Rabbit MBD2 Polyclonal Antibody | anti-MBD2 antibody
MBD2 antibody - middle region
WB (Western Blot)
(WB Suggested Anti-MBD2 Antibody Titration: 0.625ug/mlELISA Titer: 1:1562500Positive Control: HepG2 cell lysate)
WB (Western Blot)
(Lanes:Lane 1: 15ug WT mouse ES lysateLane 2: 15ug MBD2 KO mouse ES lysatePrimary Antibody Dilution:1:1000Secondary Antibody:Goat anti-rabbit-HRPSecondary Antibody Dilution:1:2500Gene Name:MBD2 aSubmitted by:Austin J. Cooney, Baylor College of Medicine)
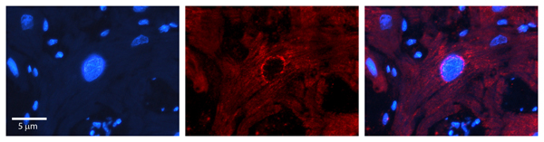
IHC (Immunohistochemistry)
(Rabbit Anti-MBD2 AntibodyFormalin Fixed Paraffin Embedded Tissue: Human heart TissueObserved Staining: NucleusPrimary Antibody Concentration: 1:100Other Working Concentrations: N/ASecondary Antibody: Donkey anti-Rabbit-Cy3Secondary Antibody Concentration: 1:200Magnification: 20XExposure Time: 0.5 - 2.0 sec)
Target Description: MBD2 belongs to a family of nuclear proteins related by the presence in each of a methyl-CpG binding domain (MBD). Each of these proteins, with the exception of MBD3, is capable of binding specifically to methylated DNA. MBD2 can also repress transcription from methylated gene promoters. MBD2 may function as a mediator of the biological consequences of the methylation signal.It is also reported that the MBD2 functions as a demethylase to activate transcription, as DNA methylation causes gene silencing.DNA methylation is the major modification of eukaryotic genomes and plays an essential role in mammalian development. Human proteins MECP2, MBD1, MBD2, MBD3, and MBD4 comprise a family of nuclear proteins related by the presence in each of a methyl-CpG binding domain (MBD). Each of these proteins, with the exception of MBD3, is capable of binding specifically to methylated DNA. MECP2, MBD1 and MBD2 can also repress transcription from methylated gene promoters. The protein encoded by this gene may function as a mediator of the biological consequences of the methylation signal. It is also reported that the this protein functions as a demethylase to activate transcription, as DNA methylation causes gene silencing.
NCBI and Uniprot Product Information
Customer Reviews
Loading reviews...
Share Your Experience
Similar Products
Product Notes
The MBD2 mbd2 (Catalog #AAA198568) is an Antibody produced from Rabbit and is intended for research purposes only. The product is available for immediate purchase. The MBD2 antibody - middle region reacts with Cow, Dog, Guinea Pig, Horse, Human, Mouse, Rabbit, Rat, Zebrafish and may cross-react with other species as described in the data sheet. AAA Biotech's MBD2 can be used in a range of immunoassay formats including, but not limited to, IHC (Immunohistochemistry), WB (Western Blot). Researchers should empirically determine the suitability of the MBD2 mbd2 for an application not listed in the data sheet. Researchers commonly develop new applications and it is an integral, important part of the investigative research process. The amino acid sequence is listed below: Synthetic peptide located within the following region: DCPALPPGWK KEEVIRKSGL SAGKSDVYYF SPSGKKFRSK PQLARYLGNT. It is sometimes possible for the material contained within the vial of "MBD2, Polyclonal Antibody" to become dispersed throughout the inside of the vial, particularly around the seal of said vial, during shipment and storage. We always suggest centrifuging these vials to consolidate all of the liquid away from the lid and to the bottom of the vial prior to opening. Please be advised that certain products may require dry ice for shipping and that, if this is the case, an additional dry ice fee may also be required.Precautions
All products in the AAA Biotech catalog are strictly for research-use only, and are absolutely not suitable for use in any sort of medical, therapeutic, prophylactic, in-vivo, or diagnostic capacity. By purchasing a product from AAA Biotech, you are explicitly certifying that said products will be properly tested and used in line with industry standard. AAA Biotech and its authorized distribution partners reserve the right to refuse to fulfill any order if we have any indication that a purchaser may be intending to use a product outside of our accepted criteria.Disclaimer
Though we do strive to guarantee the information represented in this datasheet, AAA Biotech cannot be held responsible for any oversights or imprecisions. AAA Biotech reserves the right to adjust any aspect of this datasheet at any time and without notice. It is the responsibility of the customer to inform AAA Biotech of any product performance issues observed or experienced within 30 days of receipt of said product. To see additional details on this or any of our other policies, please see our Terms & Conditions page.Item has been added to Shopping Cart
If you are ready to order, navigate to Shopping Cart and get ready to checkout.
