Rabbit MCL1 Polyclonal Antibody | anti-MCL1 antibody
MCL1 Antibody (BH3 Domain Specific)
Application Data
(Overlay histogram showing A431 cells stained with AP1312a (green line). The cells were fixed with 2% paraformaldehyde (10 min) and then permeabilized with 90% methanol for 10 min. The cells were then icubated in 2% bovine serum albumin to block non-specific protein-protein interactions followed by the antibody (AP1312a, 1:25 dilution) for 60 min at 37ºC. The secondary antibody used was Goat-Anti-Rabbit IgG, DyLight® 488 Conjugated Highly Cross-Adsorbed(OH191631) at 1/200 dilution for 40 min at 37ºC. Isotype control antibody (blue line) was rabbit IgG (1?g/1x10^6 cells) used under the same conditions. Acquisition of >10, 000 events was performed.)
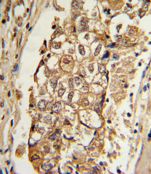
IHC (Immunohistochemisry)
(Formalin-fixed and paraffin-embedded human breast carcinoma with MCL1 Antibody (BH3 Domain Specific), which was peroxidase-conjugated to the secondary antibody, followed by DAB staining. This data demonstrates the use of this antibody for immunohistochemistry; clinical relevance has not been evaluated.)
WB (Western Blot)
(All lanes : Anti-MCL1 Antibody (BH3 Domain Specific) at 1:2000 dilution Lane 1: Raji whole cell lysate Lane 2: Ramos whole cell lysate Lane 3: A431 whole cell lysate Lane 4: F9 whole cell lysate Lane 5: rat heart lysate Lysates/proteins at 20 ug per lane. Secondary Goat Anti-Rabbit IgG, (H+L), Peroxidase conjugated at 1/10000 dilution. Predicted band size : 37 kDa Blocking/Dilution buffer: 5% NFDM/TBST.)
WB (Western Blot)
(All lanes : Anti-MCL1 Antibody (BH3 Domain Specific) at 1:2000 dilution Lane 1: Raji whole cell lysate Lane 2: Ramos whole cell lysate Lane 3: A431 whole cell lysate Lane 4: F9 whole cell lysate Lane 5: A20 whole cell lysate Lysates/proteins at 20 ug per lane. Secondary Goat Anti-Rabbit IgG, (H+L), Peroxidase conjugated at 1/10000 dilution. Predicted band size : 37 kDa Blocking/Dilution buffer: 5% NFDM/TBST.)
Kotelkin, A., et al., J. Virol. 77(17):9156-9172 (2003).
Erwert, R.D., et al., Microb. Pathog. 35(2):87-93 (2003).
Liu, H., et al., Blood 102(1):344-352 (2003).
Nijhawan, D., et al., Genes Dev. 17(12):1475-1486 (2003).
NCBI and Uniprot Product Information
Customer Reviews
Loading reviews...
Share Your Experience
Similar Products
Product Notes
The MCL1 mcl1 (Catalog #AAA286196) is an Antibody produced from Rabbit and is intended for research purposes only. The product is available for immediate purchase. The immunogen sequence is 191-226. The MCL1 Antibody (BH3 Domain Specific) reacts with Human, Mouse, Rat and may cross-react with other species as described in the data sheet. AAA Biotech's MCL1 can be used in a range of immunoassay formats including, but not limited to, WB (Western Blot), FCM/FACS (Flow Cytometry), IHC (Immunohistochemistry), ELISA. Researchers should empirically determine the suitability of the MCL1 mcl1 for an application not listed in the data sheet. Researchers commonly develop new applications and it is an integral, important part of the investigative research process. It is sometimes possible for the material contained within the vial of "MCL1, Polyclonal Antibody" to become dispersed throughout the inside of the vial, particularly around the seal of said vial, during shipment and storage. We always suggest centrifuging these vials to consolidate all of the liquid away from the lid and to the bottom of the vial prior to opening. Please be advised that certain products may require dry ice for shipping and that, if this is the case, an additional dry ice fee may also be required.Precautions
All products in the AAA Biotech catalog are strictly for research-use only, and are absolutely not suitable for use in any sort of medical, therapeutic, prophylactic, in-vivo, or diagnostic capacity. By purchasing a product from AAA Biotech, you are explicitly certifying that said products will be properly tested and used in line with industry standard. AAA Biotech and its authorized distribution partners reserve the right to refuse to fulfill any order if we have any indication that a purchaser may be intending to use a product outside of our accepted criteria.Disclaimer
Though we do strive to guarantee the information represented in this datasheet, AAA Biotech cannot be held responsible for any oversights or imprecisions. AAA Biotech reserves the right to adjust any aspect of this datasheet at any time and without notice. It is the responsibility of the customer to inform AAA Biotech of any product performance issues observed or experienced within 30 days of receipt of said product. To see additional details on this or any of our other policies, please see our Terms & Conditions page.Item has been added to Shopping Cart
If you are ready to order, navigate to Shopping Cart and get ready to checkout.
