Rabbit KCNA1 Antibody | anti-KCNA1 antibody
KCNA1 Antibody
Gene Names
KCNA1; EA1; MK1; AEMK; HBK1; HUK1; MBK1; RBK1; KV1.1
Reactivity
Human, Mouse, Rat
Applications
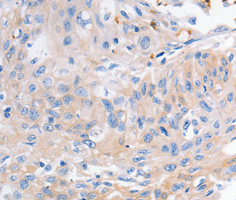
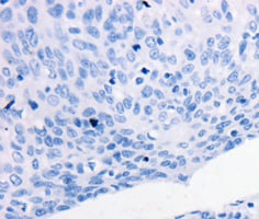
Immunohistochemistry, Western Blot
Purity
Affinity purification
Synonyms
KCNA1; N/A; KCNA1 Antibody; EA1; MK1; AEMK; HBK1; HUK1; MBK1; RBK1; KV1.1; anti-KCNA1 antibody
Host
Rabbit
Reactivity
Human, Mouse, Rat
Isotype
IgG
Purity/Purification
Affinity purification
Sequence Length
495
Applicable Applications for anti-KCNA1 antibody
IHC (Immunohistochemistry), WB (Western Blot)
Immunogen
A synthetic peptide of human KCNA1
Storage Buffer
PBS with 0.02% sodium azide, 50% glycerol, pH7.3.
Preparation and Storage
Store at-20 degree C or-80 degree C. Avoid freeze/thaw cycles.
Related Product Information for anti-KCNA1 antibody
This gene encodes a voltage-gated delayed potassium channel that is phylogenetically related to the Drosophila Shaker channel. The encoded protein has six putative transmembrane segments (S1-S6), and the loop between S5 and S6 forms the pore and contains the conserved selectivity filter motif (GYGD). The functional channel is a homotetramer. The N-terminus of the channel is associated with beta subunits that can modify the inactivation properties of the channel as well as affect expression levels. The C-terminus of the channel is complexed to a PDZ domain protein that is responsible for channel targeting. Mutations in this gene have been associated with myokymia with periodic ataxia (AEMK).
Product Categories/Family for anti-KCNA1 antibody
NCBI and Uniprot Product Information
NCBI GI #
NCBI GeneID
NCBI Accession #
NCBI GenBank Nucleotide #
Molecular Weight
56kDa
NCBI Official Full Name
potassium voltage-gated channel subfamily A member 1
NCBI Official Synonym Full Names
potassium voltage-gated channel subfamily A member 1
NCBI Official Symbol
KCNA1
NCBI Official Synonym Symbols
EA1; MK1; AEMK; HBK1; HUK1; MBK1; RBK1; KV1.1
NCBI Protein Information
potassium voltage-gated channel subfamily A member 1
UniProt Protein Name
Potassium voltage-gated channel subfamily A member 1
UniProt Gene Name
KCNA1
Customer Reviews
Loading reviews...
Share Your Experience
Similar Products
Product Notes
The KCNA1 kcna1 (Catalog #AAA266731) is an Antibody produced from Rabbit and is intended for research purposes only. The product is available for immediate purchase. The KCNA1 Antibody reacts with Human, Mouse, Rat and may cross-react with other species as described in the data sheet. AAA Biotech's KCNA1 can be used in a range of immunoassay formats including, but not limited to, IHC (Immunohistochemistry), WB (Western Blot). Researchers should empirically determine the suitability of the KCNA1 kcna1 for an application not listed in the data sheet. Researchers commonly develop new applications and it is an integral, important part of the investigative research process. It is sometimes possible for the material contained within the vial of "KCNA1, Antibody" to become dispersed throughout the inside of the vial, particularly around the seal of said vial, during shipment and storage. We always suggest centrifuging these vials to consolidate all of the liquid away from the lid and to the bottom of the vial prior to opening. Please be advised that certain products may require dry ice for shipping and that, if this is the case, an additional dry ice fee may also be required.Precautions
All products in the AAA Biotech catalog are strictly for research-use only, and are absolutely not suitable for use in any sort of medical, therapeutic, prophylactic, in-vivo, or diagnostic capacity. By purchasing a product from AAA Biotech, you are explicitly certifying that said products will be properly tested and used in line with industry standard. AAA Biotech and its authorized distribution partners reserve the right to refuse to fulfill any order if we have any indication that a purchaser may be intending to use a product outside of our accepted criteria.Disclaimer
Though we do strive to guarantee the information represented in this datasheet, AAA Biotech cannot be held responsible for any oversights or imprecisions. AAA Biotech reserves the right to adjust any aspect of this datasheet at any time and without notice. It is the responsibility of the customer to inform AAA Biotech of any product performance issues observed or experienced within 30 days of receipt of said product. To see additional details on this or any of our other policies, please see our Terms & Conditions page.Item has been added to Shopping Cart
If you are ready to order, navigate to Shopping Cart and get ready to checkout.
