Rabbit anti-Human ER Alpha/Estrogen Receptor Polyclonal Antibody | anti-ESR1 antibody
ER Alpha/Estrogen Receptor Rabbit anti-Human Polyclonal Antibody
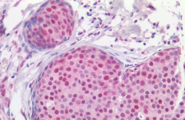
IHC (Immunohistochemistry)
(ER Alpha/Estrogen Receptor Antibody-Human Uterus: Formalin-Fixed, Paraffin-Embedded (FFPE))
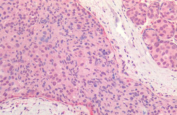
IHC (Immunohistochemistry)
(ER Alpha/Estrogen Receptor Antibody-Human Breast, Carcinoma: Formalin-Fixed, Paraffin-Embedded (FFPE))
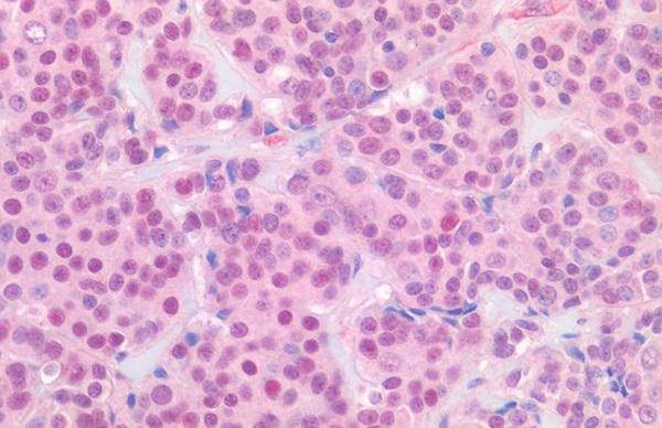
IHC (Immunohistochemisry)
(ER Alpha/Estrogen Receptor Antibody-Human Breast Carcinoma: Formalin-Fixed, Paraffin-Embedded (FFPE))
IHC (Immunohiostchemistry)
(ER Alpha/Estrogen Receptor Antibody-Human Breast Carcinoma: Formalin-Fixed, Paraffin-Embedded (FFPE))
IHC (Immunohistochemistry)
(ER Alpha/Estrogen Receptor Antibody-Human Breast Carcinoma: Formalin-Fixed, Paraffin-Embedded (FFPE))
ER (Estrogen receptor/ESR1) is a biomarker that is prognostic for breast cancer and predicts response to hormonal therapy. Estrogen receptor is a nuclear hormone receptor with nuclear staining in malignant breast cancer cells, and usually has higher levels of expression in Luminal A subtypes compared to others (Jeselsohn, 2015). Levels of expression of estrogen receptor are used in conjunction with progesterone receptor (PR), HER2 and Ki-67 expression levels to subtype breast cancers for different downstream treatments. Most breast cancers have positive expression of ER protein, primarily in luminal tissues where the luminal A subtype sees high levels of expression. Staining for this target is expected to be nuclear.
NCBI and Uniprot Product Information
Customer Reviews
Loading reviews...
Share Your Experience
Similar Products
Product Notes
The ESR1 esr1 (Catalog #AAA163185) is an Antibody produced from Rabbit and is intended for research purposes only. The product is available for immediate purchase. The ER Alpha/Estrogen Receptor Rabbit anti-Human Polyclonal Antibody reacts with Human and may cross-react with other species as described in the data sheet. AAA Biotech's ER Alpha/Estrogen Receptor can be used in a range of immunoassay formats including, but not limited to, IHC (Immunohistochemistry). Researchers should empirically determine the suitability of the ESR1 esr1 for an application not listed in the data sheet. Researchers commonly develop new applications and it is an integral, important part of the investigative research process. It is sometimes possible for the material contained within the vial of "ER Alpha/Estrogen Receptor, Polyclonal Antibody" to become dispersed throughout the inside of the vial, particularly around the seal of said vial, during shipment and storage. We always suggest centrifuging these vials to consolidate all of the liquid away from the lid and to the bottom of the vial prior to opening. Please be advised that certain products may require dry ice for shipping and that, if this is the case, an additional dry ice fee may also be required.Precautions
All products in the AAA Biotech catalog are strictly for research-use only, and are absolutely not suitable for use in any sort of medical, therapeutic, prophylactic, in-vivo, or diagnostic capacity. By purchasing a product from AAA Biotech, you are explicitly certifying that said products will be properly tested and used in line with industry standard. AAA Biotech and its authorized distribution partners reserve the right to refuse to fulfill any order if we have any indication that a purchaser may be intending to use a product outside of our accepted criteria.Disclaimer
Though we do strive to guarantee the information represented in this datasheet, AAA Biotech cannot be held responsible for any oversights or imprecisions. AAA Biotech reserves the right to adjust any aspect of this datasheet at any time and without notice. It is the responsibility of the customer to inform AAA Biotech of any product performance issues observed or experienced within 30 days of receipt of said product. To see additional details on this or any of our other policies, please see our Terms & Conditions page.Item has been added to Shopping Cart
If you are ready to order, navigate to Shopping Cart and get ready to checkout.
