anti-Mouse, Rat MAD1 Polyclonal Antibody | anti-MAD1 antibody
Anti-MAD1 Antibody
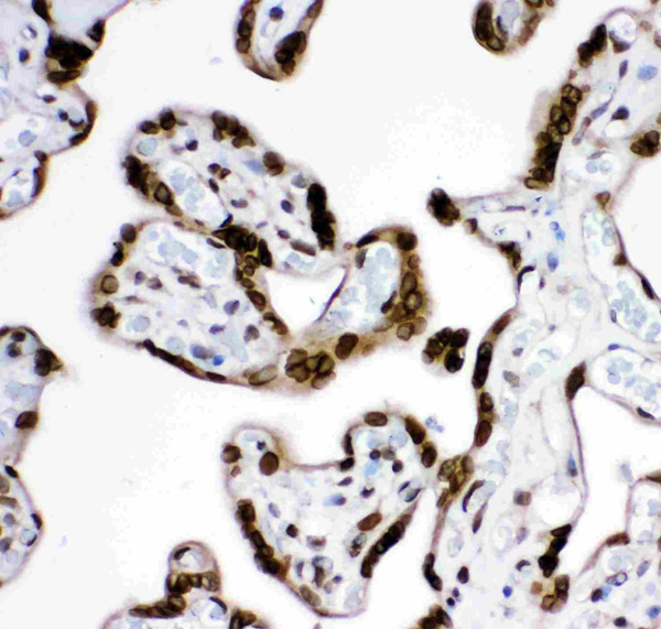
IHC (Immunohistochemisry)
(Anti- MAD1 Picoband antibody, AAA46342, IHC(P)IHC(P): Human Placenta Tissue)
WB (Western Blot)
(Anti- MAD1 Picoband antibody, AAA46342, Western blottingAll lanes: Anti MAD1 (AAA46342) at 0.5ug/mlLane 1: A549 Whole Cell Lysate at 40ugLane 2: JURKAT Whole Cell Lysate at 40ugLane 3: HELA Whole Cell Lysate at 40ugLane 4: 293T Whole Cell Lysate at 40ugLane 5: SHG Whole Cell Lysate at 40ugLane 6: 22RV1 Whole Cell Lysate at 40ugLane 7: PANC Whole Cell Lysate at 40ugPredicted bind size: 83KDObserved bind size: 83KD)
WB (Western Blot)
(Anti- MAD1 Picoband antibody, AAA46342, Western blottingAll lanes: Anti MAD1 (AAA46342) at 0.5ug/mlWB: Recombinant Human MAD1 Protein 0.5ngPredicted bind size: 50KDObserved bind size: 50KD)
Background: Mitotic spindle assembly checkpoint protein MAD1 is a protein that in humans is encoded by the MAD1L1 gene. It is mapped to 7p22.3. MAD1L1 is a component of the mitotic spindle-assembly checkpoint that prevents the onset of anaphase until all chromosome are properly aligned at the metaphase plate. MAD1L1 can function as a homodimer. It localizes to the centrosome during metaphase and to the spindle midzone and the midbody during anaphase and telophase. MAD1L1 may also play a role in cell cycle control and tumor suppression.
NCBI and Uniprot Product Information
Customer Reviews
Loading reviews...
Share Your Experience
Similar Products
Product Notes
The MAD1 mad1l1 (Catalog #AAA46342) is an Antibody and is intended for research purposes only. The product is available for immediate purchase. The Anti-MAD1 Antibody reacts with Mouse, Rat and may cross-react with other species as described in the data sheet. AAA Biotech's MAD1 can be used in a range of immunoassay formats including, but not limited to, IHC (Immunohistochemistry), WB (Western Blot). Researchers should empirically determine the suitability of the MAD1 mad1l1 for an application not listed in the data sheet. Researchers commonly develop new applications and it is an integral, important part of the investigative research process. It is sometimes possible for the material contained within the vial of "MAD1, Polyclonal Antibody" to become dispersed throughout the inside of the vial, particularly around the seal of said vial, during shipment and storage. We always suggest centrifuging these vials to consolidate all of the liquid away from the lid and to the bottom of the vial prior to opening. Please be advised that certain products may require dry ice for shipping and that, if this is the case, an additional dry ice fee may also be required.Precautions
All products in the AAA Biotech catalog are strictly for research-use only, and are absolutely not suitable for use in any sort of medical, therapeutic, prophylactic, in-vivo, or diagnostic capacity. By purchasing a product from AAA Biotech, you are explicitly certifying that said products will be properly tested and used in line with industry standard. AAA Biotech and its authorized distribution partners reserve the right to refuse to fulfill any order if we have any indication that a purchaser may be intending to use a product outside of our accepted criteria.Disclaimer
Though we do strive to guarantee the information represented in this datasheet, AAA Biotech cannot be held responsible for any oversights or imprecisions. AAA Biotech reserves the right to adjust any aspect of this datasheet at any time and without notice. It is the responsibility of the customer to inform AAA Biotech of any product performance issues observed or experienced within 30 days of receipt of said product. To see additional details on this or any of our other policies, please see our Terms & Conditions page.Item has been added to Shopping Cart
If you are ready to order, navigate to Shopping Cart and get ready to checkout.
