Rabbit HIF-1beta Polyclonal Antibody | anti-HIF-1beta antibody
HIF-1beta Polyclonal Antibody
Gene Names
ARNT; HIF1B; TANGO; bHLHe2; HIF1BETA; HIF-1beta; HIF1-beta; HIF-1-beta
Reactivity
Human, Mouse, Rat
Applications
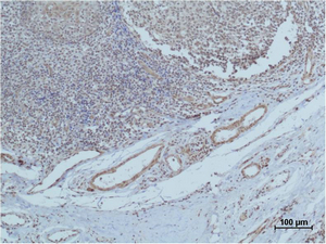
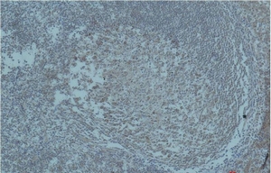
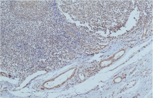
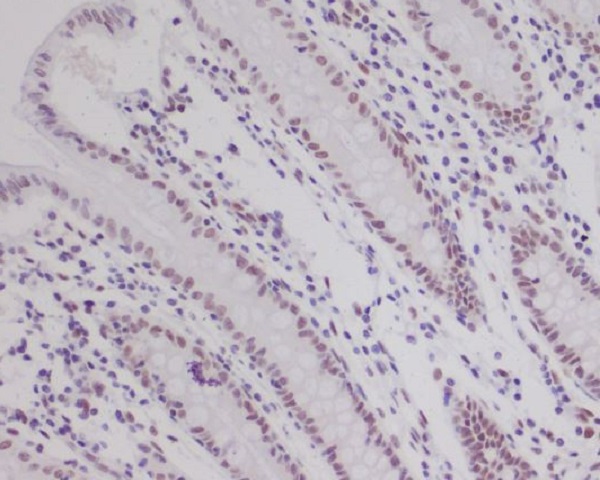
Immunohistochemistry, Western Blot
Synonyms
HIF-1beta, Antibody; HIF-1beta Polyclonal Antibody; ARNT; BHLHE2; Aryl hydrocarbon receptor nuclear translocator; ARNT protein; Class E basic helix-loop-helix protein 2; bHLHe2; Dioxin receptor; nuclear translocator; Hypoxia-inducible factor 1-beta; HIF-1-beta; HIF1-beta; anti-HIF-1beta antibody
Host
Rabbit
Reactivity
Human, Mouse, Rat
Clonality
Polyclonal
Applicable Applications for anti-HIF-1beta antibody
IHC (Immunohistochemistry), WB (Western Blot)
Preparation and Storage
Maintain refrigerated at 2-8 degree C for up to 2 weeks. For long term storage store at -20 degree C in small aliquots to prevent freeze-thaw cycles.
Related Product Information for anti-HIF-1beta antibody
Required for activity of the Ah (dioxin) receptor. This protein is required for the ligand-binding subunit to translocate from the cytosol to the nucleus after ligand binding. The complex then initiates transcription of genes involved in the activation of PAH procarcinogens. The heterodimer binds to core DNA sequence 5'-TACGTG-3' within the hypoxia response element (HRE) of target gene promoters and functions as a transcriptional regulator of the adaptive response to hypoxia (By similarity). The heterodimer ARNT: AHR binds to core DNA sequence 5'-TGCGTG-3' within the dioxin response element (DRE) of target gene promoters and activates their transcription (PubMed:28396409).
NCBI and Uniprot Product Information
NCBI GI #
NCBI GeneID
NCBI Accession #
NCBI GenBank Nucleotide #
Molecular Weight
86,636 Da
NCBI Official Full Name
aryl hydrocarbon receptor nuclear translocator isoform 4
NCBI Official Synonym Full Names
aryl hydrocarbon receptor nuclear translocator
NCBI Official Symbol
ARNT
NCBI Official Synonym Symbols
HIF1B; TANGO; bHLHe2; HIF1BETA; HIF-1beta; HIF1-beta; HIF-1-beta
NCBI Protein Information
aryl hydrocarbon receptor nuclear translocator; dioxin receptor, nuclear translocator; class E basic helix-loop-helix protein 2; hypoxia-inducible factor 1, beta subunit
UniProt Protein Name
Aryl hydrocarbon receptor nuclear translocator
UniProt Gene Name
ARNT
UniProt Synonym Gene Names
BHLHE2; ARNT protein; bHLHe2; HIF-1-beta; HIF1-beta
UniProt Entry Name
ARNT_HUMAN
Customer Reviews
Loading reviews...
Share Your Experience
Similar Products
Product Notes
The HIF-1beta arnt (Catalog #AAA293647) is an Antibody produced from Rabbit and is intended for research purposes only. The product is available for immediate purchase. The HIF-1beta Polyclonal Antibody reacts with Human, Mouse, Rat and may cross-react with other species as described in the data sheet. AAA Biotech's HIF-1beta can be used in a range of immunoassay formats including, but not limited to, IHC (Immunohistochemistry), WB (Western Blot). Researchers should empirically determine the suitability of the HIF-1beta arnt for an application not listed in the data sheet. Researchers commonly develop new applications and it is an integral, important part of the investigative research process. It is sometimes possible for the material contained within the vial of "HIF-1beta, Polyclonal Antibody" to become dispersed throughout the inside of the vial, particularly around the seal of said vial, during shipment and storage. We always suggest centrifuging these vials to consolidate all of the liquid away from the lid and to the bottom of the vial prior to opening. Please be advised that certain products may require dry ice for shipping and that, if this is the case, an additional dry ice fee may also be required.Precautions
All products in the AAA Biotech catalog are strictly for research-use only, and are absolutely not suitable for use in any sort of medical, therapeutic, prophylactic, in-vivo, or diagnostic capacity. By purchasing a product from AAA Biotech, you are explicitly certifying that said products will be properly tested and used in line with industry standard. AAA Biotech and its authorized distribution partners reserve the right to refuse to fulfill any order if we have any indication that a purchaser may be intending to use a product outside of our accepted criteria.Disclaimer
Though we do strive to guarantee the information represented in this datasheet, AAA Biotech cannot be held responsible for any oversights or imprecisions. AAA Biotech reserves the right to adjust any aspect of this datasheet at any time and without notice. It is the responsibility of the customer to inform AAA Biotech of any product performance issues observed or experienced within 30 days of receipt of said product. To see additional details on this or any of our other policies, please see our Terms & Conditions page.Item has been added to Shopping Cart
If you are ready to order, navigate to Shopping Cart and get ready to checkout.
