Rabbit Histone H4K5ac Polyclonal Antibody | anti-H4K5ac antibody
Histone H4K5ac antibody (pAb)
WB (Western Blot)
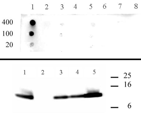
(Histone H4 acetyl Lys5 antibody specificity data. Top Panel – Dot blot analysis was used to confirm the specificity of Histone H4 acetyl Lys5 antibody for H4 acetyl lysine 5. Peptides corresponding to regions around major sites of histone H4 acetylation were spotted onto PVDF and probed at a dilution of 1:1,000. The amount of peptide (in picomoles) spotted is indicated next to each row. Lane 1: acetyl-Lys5 peptide. Lane 2: unmodified Lys5 peptide. Lane 3: acetyl-Lys8 peptide. Lane 4: unmodified Lys8 peptide. Lane 5: acetyl-Lys12 peptide. Lane 6: unmodified Lys12 peptide. Lane 7: acetyl-Lys16 peptide. Lane 8: unmodified Lys16 peptide. Bottom Panel – Peptide inhibition analysis. A Western blot was performed on butyrate-treated HeLa cell acid extract (5 ul per lane) at a dilution of 1:2,000. Different peptides were incubated with the antibody during the blotting procedure to determine if the recognition was blocked by a specific modification. Lane 1: no peptide. Lane 2: acetyl-Lys5 peptide. Lane 3: acetyl-Lys8 peptide. Lane 4: acetyl-Lys12 peptide. Lane 5: acetyl-Lys16 peptide.)
WB (Western Blot)
(Histone H4 acetyl Lys5 antibody tested by Western blot. HeLa acid extract probed with Histone H4 acetyl Lys5 polyclonal antibody (1:1,000 dilution). Lane 1: No treatment. Lane 2: Cells treated with sodium butyrate.)
IF (Immunofluorescence)
(Histone H4 acetyl Lys5 antibody tested by immunofluorescence. Staining of HeLa cells with Histone H4 acetyl Lys5 antibody (1:500 dilution, top panel) and DAPI (bottom panel).)
ChIP (Chromatin Immunoprecipitation)
(Histone H4 acetyl Lys5 antibody tested by ChIP analysis. Chromatin IP performed on HeLa cell chromatin using 39169. PCR was performed using primers specific for the promoter region of the human GAPDH gene. Lane 1: negative IgG control. Lane 2: ChIP using 10 ul of 39169. Lane 3: Input DNA control.)
ChIP (Chromatin Immunoprecipitation)
(Histone H4 acetyl Lys5 antibody tested by ChIP analysis. Chromatin IP performed using the ChIP-IT Express Kit and HeLa Chromatin (1.5 x 106 cell equivalents per ChIP) using 10 ul of Histone H4 acetyl Lys5 antibody or the equivalent amount of rabbit IgG as a negative control. Real time, quantitative PCR (RT-qPCR) was performed on DNA purified from each of the ChIP reactions using a primer pair specific for the indicated gene. Data are presented as Fold Enrichment of the ChIP antibody signal versus the negative control IgG using the ddCT method.)
Background: Histone H4 is one of the core components of the nucleosome. The nucleosome is the smallest subunit of chromatin and consists of 147 base pairs of DNA wrapped around an octamer of core histone proteins (two each of Histone H2A, Histone H2B, Histone H3 and Histone H4). Histone H1 is a linker histone, present at the interface between the nucleosome core and DNA entry/exit points; it is responsible for establishing higher-order chromatin structure. Chromatin is subject to a variety of chemical modifications, including post-translational modifications of the histone proteins and the methylation of cytosine residues in the DNA. Reported histone modifications include acetylation, methylation, phosphorylation, ubiquitylation, glycosylation, ADP-ribosylation, carbonylation and SUMOylation; they play a major role in regulating gene expression. Lysine N-epsilon-acetylation is a dynamic, reversible and tightly regulated protein and histone modification that plays a major role in chromatin remodeling and in the regulation of gene expression in various cellular functions. Histone H4 molecules acetylated at Lys5 or Lys8 are distributed in overlapping, but non-identical, islands throughout the euchromatic chromosome arms.
NCBI and Uniprot Product Information
Customer Reviews
Loading reviews...
Share Your Experience
Similar Products
Product Notes
The H4K5ac hist1h4a (Catalog #AAA59844) is an Antibody produced from Rabbit and is intended for research purposes only. The product is available for immediate purchase. The Histone H4K5ac antibody (pAb) reacts with Human, Wide Range Predicted and may cross-react with other species as described in the data sheet. AAA Biotech's Histone H4K5ac can be used in a range of immunoassay formats including, but not limited to, WB (Western Blot), IF (Immunofluorescence), ICC (Immunocytochemistry), DB (Dot Blot), ChIP (Chromatin immunoprecipitation). Researchers should empirically determine the suitability of the H4K5ac hist1h4a for an application not listed in the data sheet. Researchers commonly develop new applications and it is an integral, important part of the investigative research process. It is sometimes possible for the material contained within the vial of "Histone H4K5ac, Polyclonal Antibody" to become dispersed throughout the inside of the vial, particularly around the seal of said vial, during shipment and storage. We always suggest centrifuging these vials to consolidate all of the liquid away from the lid and to the bottom of the vial prior to opening. Please be advised that certain products may require dry ice for shipping and that, if this is the case, an additional dry ice fee may also be required.Precautions
All products in the AAA Biotech catalog are strictly for research-use only, and are absolutely not suitable for use in any sort of medical, therapeutic, prophylactic, in-vivo, or diagnostic capacity. By purchasing a product from AAA Biotech, you are explicitly certifying that said products will be properly tested and used in line with industry standard. AAA Biotech and its authorized distribution partners reserve the right to refuse to fulfill any order if we have any indication that a purchaser may be intending to use a product outside of our accepted criteria.Disclaimer
Though we do strive to guarantee the information represented in this datasheet, AAA Biotech cannot be held responsible for any oversights or imprecisions. AAA Biotech reserves the right to adjust any aspect of this datasheet at any time and without notice. It is the responsibility of the customer to inform AAA Biotech of any product performance issues observed or experienced within 30 days of receipt of said product. To see additional details on this or any of our other policies, please see our Terms & Conditions page.Item has been added to Shopping Cart
If you are ready to order, navigate to Shopping Cart and get ready to checkout.
