Rabbit anti-Human IL36A Polyclonal Antibody | anti-IL36A antibody
IL36A Antibody
Gene Names
IL36A; FIL1; FIL1E; IL1F6; IL-1F6; IL1(EPSILON); FIL1(EPSILON)
Reactivity
Human
Applications
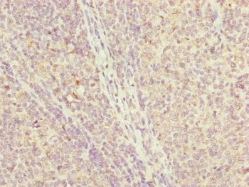
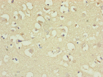
Immunohistochemistry, ELISA
Purity
Antigen Affinity Purified
Synonyms
IL36A, Antibody; IL36A Antibody; Interleukin-36 alpha; FIL1 epsilon; Interleukin-1 epsilon; IL-1 epsilon; Interleukin-1 family member 6; IL-1F6; IL36A; FIL1E; IL1E; IL1F6; anti-IL36A antibody
Host
Rabbit
Reactivity
Human
Clonality
Polyclonal
Isotype
IgG
Purity/Purification
Antigen Affinity Purified
Form/Format
Liquid
Sequence Length
158
Applicable Applications for anti-IL36A antibody
IHC (Immunohistochemistry), ELISA
Species
Human
Immunogen
Recombinant human Interleukin-36 alpha protein (1-158AA)
Conjugate
Non-conjugated
Buffer
PBS with 0.02% sodium azide, 50% glycerol, pH7.3.
Santa Cruz Alternative
Potential replacement for Santa Cruz Biotechnology antibody catalog# sc-51302
Preparation and Storage
Shipped at 4 degree C. Upon delivery aliquot and store at -20 degree C or -80 degree C. Avoid repeated freeze.
Related Product Information for anti-IL36A antibody
Cytokine that binds to and signals through the IL1RL2/IL-36R receptor which in turn activates NF-kappa-B and MAPK signaling pathways in target cells linked to a pro-inflammatory response. Part of the IL-36 signaling system that is thought to be present in epithelial barriers and to take part in local inflammatory response; similar to the IL-1 system with which it shares the coreceptor IL1RAP. Seems to be involved in skin inflammatory response by acting on keratinocytes, dendritic cells and indirectly on T-cells to drive tissue infiltration, cell maturation and cell proliferation. In cultured keratinocytes induces the expression of macrophage, T-cell, and neutrophil chemokines, such as CCL3, CCL4, CCL5, CCL2, CCL17, CCL22, CL20, CCL5, CCL2, CCL17, CCL22, CXCL8, CCL20 and CXCL1, and the production of proinflammatory cytokines such as TNF-alpha, IL-8 and IL-6. In cultured monocytes upregulates expression of IL-1A, IL-1B and IL-6. In myeloid dendritic cells involved in cell maturation by upregulating surface expression of CD83, CD86 and HLA-DR. In monocyte-derived dendritic cells facilitates dendritic cell maturation and drives T-cell proliferation. May play a role in proinflammatory effects in the lung.
NCBI and Uniprot Product Information
NCBI GI #
NCBI GeneID
NCBI Accession #
NCBI GenBank Nucleotide #
Molecular Weight
17,684 Da
NCBI Official Full Name
interleukin-36 alpha
NCBI Official Synonym Full Names
interleukin 36, alpha
NCBI Official Symbol
IL36A
NCBI Official Synonym Symbols
FIL1; FIL1E; IL1F6; IL-1F6; IL1(EPSILON); FIL1(EPSILON)
NCBI Protein Information
interleukin-36 alpha
UniProt Protein Name
Interleukin-36 alpha
UniProt Gene Name
IL36A
UniProt Synonym Gene Names
FIL1E; IL1E; IL1F6; IL-1 epsilon; IL-1F6
UniProt Entry Name
IL36A_HUMAN
Customer Reviews
Loading reviews...
Share Your Experience
Similar Products
Product Notes
The IL36A il36a (Catalog #AAA232026) is an Antibody produced from Rabbit and is intended for research purposes only. The product is available for immediate purchase. The IL36A Antibody reacts with Human and may cross-react with other species as described in the data sheet. AAA Biotech's IL36A can be used in a range of immunoassay formats including, but not limited to, IHC (Immunohistochemistry), ELISA. Researchers should empirically determine the suitability of the IL36A il36a for an application not listed in the data sheet. Researchers commonly develop new applications and it is an integral, important part of the investigative research process. It is sometimes possible for the material contained within the vial of "IL36A, Polyclonal Antibody" to become dispersed throughout the inside of the vial, particularly around the seal of said vial, during shipment and storage. We always suggest centrifuging these vials to consolidate all of the liquid away from the lid and to the bottom of the vial prior to opening. Please be advised that certain products may require dry ice for shipping and that, if this is the case, an additional dry ice fee may also be required.Precautions
All products in the AAA Biotech catalog are strictly for research-use only, and are absolutely not suitable for use in any sort of medical, therapeutic, prophylactic, in-vivo, or diagnostic capacity. By purchasing a product from AAA Biotech, you are explicitly certifying that said products will be properly tested and used in line with industry standard. AAA Biotech and its authorized distribution partners reserve the right to refuse to fulfill any order if we have any indication that a purchaser may be intending to use a product outside of our accepted criteria.Disclaimer
Though we do strive to guarantee the information represented in this datasheet, AAA Biotech cannot be held responsible for any oversights or imprecisions. AAA Biotech reserves the right to adjust any aspect of this datasheet at any time and without notice. It is the responsibility of the customer to inform AAA Biotech of any product performance issues observed or experienced within 30 days of receipt of said product. To see additional details on this or any of our other policies, please see our Terms & Conditions page.Item has been added to Shopping Cart
If you are ready to order, navigate to Shopping Cart and get ready to checkout.
