Rabbit anti-Human CXCR2 Polyclonal Antibody | anti-CXCR2 antibody
Anti-CXCR2 Antibody
FCM/FACS (Flow Cytometry)
(Figure 3. Flow Cytometry analysis of human PBMC cells using anti-CXCR2 antibody (AAA125547).Overlay histogram showing human PBMC cells stained with AAA125547 (Blue line). The cells were blocked with 10% normal goat serum. And then incubated with rabbit anti-CXCR2 Antibody (AAA125547,1μg/1x106 cells) for 30 min at 20 degree C. DyLight®488 conjugated goat anti-rabbit IgG (5-10μg/1x106 cells) was used as secondary antibody for 30 minutes at 20 degree C. Isotype control antibody (Green line) was rabbit IgG (1μg/1x106) used under the same conditions. Unlabelled sample (Red line) was also used as a control.)
IHC (Immunohiostchemistry)
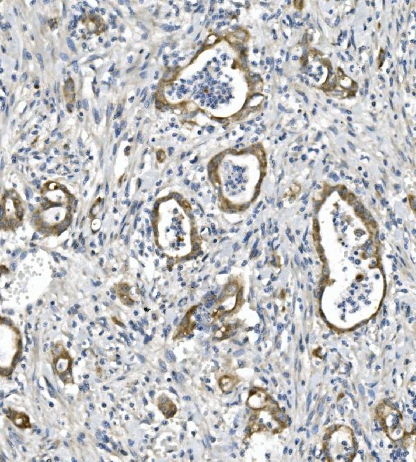
(Figure 2. IHC analysis of CXCR2 using anti-CXCR2 antibody (AAA125547).CXCR2 was detected in paraffin-embedded section of human rectal cancer tissue. Heat mediated antigen retrieval was performed in EDTA buffer (pH8. 0, epitope retrieval solution). The tissue section was blocked with 10% goat serum. The tissue section was then incubated with 1μg/ml rabbit anti-CXCR2 Antibody (AAA125547) overnight at 4 degree C. Biotinylated goat anti-rabbit IgG was used as secondary antibody and incubated for 30 minutes at 37 degree C. The tissue section was developed using Strepavidin-Biotin-Complex (SABC) with DAB as the chromogen.)
IHC (Immunohistochemistry)
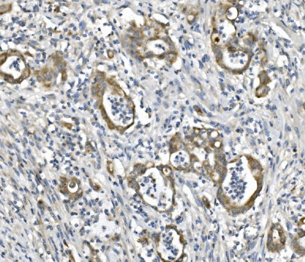
(Figure 1. IHC analysis of CXCR2 using anti-CXCR2 antibody (AAA125547).CXCR2 was detected in paraffin-embedded section of human rectal cancer tissue. Heat mediated antigen retrieval was performed in EDTA buffer (pH8. 0, epitope retrieval solution). The tissue section was blocked with 10% goat serum. The tissue section was then incubated with 1μg/ml rabbit anti-CXCR2 Antibody (AAA125547) overnight at 4 degree C. Biotinylated goat anti-rabbit IgG was used as secondary antibody and incubated for 30 minutes at 37 degree C. The tissue section was developed using Strepavidin-Biotin-Complex (SABC) with DAB as the chromogen.)
2. Cerretti D. P., Kozlosky C. J., Vanden Bos T., Nelson N., Gearing D. P., Beckmann M. P.
"Molecular characterization of receptors for human interleukin-8, GRO/melanoma growth-stimulatory activity and neutrophil activating peptide-2. "; Mol. Immunol. 30:359-367(1993).
3. Sprenger H., Lloyd A. R., Lautens L. L., Bonner T. I., Kelvin D. J.;"Structure, genomic organization, and expression of the human interleukin-8 receptor B gene. ";J. Biol. Chem. 269:11065-11072(1994).
NCBI and Uniprot Product Information
Customer Reviews
Loading reviews...
Share Your Experience
Similar Products
Product Notes
The CXCR2 cxcr2 (Catalog #AAA125547) is an Antibody produced from Rabbit and is intended for research purposes only. The product is available for immediate purchase. The Anti-CXCR2 Antibody reacts with Human and may cross-react with other species as described in the data sheet. AAA Biotech's CXCR2 can be used in a range of immunoassay formats including, but not limited to, FCM/FACS (Flow Cytometry), IHC (Immunohistochemistry). Researchers should empirically determine the suitability of the CXCR2 cxcr2 for an application not listed in the data sheet. Researchers commonly develop new applications and it is an integral, important part of the investigative research process. It is sometimes possible for the material contained within the vial of "CXCR2, Polyclonal Antibody" to become dispersed throughout the inside of the vial, particularly around the seal of said vial, during shipment and storage. We always suggest centrifuging these vials to consolidate all of the liquid away from the lid and to the bottom of the vial prior to opening. Please be advised that certain products may require dry ice for shipping and that, if this is the case, an additional dry ice fee may also be required.Precautions
All products in the AAA Biotech catalog are strictly for research-use only, and are absolutely not suitable for use in any sort of medical, therapeutic, prophylactic, in-vivo, or diagnostic capacity. By purchasing a product from AAA Biotech, you are explicitly certifying that said products will be properly tested and used in line with industry standard. AAA Biotech and its authorized distribution partners reserve the right to refuse to fulfill any order if we have any indication that a purchaser may be intending to use a product outside of our accepted criteria.Disclaimer
Though we do strive to guarantee the information represented in this datasheet, AAA Biotech cannot be held responsible for any oversights or imprecisions. AAA Biotech reserves the right to adjust any aspect of this datasheet at any time and without notice. It is the responsibility of the customer to inform AAA Biotech of any product performance issues observed or experienced within 30 days of receipt of said product. To see additional details on this or any of our other policies, please see our Terms & Conditions page.Item has been added to Shopping Cart
If you are ready to order, navigate to Shopping Cart and get ready to checkout.
