Rabbit GREMLIN Polyclonal Antibody | anti-Grem1 antibody
GREMLIN Antibody (C-term)
IHC (Immunohistochemistry)
(ISH and IMH demonstrating gremlin mRNA and gremlin protein in crescentic PECs and tubular epithelial cells of patients with pauci-immune crescentic GN. In comparison with normal renal tissue in which there is no expression of gremlin mRNA (C), proliferating PECs of glomerular crescents show a strong expression of gremlin mRNA by ISH (A); and gremlin protein expression by IMH (B); immune competent infiltrating interstitial cells are also strongly positive for gremlin staining (E); and CTGF was also expressed in these glomerular crescentic cells (F).)
IHC (Immunohistochemistry)
(Formalin-fixed and paraffin-embedded human skeletal muscle tissue reacted with GREMLIN Antibody (C-term) , which was peroxidase-conjugated to the secondary antibody, followed by DAB staining. This data demonstrates the use of this antibody for immunohistochemistry; clinical relevance has not been evaluated.)
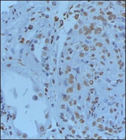
IHC (Immunohistochemisry)
(Formalin-PBS and Bouin embedded paraffin human renal tissue pretreated with heat induced epitope retrieval Citrate buffer pH 6.0 in microwave. Dilution of primary antibody was 1:50. Detection method was ABC system or Vectastaint Elite VECTOR. Data and protocol courtesy of Dr. Maria E. Burgos of Universidad Austral de Chile.)
WB (Western Blot)
(Western blot analysis of anti-Gremlin Pab in mouse liver cell lysate. Gremlin (arrow) was detected using purified Pab. Secondary HRP-anti-rabbit was used for signal visualization with chemiluminescence.)
WB (Western Blot)
(Western blot analysis of anti-Gremlin Pab in CEM cell line lysates (35ug/lane). Gremlin (arrow) was detected using the purified Pab.)
NCBI and Uniprot Product Information
Customer Reviews
Loading reviews...
Share Your Experience
Similar Products
Product Notes
The Grem1 grem1 (Catalog #AAA289010) is an Antibody produced from Rabbit and is intended for research purposes only. The product is available for immediate purchase. The immunogen sequence is 147-175. The GREMLIN Antibody (C-term) reacts with Human, mouse (Predicted Reactivity: Rat) and may cross-react with other species as described in the data sheet. AAA Biotech's GREMLIN can be used in a range of immunoassay formats including, but not limited to, IHC (Immunohistochemistry), ELISA, WB (Western Blot). Researchers should empirically determine the suitability of the Grem1 grem1 for an application not listed in the data sheet. Researchers commonly develop new applications and it is an integral, important part of the investigative research process. It is sometimes possible for the material contained within the vial of "GREMLIN, Polyclonal Antibody" to become dispersed throughout the inside of the vial, particularly around the seal of said vial, during shipment and storage. We always suggest centrifuging these vials to consolidate all of the liquid away from the lid and to the bottom of the vial prior to opening. Please be advised that certain products may require dry ice for shipping and that, if this is the case, an additional dry ice fee may also be required.Precautions
All products in the AAA Biotech catalog are strictly for research-use only, and are absolutely not suitable for use in any sort of medical, therapeutic, prophylactic, in-vivo, or diagnostic capacity. By purchasing a product from AAA Biotech, you are explicitly certifying that said products will be properly tested and used in line with industry standard. AAA Biotech and its authorized distribution partners reserve the right to refuse to fulfill any order if we have any indication that a purchaser may be intending to use a product outside of our accepted criteria.Disclaimer
Though we do strive to guarantee the information represented in this datasheet, AAA Biotech cannot be held responsible for any oversights or imprecisions. AAA Biotech reserves the right to adjust any aspect of this datasheet at any time and without notice. It is the responsibility of the customer to inform AAA Biotech of any product performance issues observed or experienced within 30 days of receipt of said product. To see additional details on this or any of our other policies, please see our Terms & Conditions page.Item has been added to Shopping Cart
If you are ready to order, navigate to Shopping Cart and get ready to checkout.
