Rabbit ESR1/ER Polyclonal Antibody | anti-ESR1 antibody
ESR1/ER Antibody (Center)
IF (Immunofluorescence)
(Confocal immunofluorescent analysis of ESR1/ER Antibody (Center) with ZR-75-1 cell followed by Alexa Fluor 488-conjugated goat anti-rabbit lgG (green).Actin filaments have been labeled with Alexa Fluor 555 phalloidin (red).DAPI was used to stain the cell nuclear (blue).)
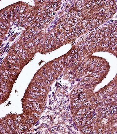
IHC (Immunohistochemisry)
(ESR1/ER Antibody (Center) immunohistochemistry analysis in formalin fixed and paraffin embedded human uterus tissue followed by peroxidase conjugation of the secondary antibody and DAB staining.This data demonstrates the use of ESR1/ER Antibody (Center) for immunohistochemistry. Clinical relevance has not been evaluated.)
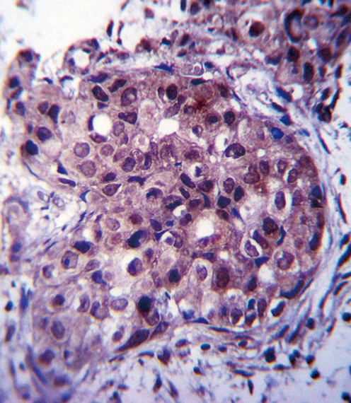
IHC (Immunohiostchemistry)
(ESR1/ER Antibody (Center) immunohistochemistry analysis in formalin fixed and paraffin embedded human breast carcinoma followed by peroxidase conjugation of the secondary antibody and DAB staining.This data demonstrates the use of ESR1/ER Antibody (Center) for immunohistochemistry. Clinical relevance has not been evaluated.)
WB (Western Blot)
(ESR1/ER Antibody (Center) western blot analysis in MCF-7 cell line lysates (35ug/lane).This demonstrates the ESR1/ER antibody detected the ESR1/ER protein (arrow).)
transcription factor composed of several domains important for
hormone binding, DNA binding, and activation of transcription. The
protein localizes to the nucleus where it may form a homodimer or a
heterodimer with estrogen receptor 2. Estrogen and its receptors
are essential for sexual development and reproductive function, but
also play a role in other tissues such as bone. Estrogen receptors
are also involved in pathological processes including breast
cancer, endometrial cancer, and osteoporosis. Alternative splicing
results in several transcript variants, which differ in their 5'
UTRs and use different promoters.
Hayes, D.F., et al. Clin. Pharmacol. Ther. 88(5):626-629(2010)
Lupien, M., et al. Genes Dev. 24(19):2219-2227(2010)
Corbo, R.M., et al. J. Gerontol. A Biol. Sci. Med. Sci. (2010) In press :
Kim, S., et al. Fertil. Steril. (2010) In press :
NCBI and Uniprot Product Information
Customer Reviews
Loading reviews...
Share Your Experience
Similar Products
Product Notes
The ESR1 esr1 (Catalog #AAA286461) is an Antibody produced from Rabbit and is intended for research purposes only. The product is available for immediate purchase. The immunogen sequence is 246-273. The ESR1/ER Antibody (Center) reacts with Human (Predicted Reactivity: Bovine, Mouse, Pig, Rat) and may cross-react with other species as described in the data sheet. AAA Biotech's ESR1/ER can be used in a range of immunoassay formats including, but not limited to, IF (Immunofluorescence), IHC (Immunohistochemistry), ELISA, WB (Western Blot). Researchers should empirically determine the suitability of the ESR1 esr1 for an application not listed in the data sheet. Researchers commonly develop new applications and it is an integral, important part of the investigative research process. It is sometimes possible for the material contained within the vial of "ESR1/ER, Polyclonal Antibody" to become dispersed throughout the inside of the vial, particularly around the seal of said vial, during shipment and storage. We always suggest centrifuging these vials to consolidate all of the liquid away from the lid and to the bottom of the vial prior to opening. Please be advised that certain products may require dry ice for shipping and that, if this is the case, an additional dry ice fee may also be required.Precautions
All products in the AAA Biotech catalog are strictly for research-use only, and are absolutely not suitable for use in any sort of medical, therapeutic, prophylactic, in-vivo, or diagnostic capacity. By purchasing a product from AAA Biotech, you are explicitly certifying that said products will be properly tested and used in line with industry standard. AAA Biotech and its authorized distribution partners reserve the right to refuse to fulfill any order if we have any indication that a purchaser may be intending to use a product outside of our accepted criteria.Disclaimer
Though we do strive to guarantee the information represented in this datasheet, AAA Biotech cannot be held responsible for any oversights or imprecisions. AAA Biotech reserves the right to adjust any aspect of this datasheet at any time and without notice. It is the responsibility of the customer to inform AAA Biotech of any product performance issues observed or experienced within 30 days of receipt of said product. To see additional details on this or any of our other policies, please see our Terms & Conditions page.Item has been added to Shopping Cart
If you are ready to order, navigate to Shopping Cart and get ready to checkout.
