Rabbit HCLS1 Polyclonal Antibody | anti-HCLS1 antibody
HCLS1 Antibody
Gene Names
HCLS1; HS1; CTTNL
Reactivity
Human, Mouse, RatPredicted Reactivity: Pig (92%), Zebrafish (80%), Horse (90%), Rabbit (82%), Chicken (88%)
Applications
ELISA, Western Blot
Purity
The antiserum was purified by peptide affinity chromatography using SulfoLink Coupling Resin
Synonyms
HCLS1, Antibody; HCLS1 Antibody; Cortactin like; CTTNL; HCLS 1; Hcls1; HCLS1_HUMAN; Hematopoietic cell specific Lyn substrate 1; Hematopoietic cell-specific LYN substrate 1; Hematopoietic lineage cell-specific protein; HS 1; HS1; LckBP1; OTTHUMP00000215180; OTTHUMP00000215182; p75; anti-HCLS1 antibody
Host
Rabbit
Reactivity
Human, Mouse, Rat
Predicted Reactivity: Pig (92%), Zebrafish (80%), Horse (90%), Rabbit (82%), Chicken (88%)
Predicted Reactivity: Pig (92%), Zebrafish (80%), Horse (90%), Rabbit (82%), Chicken (88%)
Clonality
Polyclonal
Isotype
Rabbit IgG
Specificity
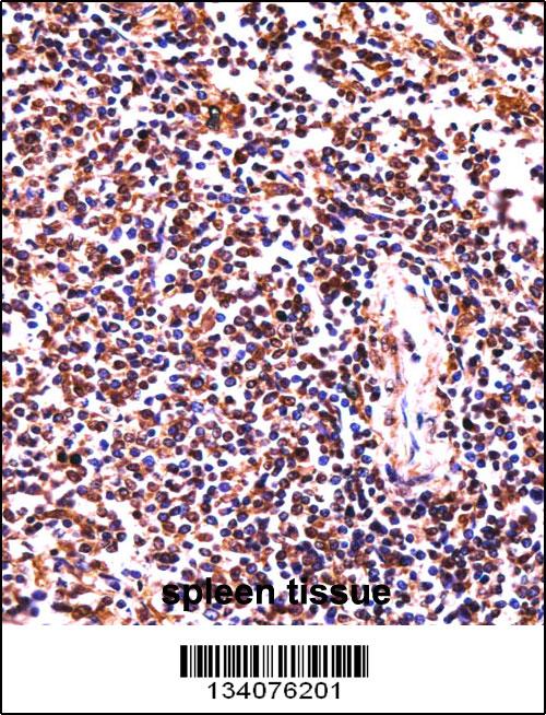
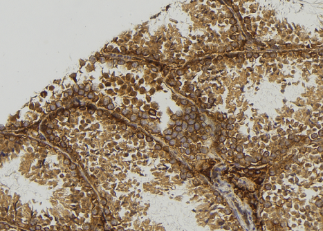
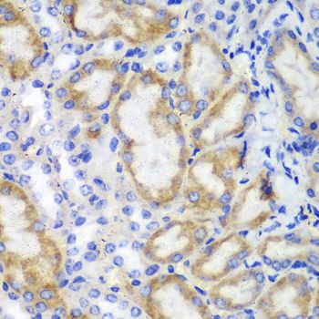
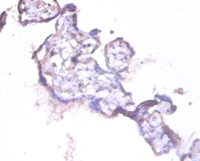
HCLS1 Antibody detects endogenous levels of total HCLS1.
Tissue Specificity: Expressed only in tissues and cells of hematopoietic origin.
Tissue Specificity: Expressed only in tissues and cells of hematopoietic origin.
Purity/Purification
The antiserum was purified by peptide affinity chromatography using SulfoLink Coupling Resin
Form/Format
Liquid. Rabbit IgG in phosphate buffered saline, pH7.4, 150mM NaCl, 0.02% sodium azide and 50% glycerol.
Concentration
1mg/ml (varies by lot)
Applicable Applications for anti-HCLS1 antibody
ELISA (Peptide ELISA), WB (Western Blot)
Immunogen
A synthesized peptide derived from human HCLS1, corresponding to a region within the internal amino acids.
Conjugation
Unconjugated
Fragment
Fab fragment
Post Translational Modifications
Phosphorylated by FES (By similarity). Phosphorylated by LYN, FYN and FGR after cross-linking of surface IgM on B-cells. Phosphorylation by LYN, FYN and FGR requires prior phosphorylation by SYK or FES.
Subunit Structure
Associates with the SH2 and SH3 domains of LCK. Binding to he LCK SH3 domain occurs constitutively, while binding to the LCK SH2 domain occurs only upon TCR stimulation. A similar binding pattern was observed with LYN, but not with FYN in which the FYN SH2 region associates upon TCR stimulation but the FYN SH3 region does not associate regardless of TCR stimulation. Directly associates with HAX1, through binding to its C-terminal region. Interacts with HS1BP3. Interacts with FES/FPS (By similarity). Interacts (via SH2 domain) with FGR. Forms a multiprotein complex with LYN and ANKRD54 (By similarity).
Subcellular Location
Membrane>Peripheral membrane protein. Cytoplasm. Mitochondrion.
Preparation and Storage
Store at -20 degree C. Stable for 12 months from date of receipt.
Related Product Information for anti-HCLS1 antibody
Substrate of the antigen receptor-coupled tyrosine kinase. Plays a role in antigen receptor signaling for both clonal expansion and deletion in lymphoid cells. May also be involved in the regulation of gene expression.
NCBI and Uniprot Product Information
NCBI GI #
NCBI GeneID
NCBI Accession #
NCBI GenBank Nucleotide #
Molecular Weight
54,014 Da
NCBI Official Full Name
hematopoietic lineage cell-specific protein
NCBI Official Synonym Full Names
hematopoietic cell-specific Lyn substrate 1
NCBI Official Symbol
HCLS1
NCBI Official Synonym Symbols
HS1; CTTNL
NCBI Protein Information
hematopoietic lineage cell-specific protein; p75; lckBP1
UniProt Protein Name
Hematopoietic lineage cell-specific protein
UniProt Gene Name
HCLS1
UniProt Synonym Gene Names
HS1
UniProt Entry Name
HCLS1_HUMAN
Customer Reviews
Loading reviews...
Share Your Experience
Similar Products
Product Notes
The HCLS1 hcls1 (Catalog #AAA329533) is an Antibody produced from Rabbit and is intended for research purposes only. The product is available for immediate purchase. The HCLS1 Antibody reacts with Human, Mouse, Rat Predicted Reactivity: Pig (92%), Zebrafish (80%), Horse (90%), Rabbit (82%), Chicken (88%) and may cross-react with other species as described in the data sheet. AAA Biotech's HCLS1 can be used in a range of immunoassay formats including, but not limited to, ELISA (Peptide ELISA), WB (Western Blot). Researchers should empirically determine the suitability of the HCLS1 hcls1 for an application not listed in the data sheet. Researchers commonly develop new applications and it is an integral, important part of the investigative research process. It is sometimes possible for the material contained within the vial of "HCLS1, Polyclonal Antibody" to become dispersed throughout the inside of the vial, particularly around the seal of said vial, during shipment and storage. We always suggest centrifuging these vials to consolidate all of the liquid away from the lid and to the bottom of the vial prior to opening. Please be advised that certain products may require dry ice for shipping and that, if this is the case, an additional dry ice fee may also be required.Precautions
All products in the AAA Biotech catalog are strictly for research-use only, and are absolutely not suitable for use in any sort of medical, therapeutic, prophylactic, in-vivo, or diagnostic capacity. By purchasing a product from AAA Biotech, you are explicitly certifying that said products will be properly tested and used in line with industry standard. AAA Biotech and its authorized distribution partners reserve the right to refuse to fulfill any order if we have any indication that a purchaser may be intending to use a product outside of our accepted criteria.Disclaimer
Though we do strive to guarantee the information represented in this datasheet, AAA Biotech cannot be held responsible for any oversights or imprecisions. AAA Biotech reserves the right to adjust any aspect of this datasheet at any time and without notice. It is the responsibility of the customer to inform AAA Biotech of any product performance issues observed or experienced within 30 days of receipt of said product. To see additional details on this or any of our other policies, please see our Terms & Conditions page.Item has been added to Shopping Cart
If you are ready to order, navigate to Shopping Cart and get ready to checkout.
