Rabbit anti-Human, Mouse DRAGON/RGMB Polyclonal Antibody | anti-RGMB antibody
Anti-DRAGON/RGMB Antibody
FCM/FACS (Flow Cytometry)
(Figure 2. Flow Cytometry analysis of A431 cells using anti-DRAGON/RGMB antibody (AAA125782).Overlay histogram showing A431 cells stained with AAA125782 (Blue line). The cells were blocked with 10% normal goat serum. And then incubated with rabbit anti-DRAGON/RGMB Antibody (AAA125782, 1μg/1x106 cells) for 30 min at 20 degree C. DyLight®488 conjugated goat anti-rabbit IgG (5-10μg/1x106 cells) was used as secondary antibody for 30 minutes at 20 degree C. Isotype control antibody (Green line) was rabbit IgG (1μg/1x106) used under the same conditions. Unlabelled sample (Red line) was also used as a control.)
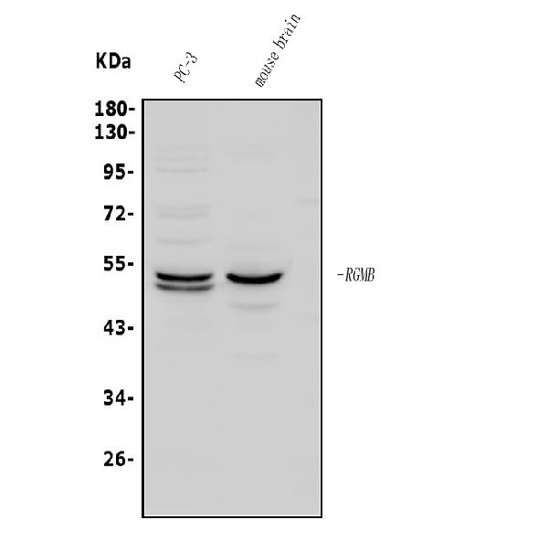
WB (Western Blot)
(Figure 1. Western blot analysis of DRAGON/RGMB using anti-DRAGON/RGMB antibody (AAA125782).Electrophoresis was performed on a 5-20% SDS-PAGE gel at 70V (Stacking gel) / 90V (Resolving gel) for 2-3 hours. The sample well of each lane was loaded with 50ug of sample under reducing conditions.Lane 1: human PC-3 whole cell lysatesLane 2: mouse brain tissue lysates.After Electrophoresis, proteins were transferred to a Nitrocellulose membrane at 150mA for 50-90 minutes. Blocked the membrane with 5% Non-fat Milk/ TBS for 1. 5 hour at RT. The membrane was incubated with rabbit anti-DRAGON/RGMB antigen affinity purified polyclonal antibody (Catalog # AAA125782) at 0. 5 μg/mL overnight at 4 degree C, then washed with TBS-0. 1%Tween 3 times with 5 minutes each and probed with a goat anti-rabbit IgG-HRP secondary antibody at a dilution of 1:5000 for 1. 5 hour at RT. The signal is developed using an Enhanced Chemiluminescent detection (ECL) kit with Tanon 5200 system. A specific band was detected for DRAGON/RGMB at approximately 48KD. The expected band size for DRAGON/RGMB is at 48KD.)
2. Gross, M. B. Personal Communication. Baltimore, Md. 3/20/2012.
3. Samad, T. A., Rebbapragada, A., Bell, E., Zhang, Y., Sidis, Y., Jeong, S. -J., Campagna, J. A., Perusini, S., Fabrizio, D. A., Schneyer, A. L., Lin, H. Y., Brivanlou, A. H., Attisano, L., Woolf, C. J. DRAGON, a bone morphogenetic protein co-receptor. J. Biol. Chem. 280: 14122-14129, 2005.
NCBI and Uniprot Product Information
Customer Reviews
Loading reviews...
Share Your Experience
Similar Products
Product Notes
The RGMB rgmb (Catalog #AAA125782) is an Antibody produced from Rabbit and is intended for research purposes only. The product is available for immediate purchase. The Anti-DRAGON/RGMB Antibody reacts with Human, Mouse and may cross-react with other species as described in the data sheet. AAA Biotech's DRAGON/RGMB can be used in a range of immunoassay formats including, but not limited to, ELISA (Direct ELISA), FCM/FACS (Flow Cytometry), WB (Western Blot). Researchers should empirically determine the suitability of the RGMB rgmb for an application not listed in the data sheet. Researchers commonly develop new applications and it is an integral, important part of the investigative research process. It is sometimes possible for the material contained within the vial of "DRAGON/RGMB, Polyclonal Antibody" to become dispersed throughout the inside of the vial, particularly around the seal of said vial, during shipment and storage. We always suggest centrifuging these vials to consolidate all of the liquid away from the lid and to the bottom of the vial prior to opening. Please be advised that certain products may require dry ice for shipping and that, if this is the case, an additional dry ice fee may also be required.Precautions
All products in the AAA Biotech catalog are strictly for research-use only, and are absolutely not suitable for use in any sort of medical, therapeutic, prophylactic, in-vivo, or diagnostic capacity. By purchasing a product from AAA Biotech, you are explicitly certifying that said products will be properly tested and used in line with industry standard. AAA Biotech and its authorized distribution partners reserve the right to refuse to fulfill any order if we have any indication that a purchaser may be intending to use a product outside of our accepted criteria.Disclaimer
Though we do strive to guarantee the information represented in this datasheet, AAA Biotech cannot be held responsible for any oversights or imprecisions. AAA Biotech reserves the right to adjust any aspect of this datasheet at any time and without notice. It is the responsibility of the customer to inform AAA Biotech of any product performance issues observed or experienced within 30 days of receipt of said product. To see additional details on this or any of our other policies, please see our Terms & Conditions page.Item has been added to Shopping Cart
If you are ready to order, navigate to Shopping Cart and get ready to checkout.
