Rabbit MCL1 Polyclonal Antibody | anti-MCL1 antibody
MCL1 Polyclonal Antibody
Gene Names
MCL1; TM; EAT; MCL1L; MCL1S; Mcl-1; BCL2L3; MCL1-ES; bcl2-L-3; mcl1/EAT
Reactivity
Human, Mouse, Rat
Applications
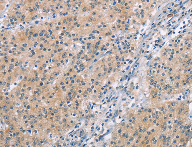
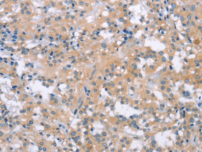
Immunohistochemistry, ELISA
Purity
Antigen affinity purification
Synonyms
MCL1, Antibody; MCL1 Polyclonal Antibody; TM; EAT; MCL1L; MCL1S; Mcl-1; BCL2L3; MCL1-ES; bcl2-L-3; mcl1/EAT; anti-MCL1 antibody
Host
Rabbit
Reactivity
Human, Mouse, Rat
Clonality
Polyclonal
Isotype
IgG
Purity/Purification
Antigen affinity purification
Concentration
4.2mg/mL (varies by lot)
Sequence Length
350
Applicable Applications for anti-MCL1 antibody
IHC (Immunohistochemistry), ELISA
Immunogen
Synthetic peptide of human MCL1
Buffer
PBS with 0.05% sodium azide, 50% glycerol, pH7.3
Preparation and Storage
Store at -20 degree C (regular) and -80 degree C (long term). Avoid freeze / thaw cycles.
Related Product Information for anti-MCL1 antibody
This gene encodes an anti-apoptotic protein, which is a member of the Bcl-2 family. Alternative splicing results in multiple transcript variants. The longest gene product (isoform 1) enhances cell survival by inhibiting apoptosis while the alternatively spliced shorter gene products (isoform 2 and isoform 3) promote apoptosis and are death-inducing.
Product Categories/Family for anti-MCL1 antibody
NCBI and Uniprot Product Information
NCBI GI #
NCBI GeneID
Molecular Weight
28,662 Da
NCBI Official Full Name
myeloid cell leukemia sequence 1
NCBI Official Synonym Full Names
myeloid cell leukemia 1
NCBI Official Symbol
MCL1
NCBI Official Synonym Symbols
TM; EAT; MCL1L; MCL1S; Mcl-1; BCL2L3; MCL1-ES; bcl2-L-3; mcl1/EAT
NCBI Protein Information
induced myeloid leukemia cell differentiation protein Mcl-1; bcl-2-like protein 3; bcl-2-related protein EAT/mcl1; myeloid cell leukemia ES; myeloid cell leukemia sequence 1 (BCL2-related)
UniProt Protein Name
Induced myeloid leukemia cell differentiation protein Mcl-1
UniProt Gene Name
MCL1
UniProt Synonym Gene Names
BCL2L3; Bcl2-L-3
UniProt Entry Name
MCL1_HUMAN
Similar Products
Product Notes
The MCL1 mcl1 (Catalog #AAA167091) is an Antibody produced from Rabbit and is intended for research purposes only. The product is available for immediate purchase. The MCL1 Polyclonal Antibody reacts with Human, Mouse, Rat and may cross-react with other species as described in the data sheet. AAA Biotech's MCL1 can be used in a range of immunoassay formats including, but not limited to, IHC (Immunohistochemistry), ELISA. Researchers should empirically determine the suitability of the MCL1 mcl1 for an application not listed in the data sheet. Researchers commonly develop new applications and it is an integral, important part of the investigative research process. It is sometimes possible for the material contained within the vial of "MCL1, Polyclonal Antibody" to become dispersed throughout the inside of the vial, particularly around the seal of said vial, during shipment and storage. We always suggest centrifuging these vials to consolidate all of the liquid away from the lid and to the bottom of the vial prior to opening. Please be advised that certain products may require dry ice for shipping and that, if this is the case, an additional dry ice fee may also be required.Precautions
All products in the AAA Biotech catalog are strictly for research-use only, and are absolutely not suitable for use in any sort of medical, therapeutic, prophylactic, in-vivo, or diagnostic capacity. By purchasing a product from AAA Biotech, you are explicitly certifying that said products will be properly tested and used in line with industry standard. AAA Biotech and its authorized distribution partners reserve the right to refuse to fulfill any order if we have any indication that a purchaser may be intending to use a product outside of our accepted criteria.Disclaimer
Though we do strive to guarantee the information represented in this datasheet, AAA Biotech cannot be held responsible for any oversights or imprecisions. AAA Biotech reserves the right to adjust any aspect of this datasheet at any time and without notice. It is the responsibility of the customer to inform AAA Biotech of any product performance issues observed or experienced within 30 days of receipt of said product. To see additional details on this or any of our other policies, please see our Terms & Conditions page.Item has been added to Shopping Cart
If you are ready to order, navigate to Shopping Cart and get ready to checkout.
