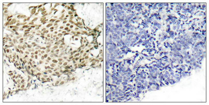
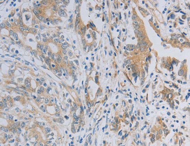
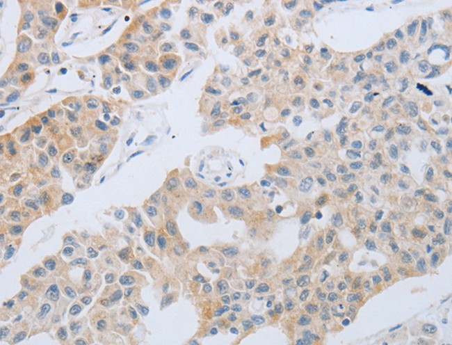
Rabbit anti-Human NBS1/NBN Polyclonal Antibody | anti-NBS1/NBN antibody
NBS1/NBN Polyclonal Antibody
Gene Names
NBN; ATV; NBS; P95; NBS1; AT-V1; AT-V2
Reactivity
Human
Applications
Immunofluorescence, Western Blot
Purity
Affinity purification
Synonyms
NBS1/NBN, Antibody; NBS1/NBN Polyclonal Antibody; NBN; AT-V1; AT-V2; ATV; NBS; NBS1; P95; nibrin; anti-NBS1/NBN antibody
Host
Rabbit
Reactivity
Human
Clonality
Polyclonal
Isotype
IgG
Purity/Purification
Affinity purification
Form/Format
PBS with 0.02% sodium azide,50% glycerol,pH7.3.
Concentration
1mg/mL (varies by lot)
Applicable Applications for anti-NBS1/NBN antibody
IF (Immunofluorescence), WB (Western Blot)
Immunogen
A synthetic peptide of human NBS1/NBN
Research Area
Cancer, Epigenetics and Nuclear Signaling
Preparation and Storage
Storage: -20 degree C/One year. Avoid freeze/thaw cycles.
Related Product Information for anti-NBS1/NBN antibody
Mutations in this gene are associated with Nijmegen breakage syndrome, an autosomal recessive chromosomal instability syndrome characterized by microcephaly, growth retardation, immunodeficiency, and cancer predisposition. The encoded protein is member of the MRE11/RAD50 double-strand break repair complex which consists of 5 proteins. This gene product is thought to be involved in DNA double-strand break repair and DNA damage-induced checkpoint activation.
Product Categories/Family for anti-NBS1/NBN antibody
NCBI and Uniprot Product Information
NCBI GI #
NCBI GeneID
NCBI Accession #
NCBI GenBank Nucleotide #
Molecular Weight
84,959 Da
NCBI Official Full Name
nibrin
NCBI Official Synonym Full Names
nibrin
NCBI Official Symbol
NBN
NCBI Official Synonym Symbols
ATV; NBS; P95; NBS1; AT-V1; AT-V2
NCBI Protein Information
nibrin; cell cycle regulatory protein p95; Nijmegen breakage syndrome 1 (nibrin); p95 protein of the MRE11/RAD50 complex
UniProt Protein Name
Nibrin
UniProt Gene Name
NBN
UniProt Synonym Gene Names
NBS; NBS1; P95
UniProt Entry Name
NBN_HUMAN
Similar Products
Product Notes
The NBS1/NBN nbn (Catalog #AAA179334) is an Antibody produced from Rabbit and is intended for research purposes only. The product is available for immediate purchase. The NBS1/NBN Polyclonal Antibody reacts with Human and may cross-react with other species as described in the data sheet. AAA Biotech's NBS1/NBN can be used in a range of immunoassay formats including, but not limited to, IF (Immunofluorescence), WB (Western Blot). Researchers should empirically determine the suitability of the NBS1/NBN nbn for an application not listed in the data sheet. Researchers commonly develop new applications and it is an integral, important part of the investigative research process. It is sometimes possible for the material contained within the vial of "NBS1/NBN, Polyclonal Antibody" to become dispersed throughout the inside of the vial, particularly around the seal of said vial, during shipment and storage. We always suggest centrifuging these vials to consolidate all of the liquid away from the lid and to the bottom of the vial prior to opening. Please be advised that certain products may require dry ice for shipping and that, if this is the case, an additional dry ice fee may also be required.Precautions
All products in the AAA Biotech catalog are strictly for research-use only, and are absolutely not suitable for use in any sort of medical, therapeutic, prophylactic, in-vivo, or diagnostic capacity. By purchasing a product from AAA Biotech, you are explicitly certifying that said products will be properly tested and used in line with industry standard. AAA Biotech and its authorized distribution partners reserve the right to refuse to fulfill any order if we have any indication that a purchaser may be intending to use a product outside of our accepted criteria.Disclaimer
Though we do strive to guarantee the information represented in this datasheet, AAA Biotech cannot be held responsible for any oversights or imprecisions. AAA Biotech reserves the right to adjust any aspect of this datasheet at any time and without notice. It is the responsibility of the customer to inform AAA Biotech of any product performance issues observed or experienced within 30 days of receipt of said product. To see additional details on this or any of our other policies, please see our Terms & Conditions page.Item has been added to Shopping Cart
If you are ready to order, navigate to Shopping Cart and get ready to checkout.
