Human Heat shock cognate 71 kDa protein ELISA Kit | HSPA8 elisa kit
Human Heat shock cognate 71 kDa protein ELISA Kit
Gene Names
HSPA8; LAP1; HSC54; HSC70; HSC71; HSP71; HSP73; LAP-1; NIP71; HEL-33; HSPA10; HEL-S-72p
Reactivity
Human
Synonyms
Heat shock cognate 71 kDa protein; N/A; Human Heat shock cognate 71 kDa protein ELISA Kit; Heat shock 70 kDa protein 8; HSPA8; HSC70; HSP73; HSPA10; HSPA8 elisa kit
Reactivity
Human
Specificity
This assay recognizes recombinant and natural humanHeat shock cognate 71 kDa protein. No significant cross-reactivity or interference was observed.
Sequence Length
646
Assay Type
Sandwich
Detection Range
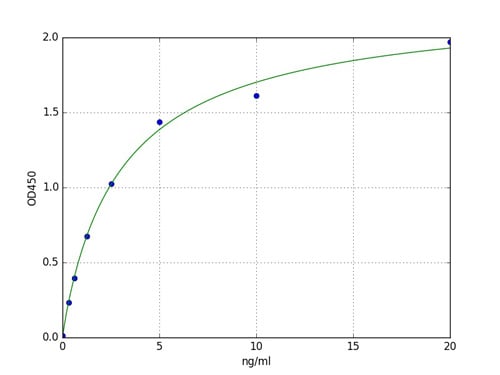
0.312-20 ng/mL
Sensitivity
0.15ng/mL
Intra-Assay CV
<=6.1%
Inter-Assay CV
<=9.9%
Recovery
105%
Preparation and Storage
For long term storage, please store the entire kit at -20 degree C.
Related Product Information for HSPA8 elisa kit
Intended Uses: This immunoassay kit allows for the in vitro quantitative determination ofhumanHeat shock cognate 71 kDa proteinconcentrations in serum, Plasma,tissue homogenates and Cell culture supernates and Other biological fluids.
Principle of the Assay: The microtiter plate provided in this kit has been pre-coated with an antibody specific to Heat shock cognate 71 kDa protein. Standards or samples are then added to the appropriate microtiter plate wells with a biotin-conjugated polyclonal antibody preparation specific forHeat shock cognate 71 kDa protein and Avidin conjugated to Horseradish Peroxidase (HRP) is added to each microplate well and incubated. Then a TMB substrate solution is added to each well. Only those wells that contain Heat shock cognate 71 kDa protein, biotin-conjugated antibody and enzyme-conjugated Avidin will exhibit a change in color. The enzyme-substrate reaction is terminated by the addition of a sulphuric acid solution and the color change is measured spectrophotometrically at a wavelength of 450 nm ± 2 nm. The concentration of Heat shock cognate 71 kDa protein in the samples is then determined by comparing the O.D. of the samples to the standard curve.
Principle of the Assay: The microtiter plate provided in this kit has been pre-coated with an antibody specific to Heat shock cognate 71 kDa protein. Standards or samples are then added to the appropriate microtiter plate wells with a biotin-conjugated polyclonal antibody preparation specific forHeat shock cognate 71 kDa protein and Avidin conjugated to Horseradish Peroxidase (HRP) is added to each microplate well and incubated. Then a TMB substrate solution is added to each well. Only those wells that contain Heat shock cognate 71 kDa protein, biotin-conjugated antibody and enzyme-conjugated Avidin will exhibit a change in color. The enzyme-substrate reaction is terminated by the addition of a sulphuric acid solution and the color change is measured spectrophotometrically at a wavelength of 450 nm ± 2 nm. The concentration of Heat shock cognate 71 kDa protein in the samples is then determined by comparing the O.D. of the samples to the standard curve.
NCBI and Uniprot Product Information
NCBI GI #
NCBI GeneID
NCBI Accession #
NCBI GenBank Nucleotide #
Molecular Weight
53,518 Da
NCBI Official Full Name
heat shock cognate 71 kDa protein isoform 1
NCBI Official Synonym Full Names
heat shock protein family A (Hsp70) member 8
NCBI Official Symbol
HSPA8
NCBI Official Synonym Symbols
LAP1; HSC54; HSC70; HSC71; HSP71; HSP73; LAP-1; NIP71; HEL-33; HSPA10; HEL-S-72p
NCBI Protein Information
heat shock cognate 71 kDa protein
UniProt Protein Name
Heat shock cognate 71 kDa protein
UniProt Gene Name
HSPA8
UniProt Synonym Gene Names
HSC70; HSP73; HSPA10; LAP-1; LPS-associated protein 1
UniProt Entry Name
HSP7C_HUMAN
Customer Reviews
Loading reviews...
Share Your Experience
Similar Products
Product Notes
The Human HSPA8 hspa8 (Catalog #AAA195392) is an ELISA Kit and is intended for research purposes only. The product is available for immediate purchase. The AAA195392 ELISA Kit recognizes Human HSPA8. It is sometimes possible for the material contained within the vial of "Heat shock cognate 71 kDa protein, ELISA Kit" to become dispersed throughout the inside of the vial, particularly around the seal of said vial, during shipment and storage. We always suggest centrifuging these vials to consolidate all of the liquid away from the lid and to the bottom of the vial prior to opening. Please be advised that certain products may require dry ice for shipping and that, if this is the case, an additional dry ice fee may also be required.Precautions
All products in the AAA Biotech catalog are strictly for research-use only, and are absolutely not suitable for use in any sort of medical, therapeutic, prophylactic, in-vivo, or diagnostic capacity. By purchasing a product from AAA Biotech, you are explicitly certifying that said products will be properly tested and used in line with industry standard. AAA Biotech and its authorized distribution partners reserve the right to refuse to fulfill any order if we have any indication that a purchaser may be intending to use a product outside of our accepted criteria.Disclaimer
Though we do strive to guarantee the information represented in this datasheet, AAA Biotech cannot be held responsible for any oversights or imprecisions. AAA Biotech reserves the right to adjust any aspect of this datasheet at any time and without notice. It is the responsibility of the customer to inform AAA Biotech of any product performance issues observed or experienced within 30 days of receipt of said product. To see additional details on this or any of our other policies, please see our Terms & Conditions page.Item has been added to Shopping Cart
If you are ready to order, navigate to Shopping Cart and get ready to checkout.
