Rabbit Gli3 Polyclonal Antibody | anti-Gli3 antibody
Phospho-Gli3 (Ser664) Antibody
Predicted: Pig, Horse, Sheep, Rabbit, Dog, Xenopus
Predicted: Pig, Horse, Sheep, Rabbit, Dog, Xenopus
WB (Western Blot)
(Western blot analysis of extracts of Human Lung tissue sample,using Phospho-Gli3 (Ser664) Antibody.)
IHC (Immunohistochemistry)
(At 1/100 staining human kidney tissue sections by IHC-P. The tissue was formaldehyde fixed and a heat mediated antigen retrieval step in citrate buffer was performed. The tissue was then blocked and incubated with the antibody for 1.5 hours at 22 degree C. An HRP conjugated goat anti-rabbit antibody was used as the secondary)
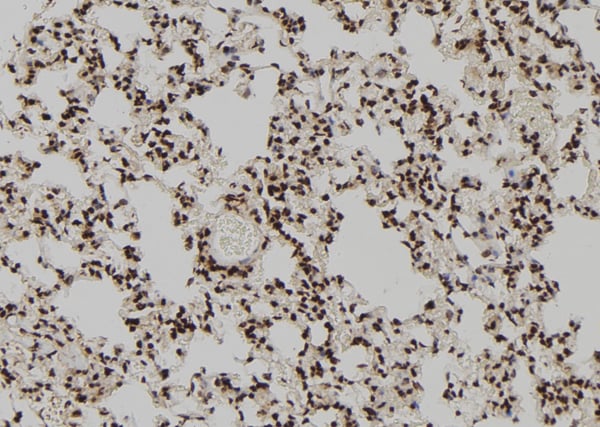
IHC (Immunohistochemisry)
(At 1/100 staining rat lung tissue sections by IHC-P. The tissue was formaldehyde fixed and a heat mediated antigen retrieval step in citrate buffer was performed. The tissue was then blocked and incubated with the antibody for 1.5 hours at 22 degree C. An HRP conjugated goat anti-rabbit antibody was used as the secondary)
IHC (Immunohiostchemistry)
(At 1/100 staining rat heart tissue sections by IHC-P. The tissue was formaldehyde fixed and a heat mediated antigen retrieval step in citrate buffer was performed. The tissue was then blocked and incubated with the antibody for 1.5 hours at 22 degree C. An HRP conjugated goat anti-rabbit antibody was used as the secondary)
IHC (Immunohistochemistry)
(At 1/100 staining mouse heart tissue sections by IHC-P. The tissue was formaldehyde fixed and a heat mediated antigen retrieval step in citrate buffer was performed. The tissue was then blocked and incubated with the antibody for 1.5 hours at 22 degree C. An HRP conjugated goat anti-rabbit antibody was used as the secondary)
Post Translational Modifications: Phosphorylated on multiple sites by protein kinase A (PKA) and phosphorylation by PKA primes further phosphorylation by CK1 and GSK3. Phosphorylated by DYRK2 (in vitro). Phosphorylation is essential for its proteolytic processing. Transcriptional repressor GLI3R, a C-terminally truncated form, is generated from the full-length GLI3 protein (GLI3FL/GLI3-190) through proteolytic processing. This process requires PKA-primed phosphorylation of GLI3, ubiquitination of GLI3 and the presence of BTRC. GLI3FL is complexed with SUFU in the cytoplasm and is maintained in a neutral state. Without the Hh signal, the SUFU-GLI3 complex is recruited to cilia, leading to the efficient processing of GLI3FL into GLI3R. GLI3R formation leads to its dissociation from SUFU, allowing it to translocate into the nucleus, and repress Hh target genes. When Hh signaling is initiated, SUFU dissociates from GLI3FL and this has two consequences. First, GLI3R production is halted. Second, free GLI3FL translocates to the nucleus, where it is phosphorylated, destabilized, and converted to a transcriptional activator (GLI3A). Phosphorylated in vitro by ULK3.
Subunit Structure: The full-length GLI3 form (GLI3FL) interacts with SUFU and this interaction regulates the formation of either repressor or activator forms of GLI3. Its association with SUFU is regulated by Hh signaling and dissociation of the SUFU-GLI3 interaction requires the presence of the ciliary motor KIF3A (By similarity). Interacts with KIF7. The activator form of GLI3 (GLI3A) but not the repressor form (GLI3R) can interact with TRPS1. The phosphorylated form interacts with BTRC. Interacts with ZIC1. Interacts with ZIC3 (via C2H2-type domains 3, 4 and 5); the interaction enhances its transcriptional activity.
Similarity: Belongs to the GLI C2H2-type zinc-finger protein family.
NCBI and Uniprot Product Information
Predicted: 170 kDa
Customer Reviews
Loading reviews...
Share Your Experience
Similar Products
Product Notes
The Gli3 gli3 (Catalog #AAA328550) is an Antibody produced from Rabbit and is intended for research purposes only. The product is available for immediate purchase. The Phospho-Gli3 (Ser664) Antibody reacts with Human, Mouse, Rat Predicted: Pig, Horse, Sheep, Rabbit, Dog, Xenopus and may cross-react with other species as described in the data sheet. AAA Biotech's Gli3 can be used in a range of immunoassay formats including, but not limited to, ELISA (Peptide ELISA), IHC (Immunohistochemistry), WB (Western Blot). Researchers should empirically determine the suitability of the Gli3 gli3 for an application not listed in the data sheet. Researchers commonly develop new applications and it is an integral, important part of the investigative research process. It is sometimes possible for the material contained within the vial of "Gli3, Polyclonal Antibody" to become dispersed throughout the inside of the vial, particularly around the seal of said vial, during shipment and storage. We always suggest centrifuging these vials to consolidate all of the liquid away from the lid and to the bottom of the vial prior to opening. Please be advised that certain products may require dry ice for shipping and that, if this is the case, an additional dry ice fee may also be required.Precautions
All products in the AAA Biotech catalog are strictly for research-use only, and are absolutely not suitable for use in any sort of medical, therapeutic, prophylactic, in-vivo, or diagnostic capacity. By purchasing a product from AAA Biotech, you are explicitly certifying that said products will be properly tested and used in line with industry standard. AAA Biotech and its authorized distribution partners reserve the right to refuse to fulfill any order if we have any indication that a purchaser may be intending to use a product outside of our accepted criteria.Disclaimer
Though we do strive to guarantee the information represented in this datasheet, AAA Biotech cannot be held responsible for any oversights or imprecisions. AAA Biotech reserves the right to adjust any aspect of this datasheet at any time and without notice. It is the responsibility of the customer to inform AAA Biotech of any product performance issues observed or experienced within 30 days of receipt of said product. To see additional details on this or any of our other policies, please see our Terms & Conditions page.Item has been added to Shopping Cart
If you are ready to order, navigate to Shopping Cart and get ready to checkout.
