Rabbit anti-Human, Mouse HIC1 Polyclonal Antibody | anti-HIC1 antibody
HIC1 Antibody
Gene Names
HIC1; hic-1; ZBTB29; ZNF901
Reactivity
Human, Mouse
Applications
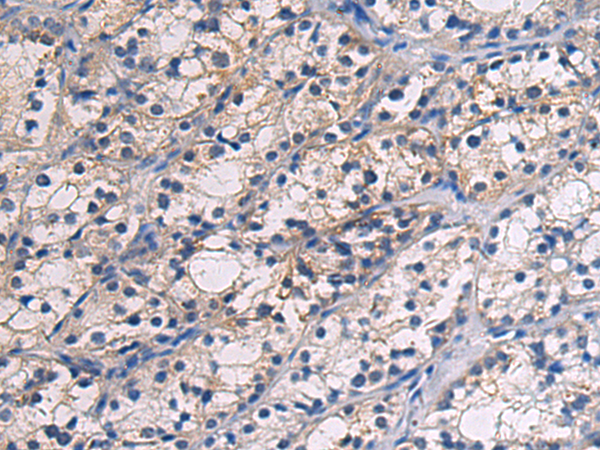
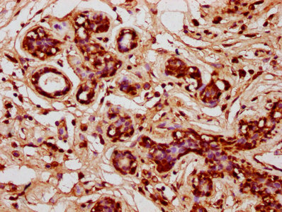
Immunohistochemistry
Purity
Antigen affinity purification
Synonyms
HIC1, Antibody; HIC1 Antibody; hic-1; ZBTB29; ZNF901; anti-HIC1 antibody
Host
Rabbit
Reactivity
Human, Mouse
Clonality
Polyclonal
Purity/Purification
Antigen affinity purification
Form/Format
pH7.4 PBS, 0.05% NaN3, 40% Glycerol
Concentration
1.6mg/mL (varies by lot)
Sequence Length
733
Applicable Applications for anti-HIC1 antibody
IHC (Immunohistochemistry)
Immunogen
Synthetic peptide of human HIC1
Conjugation
Unconjugated
Preparation and Storage
Store at -20 degree C for 1 year.
Related Product Information for anti-HIC1 antibody
This gene functions as a growth regulatory and tumor repressor gene. Hypermethylation or deletion of the region of this gene have been associated with tumors and the contiguous-gene syndrome, Miller-Dieker syndrome. Alternative splicing of this gene results in multiple transcript variants.
Product Categories/Family for anti-HIC1 antibody
NCBI and Uniprot Product Information
NCBI GI #
NCBI GeneID
NCBI Accession #
NCBI GenBank Nucleotide #
NCBI Official Full Name
hypermethylated in cancer 1 protein isoform 2
NCBI Official Synonym Full Names
HIC ZBTB transcriptional repressor 1
NCBI Official Symbol
HIC1
NCBI Official Synonym Symbols
hic-1; ZBTB29; ZNF901
NCBI Protein Information
hypermethylated in cancer 1 protein
UniProt Protein Name
Zona pellucida-binding protein 2
UniProt Gene Name
ZPBP2
UniProt Synonym Gene Names
ZPBPL
Customer Reviews
Loading reviews...
Share Your Experience
Similar Products
Product Notes
The HIC1 zpbp2 (Catalog #AAA311844) is an Antibody produced from Rabbit and is intended for research purposes only. The product is available for immediate purchase. The HIC1 Antibody reacts with Human, Mouse and may cross-react with other species as described in the data sheet. AAA Biotech's HIC1 can be used in a range of immunoassay formats including, but not limited to, IHC (Immunohistochemistry). Researchers should empirically determine the suitability of the HIC1 zpbp2 for an application not listed in the data sheet. Researchers commonly develop new applications and it is an integral, important part of the investigative research process. It is sometimes possible for the material contained within the vial of "HIC1, Polyclonal Antibody" to become dispersed throughout the inside of the vial, particularly around the seal of said vial, during shipment and storage. We always suggest centrifuging these vials to consolidate all of the liquid away from the lid and to the bottom of the vial prior to opening. Please be advised that certain products may require dry ice for shipping and that, if this is the case, an additional dry ice fee may also be required.Precautions
All products in the AAA Biotech catalog are strictly for research-use only, and are absolutely not suitable for use in any sort of medical, therapeutic, prophylactic, in-vivo, or diagnostic capacity. By purchasing a product from AAA Biotech, you are explicitly certifying that said products will be properly tested and used in line with industry standard. AAA Biotech and its authorized distribution partners reserve the right to refuse to fulfill any order if we have any indication that a purchaser may be intending to use a product outside of our accepted criteria.Disclaimer
Though we do strive to guarantee the information represented in this datasheet, AAA Biotech cannot be held responsible for any oversights or imprecisions. AAA Biotech reserves the right to adjust any aspect of this datasheet at any time and without notice. It is the responsibility of the customer to inform AAA Biotech of any product performance issues observed or experienced within 30 days of receipt of said product. To see additional details on this or any of our other policies, please see our Terms & Conditions page.Item has been added to Shopping Cart
If you are ready to order, navigate to Shopping Cart and get ready to checkout.
