Rabbit integrin beta 4 binding protein Polyclonal Antibody | anti-EIF6 antibody
Anti-integrin beta 4 binding protein antibody
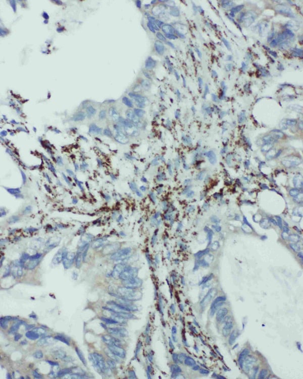
IHC (Immunohiostchemistry)
(Anti-EIF6 antibody, AAA45401, IHC(P)IHC(P): Human Intestinal Cancer Tissue)
WB (Western Blot)
(Anti-EIF6 antibody, AAA45401, Western blottingLane 1: Rat Liver Tissue LysateLane 2: Rat Kidney Tissue LysateLane 3: COLO320 Cell LysateLane 4: SW620 Cell LysateLane 5: HELA Cell LysateLane 6: 293T Cell LysateLane 7: HEPA Cell Lysate)
Background: EIF6(Eukaryotic Translation Initiation Factor 6), also called EIF3A or ITGB4BP, is a human gene. By fluorescence in situ hybridization, Sanvito et al.(1998) mapped the ITGB4BP gene to 20q11.2. Ceci et al.(2003) demonstrated that the ribosomal 60S subunit is activated by release of EIF6. In the cytoplasm, EIF6 is bound to free 60S but not to 80S subunits. Furthermore, EIF6 interacts in the cytoplasm with RACK1, a receptor for activated protein kinase C. Gandin et al.(2008) demonstrated that mammalian eIF6 is required for efficient initiation of translation in vivo. Eif6-null mouse embryos were lethal at preimplantation. Heterozygous mice had 50% reduction of eIF6 levels in all tissues, and showed reduced mass of hepatic and adipose tissues due to a lower number of cells and to impaired G1/S cell cycle progression.
NCBI and Uniprot Product Information
Customer Reviews
Loading reviews...
Share Your Experience
Similar Products
Product Notes
The EIF6 eif6 (Catalog #AAA45401) is an Antibody produced from Rabbit and is intended for research purposes only. The product is available for immediate purchase. The Anti-integrin beta 4 binding protein antibody reacts with Human, Mouse, Rat and may cross-react with other species as described in the data sheet. AAA Biotech's integrin beta 4 binding protein can be used in a range of immunoassay formats including, but not limited to, IHC (Immunohistochemistry), IHC (Immunohistochemistry), WB (Western Blot). Researchers should empirically determine the suitability of the EIF6 eif6 for an application not listed in the data sheet. Researchers commonly develop new applications and it is an integral, important part of the investigative research process. It is sometimes possible for the material contained within the vial of "integrin beta 4 binding protein, Polyclonal Antibody" to become dispersed throughout the inside of the vial, particularly around the seal of said vial, during shipment and storage. We always suggest centrifuging these vials to consolidate all of the liquid away from the lid and to the bottom of the vial prior to opening. Please be advised that certain products may require dry ice for shipping and that, if this is the case, an additional dry ice fee may also be required.Precautions
All products in the AAA Biotech catalog are strictly for research-use only, and are absolutely not suitable for use in any sort of medical, therapeutic, prophylactic, in-vivo, or diagnostic capacity. By purchasing a product from AAA Biotech, you are explicitly certifying that said products will be properly tested and used in line with industry standard. AAA Biotech and its authorized distribution partners reserve the right to refuse to fulfill any order if we have any indication that a purchaser may be intending to use a product outside of our accepted criteria.Disclaimer
Though we do strive to guarantee the information represented in this datasheet, AAA Biotech cannot be held responsible for any oversights or imprecisions. AAA Biotech reserves the right to adjust any aspect of this datasheet at any time and without notice. It is the responsibility of the customer to inform AAA Biotech of any product performance issues observed or experienced within 30 days of receipt of said product. To see additional details on this or any of our other policies, please see our Terms & Conditions page.Item has been added to Shopping Cart
If you are ready to order, navigate to Shopping Cart and get ready to checkout.
