Rabbit MED1 Polyclonal Antibody | anti-MED1 antibody
MED1 Antibody
Phosphate buffered saline, pH 7.4, 150mM NaCl, 0.02% sodium azide and 50% glycerol.
IF (Immunofluorescence)
(AAA323991 staining HuvEc cells by IF/ICC. The sample were fixed with PFA and permeabilized in 0.1% Triton X-100, then blocked in 10% serum for 45 minutes at 25 degree C. The primary antibody was diluted at 1/200 and incubated with the sample for 1 hour at 37 degree C. An Alexa Fluor 594 conjugated goat anti-rabbit IgG (H+L) antibody, diluted at 1/600, was used as secondary antibody.)
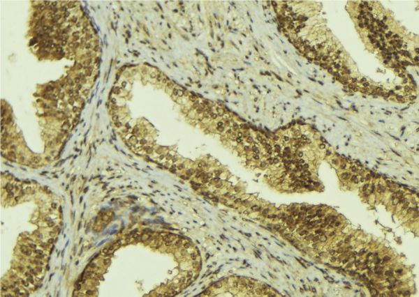
IHC (Immunohistochemistry)
(AAA323991 at 1/100 staining Mouse colon tissue by IHC-P. The sample was formaldehyde fixed and a heat mediated antigen retrieval step in citrate buffer was performed. The sample was then blocked and incubated with the antibody for 1.5 hours at 22 degree C. An HRP conjugated goat anti-rabbit antibody was used as the secondary.)
Subunit Structure: Component of the Mediator complex, which is composed of MED1, MED4, MED6, MED7, MED8, MED9, MED10, MED11, MED12, MED13, MED13L, MED14, MED15, MED16, MED17, MED18, MED19, MED20, MED21, MED22, MED23, MED24, MED25, MED26, MED27, MED29, MED30, MED31, CCNC, CDK8 and CDC2L6/CDK11. The MED12, MED13, CCNC and CDK8 subunits form a distinct module termed the CDK8 module. Mediator containing the CDK8 module is less active than Mediator lacking this module in supporting transcriptional activation. Individual preparations of the Mediator complex lacking one or more distinct subunits have been variously termed ARC, CRSP, DRIP, PC2, SMCC and TRAP. This subunit specifically interacts with a number of nuclear receptors in a ligand-dependent fashion including AR, ESR1, ESR2, PPARA, PPARG, RORA, RXRA, RXRG, THRA, THRB and VDR. Interacts with CTNNB1, GABPA, GLI3, PPARGC1A and TP53. Interacts with YWHAH. Interacts with CLOCK; this interaction requires the presence of THRAP3 (By similarity). Interacts with GATA1 and CCAR1. Interacts with NR4A3 (By similarity).
Post-translational Modifications: Phosphorylated by MAPK1 or MAPK3 during G2/M phase which may enhance protein stability and promote entry into the nucleolus.
Similarity: Belongs to the Mediator complex subunit 1 family.
NCBI and Uniprot Product Information
Predicted: 169 kDa
Customer Reviews
Loading reviews...
Share Your Experience
Similar Products
Product Notes
The MED1 med1 (Catalog #AAA323991) is an Antibody produced from Rabbit and is intended for research purposes only. The product is available for immediate purchase. The MED1 Antibody reacts with Human, Mouse, Rat and may cross-react with other species as described in the data sheet. AAA Biotech's MED1 can be used in a range of immunoassay formats including, but not limited to, ELISA, ICC (Immunocytochemistry), IF (Immunofluorescence), IHC (Immunohistochemistry), WB (Western Blot). Researchers should empirically determine the suitability of the MED1 med1 for an application not listed in the data sheet. Researchers commonly develop new applications and it is an integral, important part of the investigative research process. It is sometimes possible for the material contained within the vial of "MED1, Polyclonal Antibody" to become dispersed throughout the inside of the vial, particularly around the seal of said vial, during shipment and storage. We always suggest centrifuging these vials to consolidate all of the liquid away from the lid and to the bottom of the vial prior to opening. Please be advised that certain products may require dry ice for shipping and that, if this is the case, an additional dry ice fee may also be required.Precautions
All products in the AAA Biotech catalog are strictly for research-use only, and are absolutely not suitable for use in any sort of medical, therapeutic, prophylactic, in-vivo, or diagnostic capacity. By purchasing a product from AAA Biotech, you are explicitly certifying that said products will be properly tested and used in line with industry standard. AAA Biotech and its authorized distribution partners reserve the right to refuse to fulfill any order if we have any indication that a purchaser may be intending to use a product outside of our accepted criteria.Disclaimer
Though we do strive to guarantee the information represented in this datasheet, AAA Biotech cannot be held responsible for any oversights or imprecisions. AAA Biotech reserves the right to adjust any aspect of this datasheet at any time and without notice. It is the responsibility of the customer to inform AAA Biotech of any product performance issues observed or experienced within 30 days of receipt of said product. To see additional details on this or any of our other policies, please see our Terms & Conditions page.Item has been added to Shopping Cart
If you are ready to order, navigate to Shopping Cart and get ready to checkout.
