Rabbit IGFBP4 Polyclonal Antibody | anti-IGFBP4 antibody
IGFBP4 Polyclonal Antibody
Gene Names
Igfbp4; Deb2; IGFBP-4; AI875747
Reactivity
Human, Mouse, Rat
Applications
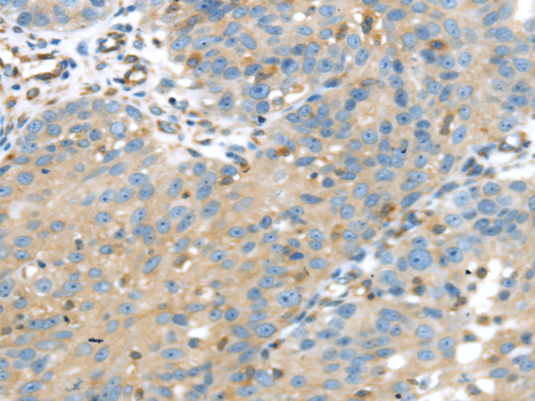
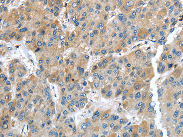
Immunohistochemistry, ELISA
Purity
Antigen Affinity Purification
Synonyms
IGFBP4, Antibody; IGFBP4 Polyclonal Antibody; BP-4; IBP4; IGFBP-4; HT29-IGFBP; anti-IGFBP4 antibody
Host
Rabbit
Reactivity
Human, Mouse, Rat
Clonality
Polyclonal
Isotype
IgG
Purity/Purification
Antigen Affinity Purification
Concentration
1.9mg/ml (varies by lot)
Sequence Length
254
Applicable Applications for anti-IGFBP4 antibody
IHC (Immunohistochemistry), ELISA
Immunogen
Fusion protein of human IGFBP4
Buffer
PBS with 0.05% sodium azide, 50% glycerol, pH7.3
Santa Cruz Alternative
Potential replacement for Santa Cruz Biotechnology antibody catalog# sc-6005 / sc-13092
Preparation and Storage
Store at -20 degree C. Avoid freeze/thaw cycles.
Related Product Information for anti-IGFBP4 antibody
This gene is a member of the insulin-like growth factor binding protein (IGFBP) family and encodes a protein with an IGFBP domain and a thyroglobulin type-I domain. The protein binds both insulin-like growth factors (IGFs) I and II and circulates in the plasma in both glycosylated and non-glycosylated forms. Binding of this protein prolongs the half-life of the IGFs and alters their interaction with cell surface receptors.
NCBI and Uniprot Product Information
NCBI GI #
NCBI GeneID
NCBI Accession #
NCBI GenBank Nucleotide #
Molecular Weight
27,807 Da
NCBI Official Full Name
insulin-like growth factor-binding protein 4
NCBI Official Synonym Full Names
insulin-like growth factor binding protein 4
NCBI Official Symbol
Igfbp4
NCBI Official Synonym Symbols
Deb2; IGFBP-4; AI875747
NCBI Protein Information
insulin-like growth factor-binding protein 4
UniProt Protein Name
Insulin-like growth factor-binding protein 4
UniProt Gene Name
Igfbp4
UniProt Synonym Gene Names
Igfbp-4; IBP-4; IGF-binding protein 4; IGFBP-4
UniProt Entry Name
IBP4_MOUSE
Similar Products
Product Notes
The IGFBP4 igfbp4 (Catalog #AAA173002) is an Antibody produced from Rabbit and is intended for research purposes only. The product is available for immediate purchase. The IGFBP4 Polyclonal Antibody reacts with Human, Mouse, Rat and may cross-react with other species as described in the data sheet. AAA Biotech's IGFBP4 can be used in a range of immunoassay formats including, but not limited to, IHC (Immunohistochemistry), ELISA. Researchers should empirically determine the suitability of the IGFBP4 igfbp4 for an application not listed in the data sheet. Researchers commonly develop new applications and it is an integral, important part of the investigative research process. It is sometimes possible for the material contained within the vial of "IGFBP4, Polyclonal Antibody" to become dispersed throughout the inside of the vial, particularly around the seal of said vial, during shipment and storage. We always suggest centrifuging these vials to consolidate all of the liquid away from the lid and to the bottom of the vial prior to opening. Please be advised that certain products may require dry ice for shipping and that, if this is the case, an additional dry ice fee may also be required.Precautions
All products in the AAA Biotech catalog are strictly for research-use only, and are absolutely not suitable for use in any sort of medical, therapeutic, prophylactic, in-vivo, or diagnostic capacity. By purchasing a product from AAA Biotech, you are explicitly certifying that said products will be properly tested and used in line with industry standard. AAA Biotech and its authorized distribution partners reserve the right to refuse to fulfill any order if we have any indication that a purchaser may be intending to use a product outside of our accepted criteria.Disclaimer
Though we do strive to guarantee the information represented in this datasheet, AAA Biotech cannot be held responsible for any oversights or imprecisions. AAA Biotech reserves the right to adjust any aspect of this datasheet at any time and without notice. It is the responsibility of the customer to inform AAA Biotech of any product performance issues observed or experienced within 30 days of receipt of said product. To see additional details on this or any of our other policies, please see our Terms & Conditions page.Item has been added to Shopping Cart
If you are ready to order, navigate to Shopping Cart and get ready to checkout.
