Rabbit EPHA2 Polyclonal Antibody | anti-EPHA2 antibody
Phospho-EPHA2 (Thr587) Antibody
Predicted: Pig, Bovine, Horse, Sheep, Rabbit, Dog, Xenopus
Predicted: Pig, Bovine, Horse, Sheep, Rabbit, Dog, Xenopus
WB (Western Blot)
(Western blot analysis of Phospho-EPHA2 (Thr587) in lysates of NIH/3T3?, using Phospho-EPHA2 (Thr587) Antibody.)
IHC (Immunohistochemisry)
(At 1/100 staining human lung cancer tissue sections by IHC-P. The tissue was formaldehyde fixed and a heat mediated antigen retrieval step in citrate buffer was performed. The tissue was then blocked and incubated with the antibody for 1.5 hours at 22 degree C. An HRP conjugated goat anti-rabbit antibody was used as the secondary)
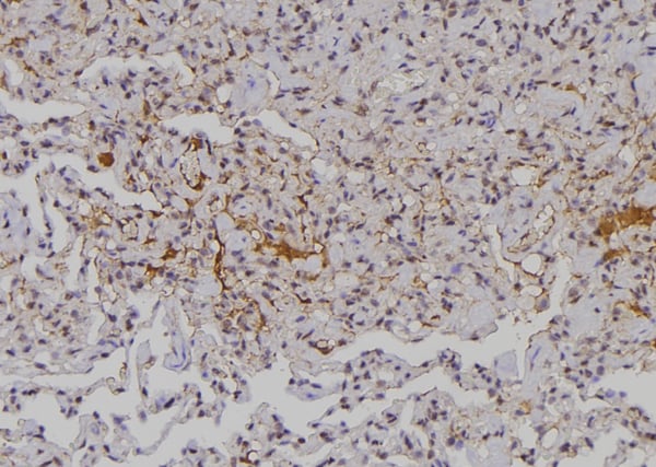
IHC (Immunohiostchemistry)
(At 1/100 staining rat liver tissue sections by IHC-P. The tissue was formaldehyde fixed and a heat mediated antigen retrieval step in citrate buffer was performed. The tissue was then blocked and incubated with the antibody for 1.5 hours at 22 degree C. An HRP conjugated goat anti-rabbit antibody was used as the secondary)
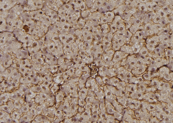
IHC (Immunohistochemistry)
(At 1/100 staining mouse liver tissue sections by IHC-P. The tissue was formaldehyde fixed and a heat mediated antigen retrieval step in citrate buffer was performed. The tissue was then blocked and incubated with the antibody for 1.5 hours at 22 degree C. An HRP conjugated goat anti-rabbit antibody was used as the secondary)
Post Translational Modifications: Autophosphorylates. Phosphorylated on tyrosine upon binding and activation by EFNA1. Phosphorylated residues Tyr-588 and Tyr-594 are required for binding VAV2 and VAV3 while phosphorylated residues Tyr-735 and Tyr-930 are required for binding PI3-kinase p85 subunit (PIK3R1, PIK3R2 or PIK3R3). These phosphorylated residues are critical for recruitment of VAV2 and VAV3 and PI3-kinase p85 subunit which transduce downstream signaling to activate RAC1 GTPase and cell migration. Dephosphorylation of Tyr-930 by PTPRF prevents the interaction of EPHA2 with NCK1. Phosphorylated at Ser-897 by PKB; serum-induced phosphorylation which targets EPHA2 to the cell leading edge and stimulates cell migration. Phosphorylation by PKB is inhibited by EFNA1-activated EPHA2 which regulates PKB activity via a reciprocal regulatory loop. Phosphorylated at Ser-897 in response to TNF by RPS6KA1 and RPS6KA3; RPS6KA-EPHA2 signaling pathway controls cell migration (PubMed:26158630). Phosphorylated at Ser-897 by PKA; blocks cell retraction induced by EPHA2 kinase activity (PubMed:27385333). Dephosphorylated by ACP1. Ubiquitinated by CHIP/STUB1. Ubiquitination is regulated by the HSP90 chaperone and regulates the receptor stability and activity through proteasomal degradation. ANKS1A prevents ubiquitination and degradation (By similarity).
Subunit Structure: Homodimer. Interacts with SLA. Interacts (phosphorylated form) with VAV2, VAV3 and PI3-kinase p85 subunit (PIK3R1, PIK3R2 or PIK3R3); critical for the EFNA1-induced activation of RAC1 which stimulates cell migration (By similarity). Interacts with INPPL1; regulates activated EPHA2 endocytosis and degradation. Interacts (inactivated form) with PTK2/FAK1 and interacts (EFNA1 ligand-activated form) with PTPN11; regulates integrin-mediated adhesion. Interacts with ARHGEF16, DOCK4 and ELMO2; mediates ligand-independent activation of RAC1 which stimulates cell migration. Interacts with CLDN4; phosphorylates CLDN4 and may regulate tight junctions. Interacts with ACP1. Interacts (via SAM domain) with ANKS1A (via SAM domain). Interacts with CEMIP. Interacts with NCK1; may regulate EPHA2 activity in cell migration and adhesion.
Similarity: Belongs to the protein kinase superfamily. Tyr protein kinase family. Ephrin receptor subfamily.
NCBI and Uniprot Product Information
Predicted: 109 kDa
Customer Reviews
Loading reviews...
Share Your Experience
Similar Products
Product Notes
The EPHA2 epha2 (Catalog #AAA328435) is an Antibody produced from Rabbit and is intended for research purposes only. The product is available for immediate purchase. The Phospho-EPHA2 (Thr587) Antibody reacts with Human, Mouse, Rat Predicted: Pig, Bovine, Horse, Sheep, Rabbit, Dog, Xenopus and may cross-react with other species as described in the data sheet. AAA Biotech's EPHA2 can be used in a range of immunoassay formats including, but not limited to, ELISA (Peptide ELISA), IHC (Immunohistochemistry), WB (Western Blot). Researchers should empirically determine the suitability of the EPHA2 epha2 for an application not listed in the data sheet. Researchers commonly develop new applications and it is an integral, important part of the investigative research process. It is sometimes possible for the material contained within the vial of "EPHA2, Polyclonal Antibody" to become dispersed throughout the inside of the vial, particularly around the seal of said vial, during shipment and storage. We always suggest centrifuging these vials to consolidate all of the liquid away from the lid and to the bottom of the vial prior to opening. Please be advised that certain products may require dry ice for shipping and that, if this is the case, an additional dry ice fee may also be required.Precautions
All products in the AAA Biotech catalog are strictly for research-use only, and are absolutely not suitable for use in any sort of medical, therapeutic, prophylactic, in-vivo, or diagnostic capacity. By purchasing a product from AAA Biotech, you are explicitly certifying that said products will be properly tested and used in line with industry standard. AAA Biotech and its authorized distribution partners reserve the right to refuse to fulfill any order if we have any indication that a purchaser may be intending to use a product outside of our accepted criteria.Disclaimer
Though we do strive to guarantee the information represented in this datasheet, AAA Biotech cannot be held responsible for any oversights or imprecisions. AAA Biotech reserves the right to adjust any aspect of this datasheet at any time and without notice. It is the responsibility of the customer to inform AAA Biotech of any product performance issues observed or experienced within 30 days of receipt of said product. To see additional details on this or any of our other policies, please see our Terms & Conditions page.Item has been added to Shopping Cart
If you are ready to order, navigate to Shopping Cart and get ready to checkout.
