Rabbit GATA1 Polyclonal Antibody | anti-GATA1 antibody
GATA1 Antibody
Phosphate buffered saline, pH 7.4, 150mM NaCl, 0.02% sodium azide and 50% glycerol.
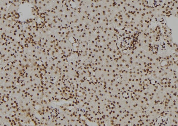
IHC (Immunohistochemisry)
(AAA322235 at 1/100 staining Rat kidney tissue by IHC-P. The sample was formaldehyde fixed and a heat mediated antigen retrieval step in citrate buffer was performed. The sample was then blocked and incubated with the antibody for 1.5 hours at 22 degree C. An HRP conjugated goat anti-rabbit antibody was used as the secondary.)
IF (Immunofluorescence)
(AAA322235 staining Hela by IF/ICC. The sample were fixed with PFA and permeabilized in 0.1% Triton X-100, then blocked in 10% serum for 45 minutes at 25 degree C. The primary antibody was diluted at 1/200 and incubated with the sample for 1 hour at 37 degree C. An Alexa Fluor 594 conjugated goat anti-rabbit IgG (H+L) Ab, diluted at 1/600, was used as the secondary antibody.)
WB (Western Blot)
(Western blot analysis of GATA1 expression in K562 whole cell lysates, The lane on the left is treated with the antigen-specific peptide.)
Function: Transcriptional activator or repressor which probably serves as a general switch factor for erythroid development. It binds to DNA sites with the consensus sequence 5'-[AT]GATA[AG]-3' within regulatory regions of globin genes and of other genes expressed in erythroid cells. Activates the transcription of genes involved in erythroid differentiation of K562 erythroleukemia cells, including HBB, HBG1/2, ALAS2 and HMBS (PubMed:24245781).
Subunit Structure: May form homodimers or heterodimers with other isoforms. Interacts (via the N-terminal zinc finger) with ZFPM1. Interacts with GFI1B. Interacts with PIAS4; the interaction enhances sumoylation and represses the transactivational activity in a sumoylation-independent manner. Interacts with LMCD1. Interacts with BRD3 (By similarity). Interacts with CREBBP; the interaction stimulates acetylation and transcriptional activity in vivo (By similarity). Interacts with EP300. Interacts with MED1, CCAR1 and CALCOCO1. Interacts with CEBPE (PubMed:26019275).
Post-translational Modifications: Highly phosphorylated on serine residues. Phosphorylation on Ser-310 is enhanced on erythroid differentiation. Phosphorylation on Ser-142 promotes sumoylation on Lys-137 (By similarity). Sumoylation on Lys-137 is enhanced by phosphorylation on Ser-142 and by interaction with PIAS4. Sumoylation with SUMO1 has no effect on transcriptional activity (By similarity). Acetylated at 2 conserved lysine-rich motifs by CREBBP in vitro. Acetylation does not affect DNA-binding in vitro but is essential to induce erythroid differentiation and for binding chromatin in vivo (By similarity). Acetylated on Lys-233, Lys-245 Lys-246 by EP300.
Similarity: The two fingers are functionally distinct and cooperate to achieve specific, stable DNA binding. The first finger is necessary only for full specificity and stability of binding, whereas the second one is required for binding (By similarity).
NCBI and Uniprot Product Information
Predicted: 43 kDa
Customer Reviews
Loading reviews...
Share Your Experience
Similar Products
Product Notes
The GATA1 gata1 (Catalog #AAA322235) is an Antibody produced from Rabbit and is intended for research purposes only. The product is available for immediate purchase. The GATA1 Antibody reacts with Human, Mouse, Rat and may cross-react with other species as described in the data sheet. AAA Biotech's GATA1 can be used in a range of immunoassay formats including, but not limited to, ELISA, IP (Immunoprecipitation), ICC (Immunocytochemistry), IF (Immunofluorescence), IHC (Immunohistochemistry), WB (Western Blot). Researchers should empirically determine the suitability of the GATA1 gata1 for an application not listed in the data sheet. Researchers commonly develop new applications and it is an integral, important part of the investigative research process. It is sometimes possible for the material contained within the vial of "GATA1, Polyclonal Antibody" to become dispersed throughout the inside of the vial, particularly around the seal of said vial, during shipment and storage. We always suggest centrifuging these vials to consolidate all of the liquid away from the lid and to the bottom of the vial prior to opening. Please be advised that certain products may require dry ice for shipping and that, if this is the case, an additional dry ice fee may also be required.Precautions
All products in the AAA Biotech catalog are strictly for research-use only, and are absolutely not suitable for use in any sort of medical, therapeutic, prophylactic, in-vivo, or diagnostic capacity. By purchasing a product from AAA Biotech, you are explicitly certifying that said products will be properly tested and used in line with industry standard. AAA Biotech and its authorized distribution partners reserve the right to refuse to fulfill any order if we have any indication that a purchaser may be intending to use a product outside of our accepted criteria.Disclaimer
Though we do strive to guarantee the information represented in this datasheet, AAA Biotech cannot be held responsible for any oversights or imprecisions. AAA Biotech reserves the right to adjust any aspect of this datasheet at any time and without notice. It is the responsibility of the customer to inform AAA Biotech of any product performance issues observed or experienced within 30 days of receipt of said product. To see additional details on this or any of our other policies, please see our Terms & Conditions page.Item has been added to Shopping Cart
If you are ready to order, navigate to Shopping Cart and get ready to checkout.
