Goat HNF4A / HNF4 Polyclonal Antibody | anti-HNF4A antibody
Goat Polyclonal to Human HNF4A / HNF4
Purified from goat serum by ammonium sulphate precipitation followed by antigen affinity chromatography using the immunizing peptide.
Purified from goat serum by ammonium sulphate precipitation followed by antigen affinity chromatography using the immunizing peptide.
Tissue Preparation:
Formalin fixation and embedding in paraffin wax.
>Tissue Sectioning:
Make 4- um section s and place on pre-cleaned and charged microscope slides. Heat in tissue-drying oven for 45 minutes at 60°C .
Deparaffinization:
Wash slides in 3 changes of xylene.- 5 minutes each @RT.
Rehydration:
Wash slides in 3 changes of 100% alcohol - 3 minutes each @ RT.
Wash slides in 2 changes of 95% alcohol- minutes each @ RT.
Wash slides in 1 change of 80% alcohol - 3 minutes @RT.
Rinse slides in gentle running distilled water- 5 minutes @RT.
Antigen Retrieval
Steam slides in 0.01M sodium citrate bufer, pH 6.0 at 99-100°C - 20 minutes.
Remove in 1X TBS with Tween (TBST)- 1 minute @ RT.
Rinse in 1X TBS with Tween (TBST)- 1 minute @ RT.
Immunostaining:
Do not allow tissues to dry at any time during the staining procedure)
Apply a universal protein block- 20 minutes @RT
Drain protein block from slides , apply diluted primary antibody- 45 minutes @RT
Rinse slides in 1x TBST - 1 minute @ RT.
Apply a biotinylated secondary antibdoy appropiate for the primary antibody - 30 minutes @ RT
Rinse slides in 1x TBST - 1 minute @ RT.
Apply alkaline phosphatase streptavidin- 30 minutes @ RT.
Rinse slides in 1x TBST - 1 minute @ RT.
Apply alkaline phosphatase chromogen substate - 30 miunutes @RT.
Wash slides in distilled water - 1 minute @ RT.
Dehytrate
(This method should only be used if the chromogen substrate is alcohol insoluble(e.g Vector Red DAB)
Wash slides in 2 changes of 80% alcohol - 1 minute each @ RT.
Wash slides in 2 changes of 95% alcohol- 1 minutes each @ RT
Wash slides in 3 changes of 100% alcohol- 1 minute each @ RT
Wash slides in 3 changes of xylene- 1 minute each @RT
Apply coverslip .
WB (Western Blot)
(Antibody (0.1 ug/ml) staining of HepG2 lysate (35 ug protein in RIPA buffer). Primary incubation was 1 hour. Detected by chemiluminescence.)
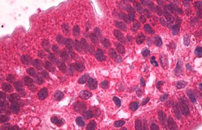
IHC (Immunohistochemistry)
(Anti-HNF4A / HNF4 antibody IHC of human small intestine. Immunohistochemistry of formalin-fixed, paraffin-embedded tissue after heat-induced antigen retrieval. Antibody concentration 2 ug/ml.)
NCBI and Uniprot Product Information
Customer Reviews
Loading reviews...
Share Your Experience
Similar Products
Product Notes
The HNF4A hnf4a (Catalog #AAA50986) is an Antibody produced from Goat and is intended for research purposes only. The product is available for immediate purchase. The Goat Polyclonal to Human HNF4A / HNF4 reacts with Human, Monkey, Bat, Dog, Hamster, Horse, Pig, Rabbit. and may cross-react with other species as described in the data sheet. AAA Biotech's HNF4A / HNF4 can be used in a range of immunoassay formats including, but not limited to, IHC (Immunohistochemistry). Researchers should empirically determine the suitability of the HNF4A hnf4a for an application not listed in the data sheet. Researchers commonly develop new applications and it is an integral, important part of the investigative research process. It is sometimes possible for the material contained within the vial of "HNF4A / HNF4, Polyclonal Antibody" to become dispersed throughout the inside of the vial, particularly around the seal of said vial, during shipment and storage. We always suggest centrifuging these vials to consolidate all of the liquid away from the lid and to the bottom of the vial prior to opening. Please be advised that certain products may require dry ice for shipping and that, if this is the case, an additional dry ice fee may also be required.Precautions
All products in the AAA Biotech catalog are strictly for research-use only, and are absolutely not suitable for use in any sort of medical, therapeutic, prophylactic, in-vivo, or diagnostic capacity. By purchasing a product from AAA Biotech, you are explicitly certifying that said products will be properly tested and used in line with industry standard. AAA Biotech and its authorized distribution partners reserve the right to refuse to fulfill any order if we have any indication that a purchaser may be intending to use a product outside of our accepted criteria.Disclaimer
Though we do strive to guarantee the information represented in this datasheet, AAA Biotech cannot be held responsible for any oversights or imprecisions. AAA Biotech reserves the right to adjust any aspect of this datasheet at any time and without notice. It is the responsibility of the customer to inform AAA Biotech of any product performance issues observed or experienced within 30 days of receipt of said product. To see additional details on this or any of our other policies, please see our Terms & Conditions page.Item has been added to Shopping Cart
If you are ready to order, navigate to Shopping Cart and get ready to checkout.
