Rabbit anti-Human KIF2A Polyclonal Antibody | anti-KIF2A antibody
KIF2A Antibody
Gene Names
KIF2A; HK2; KIF2; CDCBM3
Reactivity
Human
Applications
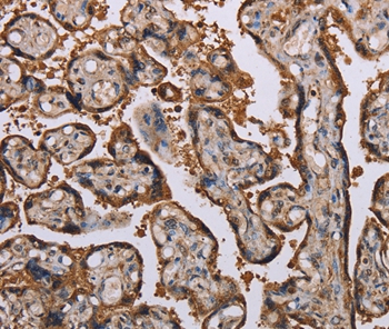
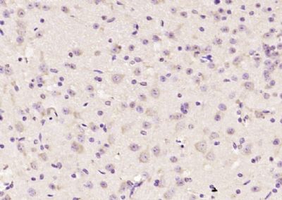
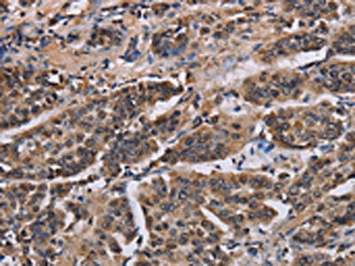
Immunohistochemistry, Western Blot
Purity
Antigen affinity purification.
Synonyms
KIF2A, Antibody; KIF2A Antibody; HK2; KIF2; CDCBM3; anti-KIF2A antibody
Host
Rabbit
Reactivity
Human
Clonality
Polyclonal
Specificity
The antibody detects endogenous levels of total KIF2A protein.
Purity/Purification
Antigen affinity purification.
Form/Format
Rabbit IgG in pH7.3 PBS, 0.05% NaN3, 50% Glycerol.
Concentration
3.1 mg/ml (varies by lot)
Sequence Length
744
Applicable Applications for anti-KIF2A antibody
IHC (Immunohistochemistry), WB (Western Blot)
Immunogen Type
Recombinant Protein
Immunogen Description
Fusion protein corresponding to residues near the N terminal of human kinesin heavy chain member 2A
Target Name
KIF2A
Preparation and Storage
Store at -20 degree C
Related Product Information for anti-KIF2A antibody
The protein encoded by this gene is a plus end-directed motor required for normal mitotic progression. The encoded protein is required for normal spindle activity during mitosis and is necessary for normal brain development. Several transcript variants encoding different isoforms have been found for this gene.
Product Categories/Family for anti-KIF2A antibody
NCBI and Uniprot Product Information
NCBI GI #
NCBI GeneID
NCBI Accession #
NCBI GenBank Nucleotide #
Molecular Weight
77,749 Da
NCBI Official Full Name
kinesin-like protein KIF2A isoform 2
NCBI Official Synonym Full Names
kinesin heavy chain member 2A
NCBI Official Symbol
KIF2A
NCBI Official Synonym Symbols
HK2; KIF2; CDCBM3
NCBI Protein Information
kinesin-like protein KIF2A
UniProt Protein Name
Kinesin-like protein KIF2A
UniProt Gene Name
KIF2A
UniProt Synonym Gene Names
KIF2; KNS2; hK2
UniProt Entry Name
KIF2A_HUMAN
Customer Reviews
Loading reviews...
Share Your Experience
Similar Products
Product Notes
The KIF2A kif2a (Catalog #AAA301060) is an Antibody produced from Rabbit and is intended for research purposes only. The product is available for immediate purchase. The KIF2A Antibody reacts with Human and may cross-react with other species as described in the data sheet. AAA Biotech's KIF2A can be used in a range of immunoassay formats including, but not limited to, IHC (Immunohistochemistry), WB (Western Blot). Researchers should empirically determine the suitability of the KIF2A kif2a for an application not listed in the data sheet. Researchers commonly develop new applications and it is an integral, important part of the investigative research process. It is sometimes possible for the material contained within the vial of "KIF2A, Polyclonal Antibody" to become dispersed throughout the inside of the vial, particularly around the seal of said vial, during shipment and storage. We always suggest centrifuging these vials to consolidate all of the liquid away from the lid and to the bottom of the vial prior to opening. Please be advised that certain products may require dry ice for shipping and that, if this is the case, an additional dry ice fee may also be required.Precautions
All products in the AAA Biotech catalog are strictly for research-use only, and are absolutely not suitable for use in any sort of medical, therapeutic, prophylactic, in-vivo, or diagnostic capacity. By purchasing a product from AAA Biotech, you are explicitly certifying that said products will be properly tested and used in line with industry standard. AAA Biotech and its authorized distribution partners reserve the right to refuse to fulfill any order if we have any indication that a purchaser may be intending to use a product outside of our accepted criteria.Disclaimer
Though we do strive to guarantee the information represented in this datasheet, AAA Biotech cannot be held responsible for any oversights or imprecisions. AAA Biotech reserves the right to adjust any aspect of this datasheet at any time and without notice. It is the responsibility of the customer to inform AAA Biotech of any product performance issues observed or experienced within 30 days of receipt of said product. To see additional details on this or any of our other policies, please see our Terms & Conditions page.Item has been added to Shopping Cart
If you are ready to order, navigate to Shopping Cart and get ready to checkout.
