Rabbit EBP1 Polyclonal Antibody | anti-PA2G4 antibody
Anti-EBP1 Antibody
Each vial contains 5mg BSA, 0.9mg NaCl, 0.2mg Na2HPO4, 0.05mg NaN3.
Predicted Species: Species predicted to be fit for the product based on sequence similarities.
By Heat: Boiling the paraffin sections in 10mM citrate buffer, pH6.0, for 20mins is required for the staining of formalin/paraffin sections.
Other applications have not been tested.
IHC (Immunohistochemistry)
(EBP1 was detected in paraffin-embedded sections of mouse brain tissues using rabbit anti- EBP1 Antigen Affinity purified polyclonal antibody at 1ug/mL. The immunohistochemical section was developed using SABC method.)
IHC (Immunohistochemisry)
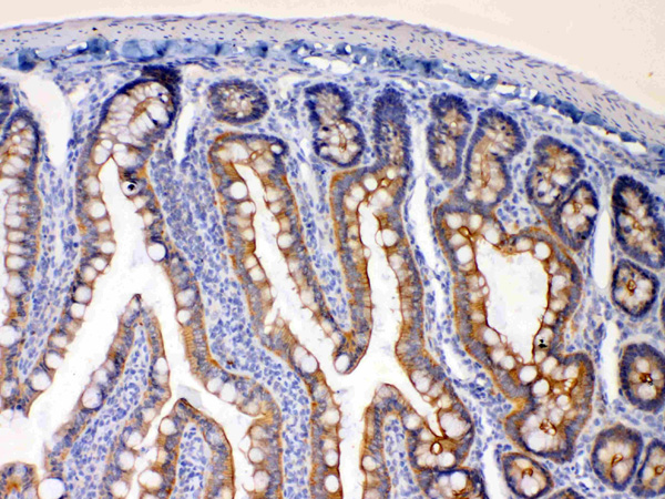
(EBP1 was detected in paraffin-embedded sections of mouse intestine tissues using rabbit anti- EBP1 Antigen Affinity purified polyclonal antibody at 1ug/mL. The immunohistochemical section was developed using SABC method.)
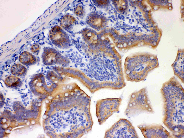
IHC (Immunohiostchemistry)
(EBP1 was detected in paraffin-embedded sections of rat intestine tissues using rabbit anti- EBP1 Antigen Affinity purified polyclonal antibody at 1ug/mL. The immunohistochemical section was developed using SABC method.)
WB (Western Blot)
(Western blot analysis of EBP1 expression in rat liver extract (lane 1), NIH3T3 whole cell lysates (lane 2) and HEPG2 whole cell lysates (lane 3). EBP1 at 43KD was detected using rabbit anti- EBP1 Antigen Affinity purified polyclonal antibody at 0.5ug/mL. The blot was developed using chemiluminescence (ECL) method.)
Background: Proliferation-associated protein 2G4 (PA2G4), also known as ErbB3-binding protein 1 (EBP1), is a protein that in humans is encoded by the PA2G4 gene. This gene encodes an RNA-binding protein that is involved in growth regulation. This protein is present in pre-ribosomal ribonucleoprotein complexes and may be involved in ribosome assembly and the regulation of intermediate and late steps of rRNA processing. This protein can interact with the cytoplasmic domain of the ErbB3 receptor and may contribute to transducing growth regulatory signals. This protein is also a transcriptional corepressor of androgen receptor-regulated genes and other cell cycle regulatory genes through its interactions with histone deacetylases.
2. "Entrez Gene: PA2G4 proliferation-associated 2G4, 38kDa".
NCBI and Uniprot Product Information
Customer Reviews
Loading reviews...
Share Your Experience
Similar Products
Product Notes
The PA2G4 pa2g4 (Catalog #AAA46744) is an Antibody produced from Rabbit and is intended for research purposes only. The product is available for immediate purchase. The Anti-EBP1 Antibody reacts with Human, Mouse, Rat and may cross-react with other species as described in the data sheet. AAA Biotech's EBP1 can be used in a range of immunoassay formats including, but not limited to, IHC (Immunohistochemistry), WB (Western Blot). Researchers should empirically determine the suitability of the PA2G4 pa2g4 for an application not listed in the data sheet. Researchers commonly develop new applications and it is an integral, important part of the investigative research process. It is sometimes possible for the material contained within the vial of "EBP1, Polyclonal Antibody" to become dispersed throughout the inside of the vial, particularly around the seal of said vial, during shipment and storage. We always suggest centrifuging these vials to consolidate all of the liquid away from the lid and to the bottom of the vial prior to opening. Please be advised that certain products may require dry ice for shipping and that, if this is the case, an additional dry ice fee may also be required.Precautions
All products in the AAA Biotech catalog are strictly for research-use only, and are absolutely not suitable for use in any sort of medical, therapeutic, prophylactic, in-vivo, or diagnostic capacity. By purchasing a product from AAA Biotech, you are explicitly certifying that said products will be properly tested and used in line with industry standard. AAA Biotech and its authorized distribution partners reserve the right to refuse to fulfill any order if we have any indication that a purchaser may be intending to use a product outside of our accepted criteria.Disclaimer
Though we do strive to guarantee the information represented in this datasheet, AAA Biotech cannot be held responsible for any oversights or imprecisions. AAA Biotech reserves the right to adjust any aspect of this datasheet at any time and without notice. It is the responsibility of the customer to inform AAA Biotech of any product performance issues observed or experienced within 30 days of receipt of said product. To see additional details on this or any of our other policies, please see our Terms & Conditions page.Item has been added to Shopping Cart
If you are ready to order, navigate to Shopping Cart and get ready to checkout.
