Rabbit anti-Mouse, Rat JNK2 Polyclonal Antibody | anti-JNK2 antibody
JNK2 Polyclonal Antibody
Gene Names
Mapk9; SAPK
Reactivity
Mouse, Rat
Applications
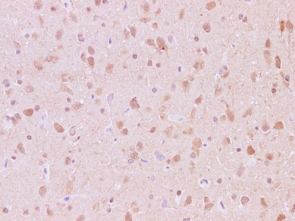
Immunohistochemistry
Purity
Affinity Purification
Synonyms
JNK2, Antibody; JNK2 Polyclonal Antibody; c Jun kinase 2; C Jun N terminal kinase 2; c-Jun N-terminal kinase 2; JNK 55; JNK-55; JNK2 alpha; JNK2; JNK2 beta; JNK2A; JNK2alpha; JNK2B; JNK2BETA; Jun kinase; MAP kinase 9; MAPK 9; Mapk9; Mitogen activated protein kinase 9; Mitogen-activated protein kinase 9; MK09_HUMAN; P54a; p54aSAPK; PRKM9; Protein kinase; mitogen-activated; 9; SAPK alpha; SAPK; SAPK1a; Stress activated protein kinase 1a; Stress-activated protein kinase JNK2; anti-JNK2 antibody
Host
Rabbit
Reactivity
Mouse, Rat
Clonality
Polyclonal
Isotype
IgG
Purity/Purification
Affinity Purification
Form/Format
PBS with 0.05% Proclin300, 50% glycerol, pH7.3.
Concentration
2 mg/mL (varies by lot)
Sequence Length
423
Applicable Applications for anti-JNK2 antibody
IHC (Immunohistochemistry)
Immunogen
Recombinant Rat Mitogen-activated protein kinase 9 protien
Conjugation
Unconjugated
Preparation and Storage
Store at -20 degree C. Avoid freeze/thaw cycles.
Related Product Information for anti-JNK2 antibody
The protein encoded by this gene is a member of the MAP kinase family. MAP kinases act as an integration point for multiple biochemical signals, and are involved in a wide variety of cellular processes such as proliferation, differentiation, transcription regulation and development. This kinase targets specific transcription factors, and thus mediates immediate-early gene expression in response to various cell stimuli. It is most closely related to MAPK8, both of which are involved in UV radiation induced apoptosis, thought to be related to the cytochrome c-mediated cell death pathway. This gene and MAPK8 are also known as c-Jun N-terminal kinases. This kinase blocks the ubiquitination of tumor suppressor p53, and thus it increases the stability of p53 in nonstressed cells. Studies of this gene's mouse counterpart suggest a key role in T-cell differentiation. Several alternatively spliced transcript variants encoding distinct isoforms have been reported.
Product Categories/Family for anti-JNK2 antibody
NCBI and Uniprot Product Information
NCBI GI #
NCBI GeneID
NCBI Accession #
NCBI GenBank Nucleotide #
UniProt Accession #
Molecular Weight
48,107 Da
NCBI Official Full Name
mitogen-activated protein kinase 9 isoform 2
NCBI Official Synonym Full Names
mitogen-activated protein kinase 9
NCBI Official Symbol
Mapk9
NCBI Official Synonym Symbols
SAPK
NCBI Protein Information
mitogen-activated protein kinase 9
UniProt Protein Name
Mitogen-activated protein kinase 9
UniProt Gene Name
Mapk9
UniProt Synonym Gene Names
Jnk2; Prkm9; MAP kinase 9; MAPK 9
Similar Products
Product Notes
The JNK2 mapk9 (Catalog #AAA174059) is an Antibody produced from Rabbit and is intended for research purposes only. The product is available for immediate purchase. The JNK2 Polyclonal Antibody reacts with Mouse, Rat and may cross-react with other species as described in the data sheet. AAA Biotech's JNK2 can be used in a range of immunoassay formats including, but not limited to, IHC (Immunohistochemistry). Researchers should empirically determine the suitability of the JNK2 mapk9 for an application not listed in the data sheet. Researchers commonly develop new applications and it is an integral, important part of the investigative research process. It is sometimes possible for the material contained within the vial of "JNK2, Polyclonal Antibody" to become dispersed throughout the inside of the vial, particularly around the seal of said vial, during shipment and storage. We always suggest centrifuging these vials to consolidate all of the liquid away from the lid and to the bottom of the vial prior to opening. Please be advised that certain products may require dry ice for shipping and that, if this is the case, an additional dry ice fee may also be required.Precautions
All products in the AAA Biotech catalog are strictly for research-use only, and are absolutely not suitable for use in any sort of medical, therapeutic, prophylactic, in-vivo, or diagnostic capacity. By purchasing a product from AAA Biotech, you are explicitly certifying that said products will be properly tested and used in line with industry standard. AAA Biotech and its authorized distribution partners reserve the right to refuse to fulfill any order if we have any indication that a purchaser may be intending to use a product outside of our accepted criteria.Disclaimer
Though we do strive to guarantee the information represented in this datasheet, AAA Biotech cannot be held responsible for any oversights or imprecisions. AAA Biotech reserves the right to adjust any aspect of this datasheet at any time and without notice. It is the responsibility of the customer to inform AAA Biotech of any product performance issues observed or experienced within 30 days of receipt of said product. To see additional details on this or any of our other policies, please see our Terms & Conditions page.Item has been added to Shopping Cart
If you are ready to order, navigate to Shopping Cart and get ready to checkout.
