Rabbit Estrogen Receptor Alpha Polyclonal Antibody | anti-ESRA antibody
Estrogen Receptor Alpha Antibody
Gene Names
ESR1; ER; ESR; Era; ESRA; ESTRR; NR3A1
Applications
Immunohistochemistry, Western Blot
Purity
Affinity Chromatography
Synonyms
Estrogen Receptor Alpha, Antibody; Estrogen Receptor Alpha Antibody; Rabbit Polyclonal Estrogen Receptor alpha Antibody; Polyclonal Estrogen Receptor alpha antibody; Anti-Estrogen Receptor alpha antibody; DKFZp686N23123 antibody; ER antibody; ER-alpha antibody; Era antibody; ESR antibody; ESR1 antibody; ESRA antibody; Estradiol receptor antibody; Estrogen receptor antibody; estrogen receptor 1 antibody; estrogen receptor alpha delta 3* 4 5 6 7*/819-2 isoform antibody; estrogen receptor alpha delta 4 +49 isoform antibody; estrogen receptor alpha delta 4* 5 6 7*/654 isoform antibody; NR3A1 antibody; Nuclear receptor subfamily 3 group A member 1 antibody; anti-ESRA antibody
Host
Rabbit
Clonality
Polyclonal
Isotype
IgG
Specificity
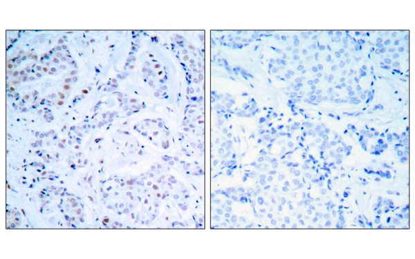
Estrogen Receptor alpha antibody detects endogenous levels of total Estrogen Receptor alpha protein
Purity/Purification
Affinity Chromatography
Form/Format
Supplied in PBS buffer (without Mg2+ and Ca2+), pH 7.4, 150mM NaCl, 0.02% Sodium Azide and 50% Glycerol
Concentration
1 mg/ml (varies by lot)
Sequence Length
444
Applicable Applications for anti-ESRA antibody
IHC (Immunohistochemistry), WB (Western Blot)
Immunogen
Estrogen Receptor alpha antibody was raised in Rabbit using a synthesized non-phosphopeptide derived from human Estrogen Receptor alpha around the phosphorylation site of serine 104 (S-V-SP-P-S) as the immunogen.
Cross-Reactivity
Mouse
Preparation and Storage
Store at -20 degree C in small aliquots. Avoid repeat freeze/thaw cycles.
Related Product Information for anti-ESRA antibody
Estrogen Receptor alpha is one of two main types of estrogen receptor that is activated by the sex hormone estrogen.
Product Categories/Family for anti-ESRA antibody
NCBI and Uniprot Product Information
Customer Reviews
Loading reviews...
Share Your Experience
Similar Products
Product Notes
The ESRA (Catalog #AAA226184) is an Antibody produced from Rabbit and is intended for research purposes only. The product is available for immediate purchase. AAA Biotech's Estrogen Receptor Alpha can be used in a range of immunoassay formats including, but not limited to, IHC (Immunohistochemistry), WB (Western Blot). Researchers should empirically determine the suitability of the ESRA for an application not listed in the data sheet. Researchers commonly develop new applications and it is an integral, important part of the investigative research process. It is sometimes possible for the material contained within the vial of "Estrogen Receptor Alpha, Polyclonal Antibody" to become dispersed throughout the inside of the vial, particularly around the seal of said vial, during shipment and storage. We always suggest centrifuging these vials to consolidate all of the liquid away from the lid and to the bottom of the vial prior to opening. Please be advised that certain products may require dry ice for shipping and that, if this is the case, an additional dry ice fee may also be required.Precautions
All products in the AAA Biotech catalog are strictly for research-use only, and are absolutely not suitable for use in any sort of medical, therapeutic, prophylactic, in-vivo, or diagnostic capacity. By purchasing a product from AAA Biotech, you are explicitly certifying that said products will be properly tested and used in line with industry standard. AAA Biotech and its authorized distribution partners reserve the right to refuse to fulfill any order if we have any indication that a purchaser may be intending to use a product outside of our accepted criteria.Disclaimer
Though we do strive to guarantee the information represented in this datasheet, AAA Biotech cannot be held responsible for any oversights or imprecisions. AAA Biotech reserves the right to adjust any aspect of this datasheet at any time and without notice. It is the responsibility of the customer to inform AAA Biotech of any product performance issues observed or experienced within 30 days of receipt of said product. To see additional details on this or any of our other policies, please see our Terms & Conditions page.Item has been added to Shopping Cart
If you are ready to order, navigate to Shopping Cart and get ready to checkout.
