Rabbit anti-Human KDM4B Polyclonal Antibody | anti-KDM4B antibody
KDM4B Antibody
Gene Names
KDM4B; JMJD2B; TDRD14B
Reactivity
Human
Applications
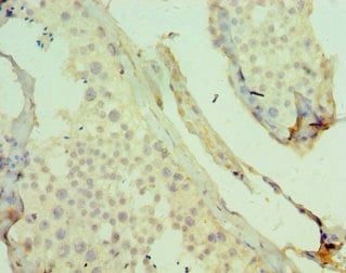
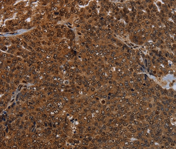
Immunohistochemistry
Purity
Antigen affinity purification.
Synonyms
KDM4B, Antibody; KDM4B Antibody; JMJD2B; TDRD14B; anti-KDM4B antibody
Host
Rabbit
Reactivity
Human
Clonality
Polyclonal
Specificity
The antibody detects endogenous levels of total KDM4B protein.
Purity/Purification
Antigen affinity purification.
Form/Format
Rabbit IgG in pH7.3 PBS, 0.05% NaN3, 50% Glycerol.
Concentration
3.2 mg/ml (varies by lot)
Sequence Length
1096
Applicable Applications for anti-KDM4B antibody
IHC (Immunohistochemistry)
Immunogen Type
Peptide
Immunogen Description
Synthetic peptide corresponding to a region derived from internal residues of human lysine (K)-specific demethylase 4B
Target Name
KDM4B
Preparation and Storage
Store at -20 degree C
Related Product Information for anti-KDM4B antibody
JMJD2B (JmjC domain-containing histone demethylation protein 3A) is a 1,064 amino acid protein encoded by the human gene JMJD2B. JMJD2B belongs to the JMJD2B histone demethylase family and contains one JmjC domain, one JmjN domain, two PHD-type zinc fingers and two Tudor domains. The two Tudor domains recognize and bind methylated histones and have an interdigitated structure; the unusual fold is required for its ability to bind methylated histone tails. JMJD2B is a histone demethylase that specifically demethylates Lys 9 residues of Histone H3, thereby playing a role in histone code. It does not demethylate Histone H3 Lys 4, H3 Lys 27, H3 Lys 36 or H4 Lys 20, however, and is only able to demethylate trimethylated H3 Lys-9 and has weaker activity than JMJD2A, JMJD2C and JMJD2D. JMJD2B demethyl-ation of Lysine residues will generate formaldehyde and succinate. JMJD2B is a ubiquitously expressed nuclear protein.
Product Categories/Family for anti-KDM4B antibody
NCBI and Uniprot Product Information
NCBI GI #
NCBI GeneID
NCBI Accession #
NCBI GenBank Nucleotide #
Molecular Weight
50,582 Da
NCBI Official Full Name
lysine-specific demethylase 4B
NCBI Official Synonym Full Names
lysine (K)-specific demethylase 4B
NCBI Official Symbol
KDM4B
NCBI Official Synonym Symbols
JMJD2B; TDRD14B
NCBI Protein Information
lysine-specific demethylase 4B
UniProt Protein Name
Lysine-specific demethylase 4B
UniProt Gene Name
KDM4B
UniProt Synonym Gene Names
JHDM3B; JMJD2B; KIAA0876
UniProt Entry Name
KDM4B_HUMAN
Customer Reviews
Loading reviews...
Share Your Experience
Similar Products
Product Notes
The KDM4B kdm4b (Catalog #AAA306069) is an Antibody produced from Rabbit and is intended for research purposes only. The product is available for immediate purchase. The KDM4B Antibody reacts with Human and may cross-react with other species as described in the data sheet. AAA Biotech's KDM4B can be used in a range of immunoassay formats including, but not limited to, IHC (Immunohistochemistry). Researchers should empirically determine the suitability of the KDM4B kdm4b for an application not listed in the data sheet. Researchers commonly develop new applications and it is an integral, important part of the investigative research process. It is sometimes possible for the material contained within the vial of "KDM4B, Polyclonal Antibody" to become dispersed throughout the inside of the vial, particularly around the seal of said vial, during shipment and storage. We always suggest centrifuging these vials to consolidate all of the liquid away from the lid and to the bottom of the vial prior to opening. Please be advised that certain products may require dry ice for shipping and that, if this is the case, an additional dry ice fee may also be required.Precautions
All products in the AAA Biotech catalog are strictly for research-use only, and are absolutely not suitable for use in any sort of medical, therapeutic, prophylactic, in-vivo, or diagnostic capacity. By purchasing a product from AAA Biotech, you are explicitly certifying that said products will be properly tested and used in line with industry standard. AAA Biotech and its authorized distribution partners reserve the right to refuse to fulfill any order if we have any indication that a purchaser may be intending to use a product outside of our accepted criteria.Disclaimer
Though we do strive to guarantee the information represented in this datasheet, AAA Biotech cannot be held responsible for any oversights or imprecisions. AAA Biotech reserves the right to adjust any aspect of this datasheet at any time and without notice. It is the responsibility of the customer to inform AAA Biotech of any product performance issues observed or experienced within 30 days of receipt of said product. To see additional details on this or any of our other policies, please see our Terms & Conditions page.Item has been added to Shopping Cart
If you are ready to order, navigate to Shopping Cart and get ready to checkout.
