Rabbit KCNA1 Polyclonal Antibody | anti-KCNA1 antibody
KCNA1 Antibody
Phosphate buffered saline, pH 7.4, 150mM NaCl, 0.02% sodium azide and 50% glycerol.
WB (Western Blot)
(Western blot analysis of extracts of U251, using KCNA1antibody. The lane on the left is treated with the antigen-specific peptide.)
IF (Immunofluorescence)
(AAA326872 staining HuvEc cells by IF/ICC. The sample were fixed with PFA and permeabilized in 0.1% Triton X-100, then blocked in 10% serum for 45 minutes at 25 degree C. The primary antibody was diluted at 1/200 and incubated with the sample for 1 hour at 37 degree C. An Alexa Fluor 594 conjugated goat anti-rabbit IgG (H+L) antibody, diluted at 1/600, was used as secondary antibody.)
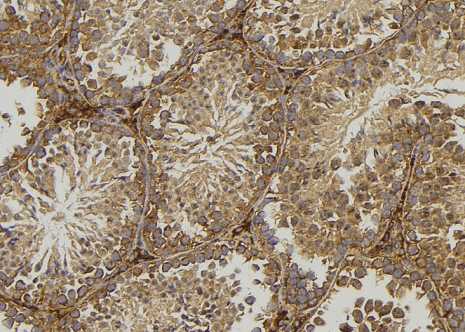
IHC (Immunohistochemistry)
(AAA326872 at 1/100 staining Mouse testis tissue by IHC-P. The sample was formaldehyde fixed and a heat mediated antigen retrieval step in citrate buffer was performed. The sample was then blocked and incubated with the antibody for 1.5 hours at 22 degree C. An HRP conjugated goat anti-rabbit antibody was used as the secondary.)
Function: Voltage-gated potassium channel that mediates transmembrane potassium transport in excitable membranes, primarily in the brain and the central nervous system, but also in the kidney (PubMed:19903818). Contributes to the regulation of the membrane potential and nerve signaling, and prevents neuronal hyperexcitability (PubMed:17156368). Forms tetrameric potassium-selective channels through which potassium ions pass in accordance with their electrochemical gradient. The channel alternates between opened and closed conformations in response to the voltage difference across the membrane (PubMed:19912772). Can form functional homotetrameric channels and heterotetrameric channels that contain variable proportions of KCNA1, KCNA2, KCNA4, KCNA5, KCNA6, KCNA7, and possibly other family members as well; channel properties depend on the type of alpha subunits that are part of the channel (PubMed:12077175, PubMed:17156368). Channel properties are modulated by cytoplasmic beta subunits that regulate the subcellular location of the alpha subunits and promote rapid inactivation of delayed rectifier potassium channels (PubMed:12077175, PubMed:17156368). In vivo, membranes probably contain a mixture of heteromeric potassium channel complexes, making it difficult to assign currents observed in intact tissues to any particular potassium channel family member. Homotetrameric KCNA1 forms a delayed-rectifier potassium channel that opens in response to membrane depolarization, followed by slow spontaneous channel closure (PubMed:19912772, PubMed:19968958, PubMed:19307729, PubMed:19903818). In contrast, a heterotetrameric channel formed by KCNA1 and KCNA4 shows rapid inactivation (PubMed:17156368). Regulates neuronal excitability in hippocampus, especially in mossy fibers and medial perforant path axons, preventing neuronal hyperexcitability. Response to toxins that are selective for KCNA1, respectively for KCNA2, suggests that heteromeric potassium channels composed of both KCNA1 and KCNA2 play a role in pacemaking and regulate the output of deep cerebellar nuclear neurons (By similarity). May function as down-stream effector for G protein-coupled receptors and inhibit GABAergic inputs to basolateral amygdala neurons (By similarity). May contribute to the regulation of neurotransmitter release, such as gamma-aminobutyric acid (GABA) release (By similarity). Plays a role in regulating the generation of action potentials and preventing hyperexcitability in myelinated axons of the vagus nerve, and thereby contributes to the regulation of heart contraction (By similarity). Required for normal neuromuscular responses (PubMed:11026449, PubMed:17136396). Regulates the frequency of neuronal action potential firing in response to mechanical stimuli, and plays a role in the perception of pain caused by mechanical stimuli, but does not play a role in the perception of pain due to heat stimuli (By similarity). Required for normal responses to auditory stimuli and precise location of sound sources, but not for sound perception (By similarity). The use of toxins that block specific channels suggest that it contributes to the regulation of the axonal release of the neurotransmitter dopamine (By similarity). Required for normal postnatal brain development and normal proliferation of neuronal precursor cells in the brain (By similarity). Plays a role in the reabsorption of Mg2+ in the distal convoluted tubules in the kidney and in magnesium ion homeostasis, probably via its effect on the membrane potential (PubMed:23903368, PubMed:19307729).
Subunit Structure: Homotetramer and heterotetramer with other channel-forming alpha subunits, such as KCNA2, KCNA4, KCNA5, KCNA6 and KCNA7 (PubMed:12077175, PubMed:17156368). Channel activity is regulated by interaction with the beta subunits KCNAB1 and KCNAB2 (PubMed:12077175, PubMed:17156368). Identified in a complex with KCNA2 and KCNAB2 (PubMed:11086297). Interacts (via C-terminus) with the PDZ domains of DLG1, DLG2 and DLG4 (By similarity). Interacts with LGI1 within a complex containing LGI1, KCNA4 and KCNAB1 (By similarity). Interacts (via N-terminus) with STX1A; this promotes channel inactivation (By similarity). Interacts (via N-terminus) with the heterodimer formed by GNB1 and GNG2; this promotes channel inactivation (By similarity). Can interact simultaneously with STX1A and the heterodimer formed by GNB1 and GNG2 (By similarity). Interacts (via cytoplasmic N-terminal domain) with KCNRG; this inhibits channel activity (PubMed:19968958). Interacts with ANK3; this inhibits channel activity (PubMed:23903368).
Post-translational Modifications: N-glycosylated. Palmitoylated on Cys-243; which may be required for membrane targeting. Phosphorylated on tyrosine residues. Phosphorylation increases in response to NRG1; this inhibits channel activity (By similarity). Phosphorylation at Ser-446 regulates channel activity by down-regulating expression at the cell membrane (PubMed:23774215).
Similarity: The cytoplasmic N-terminus is important for tetramerization and for interaction with the beta subunits that promote rapid channel closure.The transmembrane segment S4 functions as voltage-sensor and is characterized by a series of positively charged amino acids at every third position. Channel opening and closing is effected by a conformation change that affects the position and orientation of the voltage-sensor paddle formed by S3 and S4 within the membrane. A transmembrane electric field that is positive inside would push the positively charged S4 segment outwards, thereby opening the pore, while a field that is negative inside would pull the S4 segment inwards and close the pore. Changes in the position and orientation of S4 are then transmitted to the activation gate formed by the inner helix bundle via the S4-S5 linker region. Belongs to the potassium channel family. A (Shaker) (TC 1.A.1.2) subfamily. Kv1.1/KCNA1 sub-subfamily.
NCBI and Uniprot Product Information
Predicted: 57 kDa
Customer Reviews
Loading reviews...
Share Your Experience
Similar Products
Product Notes
The KCNA1 kcna1 (Catalog #AAA326872) is an Antibody produced from Rabbit and is intended for research purposes only. The product is available for immediate purchase. The KCNA1 Antibody reacts with Human, Mouse, Rat and may cross-react with other species as described in the data sheet. AAA Biotech's KCNA1 can be used in a range of immunoassay formats including, but not limited to, ELISA, ICC (Immunocytochemistry), IF (Immunofluorescence), IHC (Immunohistochemistry), WB (Western Blot). Researchers should empirically determine the suitability of the KCNA1 kcna1 for an application not listed in the data sheet. Researchers commonly develop new applications and it is an integral, important part of the investigative research process. It is sometimes possible for the material contained within the vial of "KCNA1, Polyclonal Antibody" to become dispersed throughout the inside of the vial, particularly around the seal of said vial, during shipment and storage. We always suggest centrifuging these vials to consolidate all of the liquid away from the lid and to the bottom of the vial prior to opening. Please be advised that certain products may require dry ice for shipping and that, if this is the case, an additional dry ice fee may also be required.Precautions
All products in the AAA Biotech catalog are strictly for research-use only, and are absolutely not suitable for use in any sort of medical, therapeutic, prophylactic, in-vivo, or diagnostic capacity. By purchasing a product from AAA Biotech, you are explicitly certifying that said products will be properly tested and used in line with industry standard. AAA Biotech and its authorized distribution partners reserve the right to refuse to fulfill any order if we have any indication that a purchaser may be intending to use a product outside of our accepted criteria.Disclaimer
Though we do strive to guarantee the information represented in this datasheet, AAA Biotech cannot be held responsible for any oversights or imprecisions. AAA Biotech reserves the right to adjust any aspect of this datasheet at any time and without notice. It is the responsibility of the customer to inform AAA Biotech of any product performance issues observed or experienced within 30 days of receipt of said product. To see additional details on this or any of our other policies, please see our Terms & Conditions page.Item has been added to Shopping Cart
If you are ready to order, navigate to Shopping Cart and get ready to checkout.
