Rabbit FXN Polyclonal Antibody | anti-FXN antibody
FXN Antibody
Phosphate buffered saline, pH 7.4, 150mM NaCl, 0.02% sodium azide and 50% glycerol.
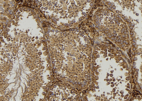
IHC (Immunohiostchemistry)
(AAA326355 at 1/100 staining Mouse testis tissue by IHC-P. The sample was formaldehyde fixed and a heat mediated antigen retrieval step in citrate buffer was performed. The sample was then blocked and incubated with the antibody for 1.5 hours at 22 degree C. An HRP conjugated goat anti-rabbit antibody was used as the secondary.)
WB (Western Blot)
(Western blot analysis of A549 whole cell lysates, using FXN Antibody. The lane on the left is treated with the antigen-specific peptide.)
Function: Promotes the biosynthesis of heme and assembly and repair of iron-sulfur clusters by delivering Fe2+ to proteins involved in these pathways. May play a role in the protection against iron-catalyzed oxidative stress through its ability to catalyze the oxidation of Fe2+ to Fe3+; the oligomeric form but not the monomeric form has in vitro ferroxidase activity. May be able to store large amounts of iron in the form of a ferrihydrite mineral by oligomerization; however, the physiological relevance is unsure as reports are conflicting and the function has only been shown using heterologous overexpression systems. Modulates the RNA-binding activity of ACO1.
Subunit Structure: Monomer (probable predominant form). Oligomer. Monomers and polymeric aggregates of > 1 MDa have been isolated from mitochondria. A small fraction of heterologous overexpressed recombinant frataxin forms high-molecular wight aggregates that incoroprate iron (PubMed:11823441, PubMed:12755598, PubMed:15641778, PubMed:15581888). Interacts with LYRM4 (PubMed:17331979). Interacts with ACO1 (PubMed:20053667). Interacts with ISCU isoform 1 and isoform 2 (PubMed:12785837, PubMed:16091420). Interacts with FECH; one iron-bound FXN monomer seems to interact with a FECH homodimer (PubMed:15123683). Interacts with SDHA and SDHB (PubMed:15961414). Interacts with ACO2; the interaction is dependent on citrate (By similarity). Interacts with HSPA9 (PubMed:17331979, PubMed:26702583).
Post-translational Modifications: Processed in two steps by mitochondrial processing peptidase (MPP). MPP first cleaves the precursor to intermediate form and subsequently converts the intermediate to yield frataxin mature form (frataxin(81-210)) which is the predominant form. The additional forms, frataxin(56-210) and frataxin(78-210), seem to be produced when the normal maturation process is impaired; their physiological relevance is unsure.
Similarity: Belongs to the frataxin family.
NCBI and Uniprot Product Information
Predicted: 24 kDa
Customer Reviews
Loading reviews...
Share Your Experience
Similar Products
Product Notes
The FXN fxn (Catalog #AAA326355) is an Antibody produced from Rabbit and is intended for research purposes only. The product is available for immediate purchase. The FXN Antibody reacts with Human, Mouse, Rat and may cross-react with other species as described in the data sheet. AAA Biotech's FXN can be used in a range of immunoassay formats including, but not limited to, ELISA, IHC (Immunohistochemistry), WB (Western Blot). Researchers should empirically determine the suitability of the FXN fxn for an application not listed in the data sheet. Researchers commonly develop new applications and it is an integral, important part of the investigative research process. It is sometimes possible for the material contained within the vial of "FXN, Polyclonal Antibody" to become dispersed throughout the inside of the vial, particularly around the seal of said vial, during shipment and storage. We always suggest centrifuging these vials to consolidate all of the liquid away from the lid and to the bottom of the vial prior to opening. Please be advised that certain products may require dry ice for shipping and that, if this is the case, an additional dry ice fee may also be required.Precautions
All products in the AAA Biotech catalog are strictly for research-use only, and are absolutely not suitable for use in any sort of medical, therapeutic, prophylactic, in-vivo, or diagnostic capacity. By purchasing a product from AAA Biotech, you are explicitly certifying that said products will be properly tested and used in line with industry standard. AAA Biotech and its authorized distribution partners reserve the right to refuse to fulfill any order if we have any indication that a purchaser may be intending to use a product outside of our accepted criteria.Disclaimer
Though we do strive to guarantee the information represented in this datasheet, AAA Biotech cannot be held responsible for any oversights or imprecisions. AAA Biotech reserves the right to adjust any aspect of this datasheet at any time and without notice. It is the responsibility of the customer to inform AAA Biotech of any product performance issues observed or experienced within 30 days of receipt of said product. To see additional details on this or any of our other policies, please see our Terms & Conditions page.Item has been added to Shopping Cart
If you are ready to order, navigate to Shopping Cart and get ready to checkout.
