Rabbit EGFR Polyclonal Antibody | anti-EGFR antibody
EGFR Antibody
Gene Names
Egfr; C-erb; c-erbB; CG10079; D-Egf; d-egf-r; D-EGFR; degfr; dEgfr; dEGFr; dEGFR; Degfr; DEgfr; DEGFR; dEGFR1; der; Der; DER; DER flb; DER/EGFR; DER/top; DER/torpedo; DER1; DmelCG10079; DmHD-33; EC2-4; EFG-R; Egf; Egf-r; EGF-R; egfr; EgfR; EGfr; EGFr; EGFR; EK2
Applications
Immunofluorescence, Immunohistochemistry, Western Blot
Purity
Affinity Chromatography
Synonyms
EGFR, Antibody; EGFR Antibody; Rabbit Polyclonal EGFR Antibody; Polyclonal EGFR antibody; Anti-EGFR antibody; avian erythroblastic leukemia viral (v-erb-b) oncogene homolog antibody; cell growth inhibiting protein 40 antibody; cell proliferation-inducing protein 61 antibody; EGFR antibody; Epidermal growth factor receptor antibody; epidermal growth factor receptor (erythroblastic leukemia viral (v-erb-b) oncogene homolog avian) antibody; ERBB antibody; ERBB1 antibody; HER1 antibody; mENA antibody; PIG61 antibody; Proto-oncogene c-ErbB-1 antibody; Receptor tyrosine-protein kinase erbB-1 antibody; anti-EGFR antibody
Host
Rabbit
Clonality
Polyclonal
Isotype
IgG
Specificity
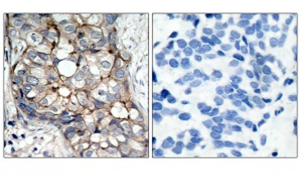
EGFR antibody detects endogenous levels of total EGFR protein
Purity/Purification
Affinity Chromatography
Form/Format
Supplied in PBS buffer (without Mg2+ and Ca2+), pH 7.4, 150mM NaCl, 0.02% Sodium Azide and 50% Glycerol
Concentration
1 mg/ml (varies by lot)
Sequence Length
1426
Applicable Applications for anti-EGFR antibody
IF (Immunofluorescence), IHC (Immunohistochemistry), WB (Western Blot)
Immunogen
EGFR antibody was raised in Rabbit using a synthesized non-phosphopeptide derived from human EGFR around the phosphorylation site of serine1070 (R-Y-SP-S-D) as the immunogen.
Cross-Reactivity
Mouse, Rat
Preparation and Storage
Store at -20 degree C in small aliquots. Avoid repeat freeze/thaw cycles.
Related Product Information for anti-EGFR antibody
The epidermal growth factor receptor (EGFR) is a receptor tyrosine kinase of the ErbB family. Four members of the ErbB family have been identified; EGFR (ErbB1, HER1), ErbB2 (HER2), ErbB3 (HER3) and ErbB4 (HER4). EGFR signaling is initiated by ligand binding to the extracellular ligand binding domain.
Product Categories/Family for anti-EGFR antibody
NCBI and Uniprot Product Information
NCBI GI #
NCBI GeneID
NCBI Accession #
NCBI GenBank Nucleotide #
UniProt Accession #
NCBI Official Full Name
epidermal growth factor receptor, isoform B
NCBI Official Synonym Full Names
Epidermal growth factor receptor
NCBI Official Symbol
Egfr
NCBI Official Synonym Symbols
C-erb; c-erbB; CG10079; D-Egf; d-egf-r; D-EGFR; degfr; dEgfr; dEGFr; dEGFR; Degfr; DEgfr; DEGFR; dEGFR1; der; Der; DER; DER flb; DER/EGFR; DER/top; DER/torpedo; DER1; DmelCG10079; DmHD-33; EC2-4; EFG-R; Egf; Egf-r; EGF-R; egfr; EgfR; EGfr; EGFr; EGFR; EK2
NCBI Protein Information
epidermal growth factor receptor
UniProt Protein Name
Epidermal growth factor receptor
UniProt Gene Name
Egfr
UniProt Synonym Gene Names
c-erbB; DER; top; Egfr
Customer Reviews
Loading reviews...
Share Your Experience
Similar Products
Product Notes
The EGFR egfr (Catalog #AAA226192) is an Antibody produced from Rabbit and is intended for research purposes only. The product is available for immediate purchase. AAA Biotech's EGFR can be used in a range of immunoassay formats including, but not limited to, IF (Immunofluorescence), IHC (Immunohistochemistry), WB (Western Blot). Researchers should empirically determine the suitability of the EGFR egfr for an application not listed in the data sheet. Researchers commonly develop new applications and it is an integral, important part of the investigative research process. It is sometimes possible for the material contained within the vial of "EGFR, Polyclonal Antibody" to become dispersed throughout the inside of the vial, particularly around the seal of said vial, during shipment and storage. We always suggest centrifuging these vials to consolidate all of the liquid away from the lid and to the bottom of the vial prior to opening. Please be advised that certain products may require dry ice for shipping and that, if this is the case, an additional dry ice fee may also be required.Precautions
All products in the AAA Biotech catalog are strictly for research-use only, and are absolutely not suitable for use in any sort of medical, therapeutic, prophylactic, in-vivo, or diagnostic capacity. By purchasing a product from AAA Biotech, you are explicitly certifying that said products will be properly tested and used in line with industry standard. AAA Biotech and its authorized distribution partners reserve the right to refuse to fulfill any order if we have any indication that a purchaser may be intending to use a product outside of our accepted criteria.Disclaimer
Though we do strive to guarantee the information represented in this datasheet, AAA Biotech cannot be held responsible for any oversights or imprecisions. AAA Biotech reserves the right to adjust any aspect of this datasheet at any time and without notice. It is the responsibility of the customer to inform AAA Biotech of any product performance issues observed or experienced within 30 days of receipt of said product. To see additional details on this or any of our other policies, please see our Terms & Conditions page.Item has been added to Shopping Cart
If you are ready to order, navigate to Shopping Cart and get ready to checkout.
