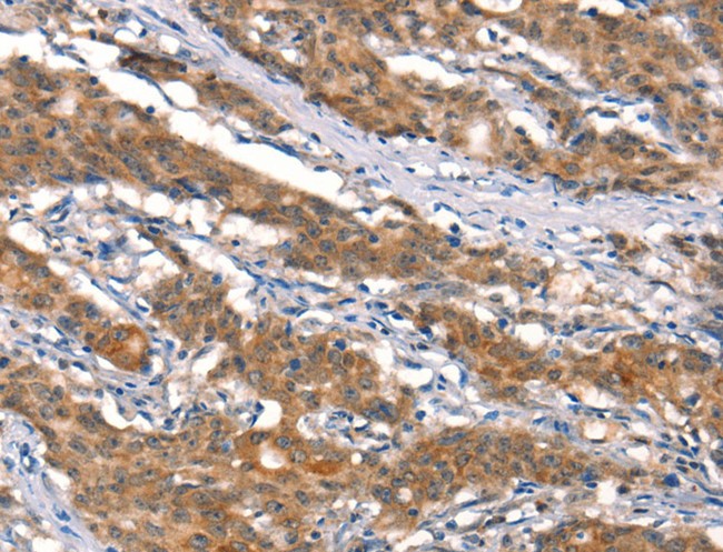
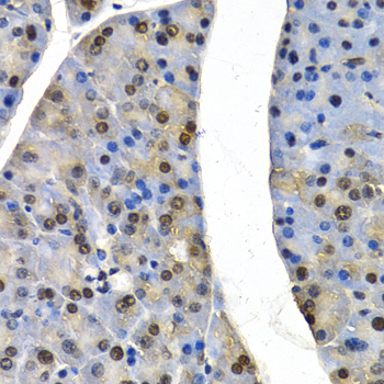
Immunohistochemistry, Western Blot
Purity
Immunogen affinity purified.
Synonyms
Cullin 4B, Antibody; Anti-Cullin 4B antibody; Cullin-4B(CUL-4B); cullin 4B; CUL 4B antibody; CUL-4B antibody; CUL4B antibody; CUL4B_HUMAN antibody; Cullin-4B antibody; DKFZp686F1470 antibody; KIAA0695 antibody; MRXHF2 antibody; MRXSC antibody; SFM2 antibody; anti-CUL4B antibody
Host
Rabbit
Reactivity
Human, Mouse, Rat, Zebrafish
Clonality
Polyclonal
Isotype
IgG
Purity/Purification
Immunogen affinity purified.
Form/Format
Lyophilized
Sequence Length
913
Applicable Applications for anti-CUL4B antibody
IHC (Immunohistochemistry), WB (Western Blot)
Immunogen
A synthetic peptide corresponding to a sequence at the C-terminus of human Cullin 4B (895-913aa DRDYMERDKENPNQYNYIA), identical to the related rat and mouse sequences.
Contents
Each vial contains 5mg BSA, 0.9mg NaCl, 0.2mg Na2HPO4, 0.05mg Thimerosal, 0.05mg NaN3.
Reconstitution
Add 0.2ml of distilled water will yield a concentration of 500ug/ml.
Preparation and Storage
At -20 degree C for one year. After reconstitution, at 4 degree C for one month. It can also be aliquotted and stored frozen at -20 degree C for a longer time. Avoid repeated freezing and thawing.
Related Product Information for anti-CUL4B antibody
Description: Rabbit IgG polyclonal antibody for Cullin-4B(CUL4B) detection. Tested with WB, IHC-P in Human, Mouse, Rat, Zebrafish.
Background: Cullin 4B/CUL4B encodes a scaffold protein that organizes a cullin-RING(really interesting new gene) ubiquitin ligase(E3) complex in ubiquitylation. The CUL4 gene encodes a protein of 913 amino acids. The cullin domain is located between amino acid residues 217 and 815 and is characterized a by C-terminal globular domain(cullin homology domain) and a series of N-terminal repeats(cullin repeats). Ohtake et al.(2007) characterize a fat-soluble ligand-dependent ubiquitin ligase complex in human cell lines, in which dioxin receptor(AhR) is integrated as a component of a novel cullin 4B ubiquitin ligase complex, CUL4B(AhR). Complex assembly and ubiquitin ligase activity of CUL4B(AhR) in vitro and in vivo are dependent on the AhR ligand. In the CUL4B(AhR) complex, ligand-activated AhR acts as a substrate-specific adaptor component that targets sex steroid receptors for degradation. Their findings uncover a function for AhR as an atypical component of the ubiquitin ligase complex and demonstrate a non-genomic signalling pathway in which fat-soluble ligands regulate target-protein-selective degradation through a ubiquitin ligase complex.
Background: Cullin 4B/CUL4B encodes a scaffold protein that organizes a cullin-RING(really interesting new gene) ubiquitin ligase(E3) complex in ubiquitylation. The CUL4 gene encodes a protein of 913 amino acids. The cullin domain is located between amino acid residues 217 and 815 and is characterized a by C-terminal globular domain(cullin homology domain) and a series of N-terminal repeats(cullin repeats). Ohtake et al.(2007) characterize a fat-soluble ligand-dependent ubiquitin ligase complex in human cell lines, in which dioxin receptor(AhR) is integrated as a component of a novel cullin 4B ubiquitin ligase complex, CUL4B(AhR). Complex assembly and ubiquitin ligase activity of CUL4B(AhR) in vitro and in vivo are dependent on the AhR ligand. In the CUL4B(AhR) complex, ligand-activated AhR acts as a substrate-specific adaptor component that targets sex steroid receptors for degradation. Their findings uncover a function for AhR as an atypical component of the ubiquitin ligase complex and demonstrate a non-genomic signalling pathway in which fat-soluble ligands regulate target-protein-selective degradation through a ubiquitin ligase complex.
NCBI and Uniprot Product Information
NCBI GI #
NCBI GeneID
Molecular Weight
84,017 Da
NCBI Official Full Name
Cullin-4B
NCBI Official Synonym Full Names
cullin 4B
NCBI Official Symbol
CUL4B
NCBI Official Synonym Symbols
SFM2; MRXSC; CUL-4B; MRXHF2; MRXS15
NCBI Protein Information
cullin-4B
UniProt Protein Name
Cullin-4B
UniProt Gene Name
CUL4B
UniProt Synonym Gene Names
KIAA0695; CUL-4B
UniProt Entry Name
CUL4B_HUMAN
Customer Reviews
Loading reviews...
Share Your Experience
Similar Products
Product Notes
The CUL4B cul4b (Catalog #AAA45157) is an Antibody produced from Rabbit and is intended for research purposes only. The product is available for immediate purchase. The Anti-Cullin 4B antibody reacts with Human, Mouse, Rat, Zebrafish and may cross-react with other species as described in the data sheet. AAA Biotech's Cullin 4B can be used in a range of immunoassay formats including, but not limited to, IHC (Immunohistochemistry), WB (Western Blot). Researchers should empirically determine the suitability of the CUL4B cul4b for an application not listed in the data sheet. Researchers commonly develop new applications and it is an integral, important part of the investigative research process. It is sometimes possible for the material contained within the vial of "Cullin 4B, Polyclonal Antibody" to become dispersed throughout the inside of the vial, particularly around the seal of said vial, during shipment and storage. We always suggest centrifuging these vials to consolidate all of the liquid away from the lid and to the bottom of the vial prior to opening. Please be advised that certain products may require dry ice for shipping and that, if this is the case, an additional dry ice fee may also be required.Precautions
All products in the AAA Biotech catalog are strictly for research-use only, and are absolutely not suitable for use in any sort of medical, therapeutic, prophylactic, in-vivo, or diagnostic capacity. By purchasing a product from AAA Biotech, you are explicitly certifying that said products will be properly tested and used in line with industry standard. AAA Biotech and its authorized distribution partners reserve the right to refuse to fulfill any order if we have any indication that a purchaser may be intending to use a product outside of our accepted criteria.Disclaimer
Though we do strive to guarantee the information represented in this datasheet, AAA Biotech cannot be held responsible for any oversights or imprecisions. AAA Biotech reserves the right to adjust any aspect of this datasheet at any time and without notice. It is the responsibility of the customer to inform AAA Biotech of any product performance issues observed or experienced within 30 days of receipt of said product. To see additional details on this or any of our other policies, please see our Terms & Conditions page.Item has been added to Shopping Cart
If you are ready to order, navigate to Shopping Cart and get ready to checkout.
