Rabbit EIF6 Polyclonal Antibody | anti-EIF6 antibody
EIF6 antibody - C-terminal region
WB (Western Blot)
(WB Suggested Anti-EIF6 AntibodyTitration: 1.0 ug/mlPositive Control: Fetal Liver)
IHC (Immunohiostchemistry)
(Rabbit Anti-EIF6 antibodyFormalin Fixed Paraffin Embedded Tissue: Human SkinPrimary antibody Concentration: 1:100Secondary Antibody: Donkey anti-Rabbit-Cy3Secondary Antibody Concentration: 1:200Magnification: 20xExposure Time: 0.5-2.0sec)
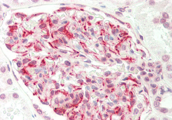
IHC (Immunohistochemistry)
(Rabbit Anti-EIF6 antibodyFormalin Fixed Paraffin Embedded Tissue: Human KidneyPrimary antibody Concentration: 1:100Secondary Antibody: Donkey anti-Rabbit-Cy3Secondary Antibody Concentration: 1:200Magnification: 20xExposure Time: 0.5-2.0sec)
Target Description: Hemidesmosomes are structures which link the basal lamina to the intermediate filament cytoskeleton. An important functional component of hemidesmosomes is the integrin beta-4 subunit (ITGB4), a protein containing two fibronectin type III domains. The protein encoded by this gene binds to the fibronectin type III domains of ITGB4 and may help link ITGB4 to the intermediate filament cytoskeleton. The encoded protein, which is insoluble and found both in the nucleus and in the cytoplasm, can function as a translation initiation factor and prevent the association of the 40S and 60S ribosomal subunits.
NCBI and Uniprot Product Information
Customer Reviews
Loading reviews...
Share Your Experience
Similar Products
Product Notes
The EIF6 eif6 (Catalog #AAA201085) is an Antibody produced from Rabbit and is intended for research purposes only. The product is available for immediate purchase. The EIF6 antibody - C-terminal region reacts with Cow, Dog, Guinea Pig, Horse, Human, Mouse, Rabbit, Rat, Sheep, Yeast, Zebrafish and may cross-react with other species as described in the data sheet. AAA Biotech's EIF6 can be used in a range of immunoassay formats including, but not limited to, WB (Western Blot). Researchers should empirically determine the suitability of the EIF6 eif6 for an application not listed in the data sheet. Researchers commonly develop new applications and it is an integral, important part of the investigative research process. The amino acid sequence is listed below: Synthetic peptide located within the following region: QVLVGSYCVF SNQGGLVHPK TSIEDQDELS SLLQVPLVAG TVNRGSEVIA. It is sometimes possible for the material contained within the vial of "EIF6, Polyclonal Antibody" to become dispersed throughout the inside of the vial, particularly around the seal of said vial, during shipment and storage. We always suggest centrifuging these vials to consolidate all of the liquid away from the lid and to the bottom of the vial prior to opening. Please be advised that certain products may require dry ice for shipping and that, if this is the case, an additional dry ice fee may also be required.Precautions
All products in the AAA Biotech catalog are strictly for research-use only, and are absolutely not suitable for use in any sort of medical, therapeutic, prophylactic, in-vivo, or diagnostic capacity. By purchasing a product from AAA Biotech, you are explicitly certifying that said products will be properly tested and used in line with industry standard. AAA Biotech and its authorized distribution partners reserve the right to refuse to fulfill any order if we have any indication that a purchaser may be intending to use a product outside of our accepted criteria.Disclaimer
Though we do strive to guarantee the information represented in this datasheet, AAA Biotech cannot be held responsible for any oversights or imprecisions. AAA Biotech reserves the right to adjust any aspect of this datasheet at any time and without notice. It is the responsibility of the customer to inform AAA Biotech of any product performance issues observed or experienced within 30 days of receipt of said product. To see additional details on this or any of our other policies, please see our Terms & Conditions page.Item has been added to Shopping Cart
If you are ready to order, navigate to Shopping Cart and get ready to checkout.
