Rabbit anti-Human IL17A Polyclonal Antibody | anti-IL17A antibody
IL17A Rabbit anti-Human Polyclonal Antibody
Gene Names
IL17A; IL17; CTLA8; IL-17; IL-17A
Reactivity
Human
Applications
Immunohistochemistry
Purity
Immunoaffinity purified
Synonyms
IL17A, Antibody; IL17A Rabbit anti-Human Polyclonal Antibody; PathPlus IL17A Antibody; IL17A; CTLA-8; CTLA8; Interleukin-17A; Interleukin 17A; IL-17; IL-17A; IL17; anti-IL17A antibody
Host
Rabbit
Reactivity
Human
Clonality
Polyclonal
Purity/Purification
Immunoaffinity purified
Form/Format
PBS, 0.1% Sodium Azide
Concentration
0.92mg/ml (varies by lot)
Applicable Applications for anti-IL17A antibody
IHC (Immunohistochemistry)
Target
Human IL17A
Immunogen
LP-10946, synthetic peptide
Conjugation
Unconjugated
Family
Interleukin
Preparation and Storage
Aliquot and store undiluted at -20 degree C or below for up to 1 year. Can be stored undiluted at 4 degree C for up to 1 month. Avoid freeze-thaw cycles.
Related Product Information for anti-IL17A antibody
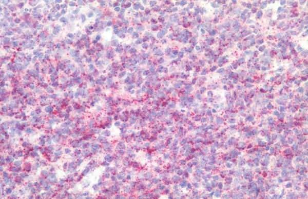
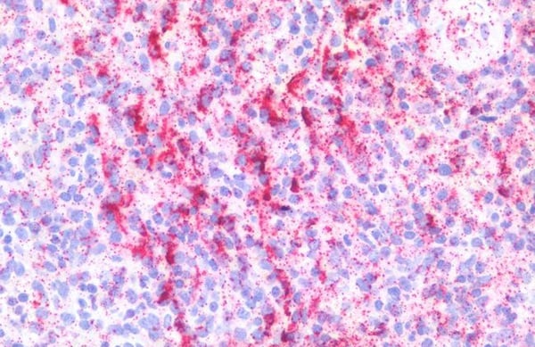
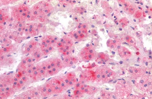
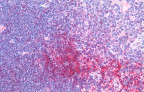
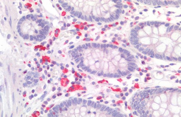
IL17A antibody is an unconjugated rabbit polyclonal antibody to IL17A from human. Validated for IHC.
IL17A (interleukin-17A) is a cytokine produced by activated T cells that regulates NFKB and MAPK kinases. IL17A has pro-inflammatory functions and is involved in host defense. High expression of the protein is correlated with autoimmune and inflammatory diseases including multiple sclerosis, psoriasis, rheumatoid arthritis. IL17A expression is also associated with stroke and depression, accelerated inflammation and degeneration in Parkinson's disease, as well as central nervous system infections. In immunohistochemistry, IL17A has variable secretory positivity in serum, gastrointestinal tissue, reproductive tissues, and in infiltrating T lymphocytes at sites of inflammation and tissues in various tumorigenic and disease states.
IL17A (interleukin-17A) is a cytokine produced by activated T cells that regulates NFKB and MAPK kinases. IL17A has pro-inflammatory functions and is involved in host defense. High expression of the protein is correlated with autoimmune and inflammatory diseases including multiple sclerosis, psoriasis, rheumatoid arthritis. IL17A expression is also associated with stroke and depression, accelerated inflammation and degeneration in Parkinson's disease, as well as central nervous system infections. In immunohistochemistry, IL17A has variable secretory positivity in serum, gastrointestinal tissue, reproductive tissues, and in infiltrating T lymphocytes at sites of inflammation and tissues in various tumorigenic and disease states.
References
Acta Neuropathol. 2015 May;129(5):625-37, PMID: 25716179; Brain Behav Immun. 2019 Jul 24. pii: S0889-1591(19)30539-2, PMID: 31351185; Ann Dermatol. 2014 Apr; 26(2): 203 -208, PMID: 24882975;
NCBI and Uniprot Product Information
NCBI GI #
NCBI GeneID
NCBI Accession #
NCBI GenBank Nucleotide #
Molecular Weight
17,504 Da
NCBI Official Full Name
interleukin-17A
NCBI Official Synonym Full Names
interleukin 17A
NCBI Official Symbol
IL17A
NCBI Official Synonym Symbols
IL17; CTLA8; IL-17; IL-17A
NCBI Protein Information
interleukin-17A; CTLA-8; cytotoxic T-lymphocyte-associated antigen 8; cytotoxic T-lymphocyte-associated protein 8; interleukin 17 (cytotoxic T-lymphocyte-associated serine esterase 8)
UniProt Protein Name
Interleukin-17A
UniProt Gene Name
IL17A
UniProt Synonym Gene Names
CTLA8; IL17; IL-17; IL-17A; CTLA-8
UniProt Entry Name
IL17_HUMAN
Similar Products
Product Notes
The IL17A il17a (Catalog #AAA162996) is an Antibody produced from Rabbit and is intended for research purposes only. The product is available for immediate purchase. The IL17A Rabbit anti-Human Polyclonal Antibody reacts with Human and may cross-react with other species as described in the data sheet. AAA Biotech's IL17A can be used in a range of immunoassay formats including, but not limited to, IHC (Immunohistochemistry). Researchers should empirically determine the suitability of the IL17A il17a for an application not listed in the data sheet. Researchers commonly develop new applications and it is an integral, important part of the investigative research process. It is sometimes possible for the material contained within the vial of "IL17A, Polyclonal Antibody" to become dispersed throughout the inside of the vial, particularly around the seal of said vial, during shipment and storage. We always suggest centrifuging these vials to consolidate all of the liquid away from the lid and to the bottom of the vial prior to opening. Please be advised that certain products may require dry ice for shipping and that, if this is the case, an additional dry ice fee may also be required.Precautions
All products in the AAA Biotech catalog are strictly for research-use only, and are absolutely not suitable for use in any sort of medical, therapeutic, prophylactic, in-vivo, or diagnostic capacity. By purchasing a product from AAA Biotech, you are explicitly certifying that said products will be properly tested and used in line with industry standard. AAA Biotech and its authorized distribution partners reserve the right to refuse to fulfill any order if we have any indication that a purchaser may be intending to use a product outside of our accepted criteria.Disclaimer
Though we do strive to guarantee the information represented in this datasheet, AAA Biotech cannot be held responsible for any oversights or imprecisions. AAA Biotech reserves the right to adjust any aspect of this datasheet at any time and without notice. It is the responsibility of the customer to inform AAA Biotech of any product performance issues observed or experienced within 30 days of receipt of said product. To see additional details on this or any of our other policies, please see our Terms & Conditions page.Item has been added to Shopping Cart
If you are ready to order, navigate to Shopping Cart and get ready to checkout.
