Rabbit DNAJC14 Polyclonal Antibody | anti-DNAJC14 antibody
DNAJC14 Polyclonal Antibody
Gene Names
DNAJC14; DNAJ; HDJ3; LIP6; DRIP78
Reactivity
Human, Mouse, Rat
Applications
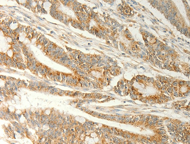
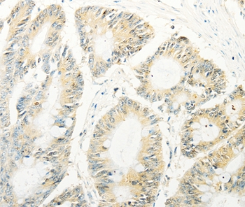
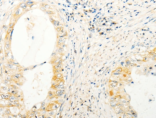
ELISA, Immunohistochemistry, Western Blot
Purity
Antigen Affinity Purification
Synonyms
DNAJC14, Antibody; DNAJC14 Polyclonal Antibody; DJC14; DnaJ (Hsp40) homolog, subfamily C, member 14; DNAJ; DnaJ homolog subfamily C member 14; DnaJ protein homolog 3; DNAJC14; Dopamine receptor interacting protein; Dopamine receptor-interacting protein of 78 kDa; DRiP78; HDj 3; HDJ-3; HDJ3; Human DnaJ protein 3; LIP6; LYST interacting protein LIP6; anti-DNAJC14 antibody
Host
Rabbit
Reactivity
Human, Mouse, Rat
Clonality
Polyclonal
Isotype
IgG
Purity/Purification
Antigen Affinity Purification
Form/Format
PBS with 0.05% NaN3 and 40% Glycerol, pH7.4
Concentration
1.2mg/mL (varies by lot)
Sequence Length
702
Applicable Applications for anti-DNAJC14 antibody
ELISA, IHC (Immunohistochemistry), WB (Western Blot)
Immunogen
Fusion protein of human DNAJC14
Conjugation
Unconjugated
Preparation and Storage
Store at -20 degree C. Avoid freeze/thaw cycles.
Related Product Information for anti-DNAJC14 antibody
Regulates the export of target proteins, such as DRD1, from the endoplasmic reticulum to the cell surface.
Product Categories/Family for anti-DNAJC14 antibody
NCBI and Uniprot Product Information
NCBI GI #
NCBI GeneID
NCBI Accession #
NCBI GenBank Nucleotide #
UniProt Accession #
Molecular Weight
78 kDa
NCBI Official Full Name
dnaJ homolog subfamily C member 14
NCBI Official Synonym Full Names
DnaJ heat shock protein family (Hsp40) member C14
NCBI Official Symbol
DNAJC14
NCBI Official Synonym Symbols
DNAJ; HDJ3; LIP6; DRIP78
NCBI Protein Information
dnaJ homolog subfamily C member 14
UniProt Protein Name
DnaJ homolog subfamily C member 14
UniProt Gene Name
DNAJC14
UniProt Synonym Gene Names
DRIP78; HDJ3; DRIP78; hDj-3
UniProt Entry Name
DJC14_HUMAN
Customer Reviews
Loading reviews...
Share Your Experience
Similar Products
DNAJC14 Antibody
Host: Rabbit
Reactivity: Human, Mouse, Rat
Apps: Immunohistochemistry, Western Blot
TRAF1 Antibody
Host: Rabbit
Reactivity: Human, Mouse
Apps: Immunohistochemistry, Western Blot, ELISA
Product Notes
The DNAJC14 dnajc14 (Catalog #AAA176399) is an Antibody produced from Rabbit and is intended for research purposes only. The product is available for immediate purchase. The DNAJC14 Polyclonal Antibody reacts with Human, Mouse, Rat and may cross-react with other species as described in the data sheet. AAA Biotech's DNAJC14 can be used in a range of immunoassay formats including, but not limited to, ELISA, IHC (Immunohistochemistry), WB (Western Blot). Researchers should empirically determine the suitability of the DNAJC14 dnajc14 for an application not listed in the data sheet. Researchers commonly develop new applications and it is an integral, important part of the investigative research process. It is sometimes possible for the material contained within the vial of "DNAJC14, Polyclonal Antibody" to become dispersed throughout the inside of the vial, particularly around the seal of said vial, during shipment and storage. We always suggest centrifuging these vials to consolidate all of the liquid away from the lid and to the bottom of the vial prior to opening. Please be advised that certain products may require dry ice for shipping and that, if this is the case, an additional dry ice fee may also be required.Precautions
All products in the AAA Biotech catalog are strictly for research-use only, and are absolutely not suitable for use in any sort of medical, therapeutic, prophylactic, in-vivo, or diagnostic capacity. By purchasing a product from AAA Biotech, you are explicitly certifying that said products will be properly tested and used in line with industry standard. AAA Biotech and its authorized distribution partners reserve the right to refuse to fulfill any order if we have any indication that a purchaser may be intending to use a product outside of our accepted criteria.Disclaimer
Though we do strive to guarantee the information represented in this datasheet, AAA Biotech cannot be held responsible for any oversights or imprecisions. AAA Biotech reserves the right to adjust any aspect of this datasheet at any time and without notice. It is the responsibility of the customer to inform AAA Biotech of any product performance issues observed or experienced within 30 days of receipt of said product. To see additional details on this or any of our other policies, please see our Terms & Conditions page.Item has been added to Shopping Cart
If you are ready to order, navigate to Shopping Cart and get ready to checkout.
