Rabbit Nkx2-5 Polyclonal Antibody | anti-NKX2-5 antibody
Nkx2-5 antibody - N-terminal region
WB (Western Blot)
(WB Suggested Anti-Nkx2-5 Antibody Titration: 0.2-1 ug/mlELISA Titer: 1:312500Positive Control: MCF7 cell lysate)
WB (Western Blot)
(Host: MouseTarget Name: NKX2-5Sample Tissue: Mouse HeartAntibody Dilution: 1ug/ml)
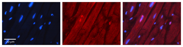
IHC (Immunohistochemistry)
(Rabbit Anti-NKX2-5 AntibodyFormalin Fixed Paraffin Embedded Tissue: Human Heart Muscle TissueObserved Staining: NucleusPrimary Antibody Concentration: 1:100Other Working Concentrations: 1:600Secondary Antibody: Donkey anti-Rabbit-Cy3Secondary Antibody Concentration: 1:200Magnification: 20XExposure Time: 0.5 - 2.0 sec)
Target Description: Homeobox-containing genes play critical roles in regulating tissue-specific gene expression essential for tissue differentiation, as well as determining the temporal and spatial patterns of development. It has been demonstrated that a Drosophila homeobox-containing gene called 'tinman' is expressed in the developing dorsal vessel and in the equivalent of the vertebrate heart. Mutations in tinman result in loss of heart formation in the embryo, suggesting that tinman is essential for Drosophila heart formation. Furthermore, abundant expression of Csx, the presumptive mouse homolog of tinman, is observed only in the heart from the time of cardiac differentiation. CSX, the human homolog of murine Csx, has a homeodomain sequence identical to that of Csx and is expressed only in the heart, again suggesting that CSX plays an important role in human heart formation.Homeobox-containing genes play critical roles in regulating tissue-specific gene expression essential for tissue differentiation, as well as determining the temporal and spatial patterns of development (Shiojima et al., 1995 [PubMed 7665173]). It has been demonstrated that a Drosophila homeobox-containing gene called 'tinman' is expressed in the developing dorsal vessel and in the equivalent of the vertebrate heart. Mutations in tinman result in loss of heart formation in the embryo, suggesting that tinman is essential for Drosophila heart formation. Furthermore, abundant expression of Csx, the presumptive mouse homolog of tinman, is observed only in the heart from the time of cardiac differentiation. CSX, the human homolog of murine Csx, has a homeodomain sequence identical to that of Csx and is expressed only in the heart, again suggesting that CSX plays an important role in human heart formation.[supplied by OMIM]. Publication Note: This RefSeq record includes a subset of the publications that are available for this gene. Please see the Entrez Gene record to access additional publications. PRIMARYREFSEQ_SPAN PRIMARY_IDENTIFIER PRIMARY_SPAN COMP 1-1211 U34962.1 1-1211 1212-1585 BC025711.1 1143-1516
NCBI and Uniprot Product Information
Customer Reviews
Loading reviews...
Share Your Experience
Similar Products
Product Notes
The NKX2-5 nkx2-5 (Catalog #AAA197189) is an Antibody produced from Rabbit and is intended for research purposes only. The product is available for immediate purchase. The Nkx2-5 antibody - N-terminal region reacts with Cow, Dog, Guinea Pig, Horse, Human, Mouse, Rabbit, Rat and may cross-react with other species as described in the data sheet. AAA Biotech's Nkx2-5 can be used in a range of immunoassay formats including, but not limited to, WB (Western Blot). Researchers should empirically determine the suitability of the NKX2-5 nkx2-5 for an application not listed in the data sheet. Researchers commonly develop new applications and it is an integral, important part of the investigative research process. The amino acid sequence is listed below: Synthetic peptide located within the following region: ELGRAPSPAK CASAFPAAPA FYPRAYSDPD PAKDPRAEKK ELCALQKAVE. It is sometimes possible for the material contained within the vial of "Nkx2-5, Polyclonal Antibody" to become dispersed throughout the inside of the vial, particularly around the seal of said vial, during shipment and storage. We always suggest centrifuging these vials to consolidate all of the liquid away from the lid and to the bottom of the vial prior to opening. Please be advised that certain products may require dry ice for shipping and that, if this is the case, an additional dry ice fee may also be required.Precautions
All products in the AAA Biotech catalog are strictly for research-use only, and are absolutely not suitable for use in any sort of medical, therapeutic, prophylactic, in-vivo, or diagnostic capacity. By purchasing a product from AAA Biotech, you are explicitly certifying that said products will be properly tested and used in line with industry standard. AAA Biotech and its authorized distribution partners reserve the right to refuse to fulfill any order if we have any indication that a purchaser may be intending to use a product outside of our accepted criteria.Disclaimer
Though we do strive to guarantee the information represented in this datasheet, AAA Biotech cannot be held responsible for any oversights or imprecisions. AAA Biotech reserves the right to adjust any aspect of this datasheet at any time and without notice. It is the responsibility of the customer to inform AAA Biotech of any product performance issues observed or experienced within 30 days of receipt of said product. To see additional details on this or any of our other policies, please see our Terms & Conditions page.Item has been added to Shopping Cart
If you are ready to order, navigate to Shopping Cart and get ready to checkout.
