Rabbit Hsc70 Polyclonal Antibody | anti-HSPA8 antibody
Anti-Hsc70 antibody
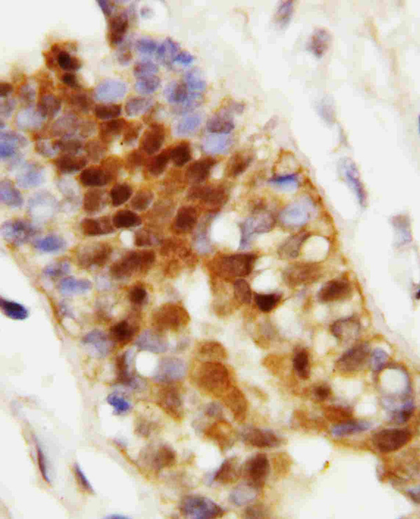
IHC (Immunohistochemisry)
(Anti-Hsc70 antibody, AAA44939, IHC(P)IHC(P): Human Mammary Cancer Tissue)
WB (Western Blot)
(Anti-Hsc70 antibody, AAA44939, Western blottingLane 1: Rat Testis Tissue LysateLane 2: Rat Brain Tissue LysateLane 3: Rat Liver Tissue LysateLane 4: Rat Lung Tissue LysateLane 5: CEM Cell LysateLane 6: HELA Cell LysateLane 7: SMMC Cell LysateLane 8: HT1080 Cell LysateLane 9: COLO320 Cell Lysate)
Background: The 70 kilodalton heat shock proteins(Hsp70s) are a family of ubiquitously expressed heat shock proteins. The Hsp70s are an important part of the cell's machinery for protein folding, and help to protect cells from stress. All of the Hsp70 proteins have three major functional domains: An N-terminal ATPase domain binds ATP(Adenosine triphosphate) and hydrolyzes it to ADP(Adenosine diphosphate); A substrate binding domain contains a groove with an affinity for neutral, hydrophobic amino acid residues; A C-terminal domain rich in alpha helical structure acts as a 'lid' for the substrate binding domain. By binding tightly to partially-synthesized peptide sequences(incomplete proteins), Hsp70 prevents them from aggregating and being rendered nonfunctional. And it also can act to protect cells from thermal or oxidative stress. Finally, Hsp70 seems to be able to participate in disposal of damaged or defective proteins. Interaction with CHIP(Carboxyl-terminus of Hsp70 Interacting Protein)-an E3 ubiquitin ligase-allows Hsp70 to pass proteins to the cell's ubiquitination and proteolysis pathways.
NCBI and Uniprot Product Information
Customer Reviews
Loading reviews...
Share Your Experience
Similar Products
Product Notes
The HSPA8 (Catalog #AAA44939) is an Antibody produced from Rabbit and is intended for research purposes only. The product is available for immediate purchase. The Anti-Hsc70 antibody reacts with Human, Mouse, Rat and may cross-react with other species as described in the data sheet. AAA Biotech's Hsc70 can be used in a range of immunoassay formats including, but not limited to, ICC (Immunocytochemistry), IHC (Immunohistochemistry), IHC (Immunohistochemistry), WB (Western Blot). Researchers should empirically determine the suitability of the HSPA8 for an application not listed in the data sheet. Researchers commonly develop new applications and it is an integral, important part of the investigative research process. It is sometimes possible for the material contained within the vial of "Hsc70, Polyclonal Antibody" to become dispersed throughout the inside of the vial, particularly around the seal of said vial, during shipment and storage. We always suggest centrifuging these vials to consolidate all of the liquid away from the lid and to the bottom of the vial prior to opening. Please be advised that certain products may require dry ice for shipping and that, if this is the case, an additional dry ice fee may also be required.Precautions
All products in the AAA Biotech catalog are strictly for research-use only, and are absolutely not suitable for use in any sort of medical, therapeutic, prophylactic, in-vivo, or diagnostic capacity. By purchasing a product from AAA Biotech, you are explicitly certifying that said products will be properly tested and used in line with industry standard. AAA Biotech and its authorized distribution partners reserve the right to refuse to fulfill any order if we have any indication that a purchaser may be intending to use a product outside of our accepted criteria.Disclaimer
Though we do strive to guarantee the information represented in this datasheet, AAA Biotech cannot be held responsible for any oversights or imprecisions. AAA Biotech reserves the right to adjust any aspect of this datasheet at any time and without notice. It is the responsibility of the customer to inform AAA Biotech of any product performance issues observed or experienced within 30 days of receipt of said product. To see additional details on this or any of our other policies, please see our Terms & Conditions page.Item has been added to Shopping Cart
If you are ready to order, navigate to Shopping Cart and get ready to checkout.
