Rabbit NPM Polyclonal Antibody | anti-NPM antibody
Phospho-NPM (Ser10) Antibody
Predicted: Pig, Bovine, Horse, Rabbit, Dog, Chicken
Predicted: Pig, Bovine, Horse, Rabbit, Dog, Chicken
WB (Western Blot)
(Western blot analysis of Phospho-NPM (Ser10) in lysates of HeLa?, using Phospho-NPM (Ser10) Antibody.)
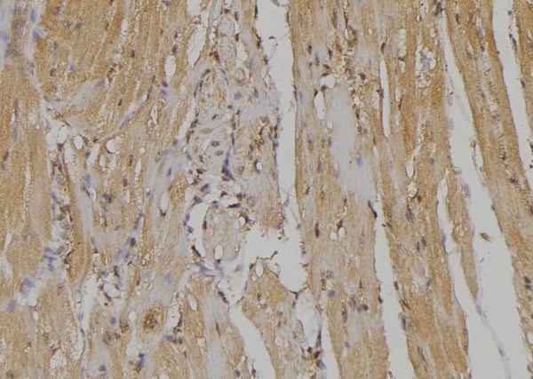
IHC (Immunohistochemisry)
(At 1/100 staining mouse heart tissue sections by IHC-P. The tissue was formaldehyde fixed and a heat mediated antigen retrieval step in citrate buffer was performed. The tissue was then blocked and incubated with the antibody for 1.5 hours at 22 degree C. An HRP conjugated goat anti-rabbit antibody was used as the secondary)
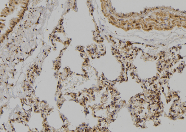
IHC (Immunohiostchemistry)
(At 1/100 staining rat lung tissue sections by IHC-P. The tissue was formaldehyde fixed and a heat mediated antigen retrieval step in citrate buffer was performed. The tissue was then blocked and incubated with the antibody for 1.5 hours at 22 degree C. An HRP conjugated goat anti-rabbit antibody was used as the secondary)
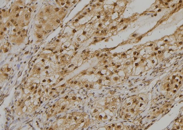
IHC (Immunohistochemistry)
(At 1/100 staining human kidney tissue sections by IHC-P. The tissue was formaldehyde fixed and a heat mediated antigen retrieval step in citrate buffer was performed. The tissue was then blocked and incubated with the antibody for 1.5 hours at 22 degree C. An HRP conjugated goat anti-rabbit antibody was used as the secondary)
Post Translational Modifications: Acetylated at C-terminal lysine residues, thereby increasing affinity to histones. ADP-ribosylated. Phosphorylated at Ser-4 by PLK1 and PLK2. Phosphorylation at Ser-4 by PLK2 in S phase is required for centriole duplication and is sufficient to trigger centriole replication. Phosphorylation at Ser-4 by PLK1 takes place during mitosis. Phosphorylated by CDK2 at Ser-125 and Thr-199. Phosphorylation at Thr-199 may trigger initiation of centrosome duplication. Phosphorylated by CDK1 at Thr-199, Thr-219, Thr-234 and Thr-237 during cell mitosis. When these four sites are phosphorated, RNA-binding activity seem to be abolished. May be phosphorylated at Ser-70 by NEK2. The Thr-199 phosphorylated form has higher affinity for ROCK2. CDK6 triggers Thr-199 phosphorylation when complexed to Kaposi's sarcoma herpesvirus (KSHV) V-cyclin, leading to viral reactivation by reducing viral LANA levels. Sumoylated by ARF. Ubiquitinated. Ubiquitination leads to proteasomal degradation. Deubiquitinated by USP36 (PubMed:19208757).
Subunit Structure: Decamer formed by two pentameric rings associated in a head-to-head fashion (By similarity). Disulfide-linked dimers under certain conditions (PubMed:25818168). The SWAP complex consists of NPM1, NCL, PARP1 and SWAP70 (By similarity). Interacts with NSUN2 and SENP3. Interacts with hepatitis delta virus S-HDAg. Interacts with HTLV1 Rex protein (via N-terminal nuclear localization signal). Interacts with the methylated form of RPS10. Interacts (via N-terminal domain) with APEX1; the interaction is RNA-dependent and decreases in hydrogen peroxide-damaged cells. Interacts with isoform 1 of NEK2. Interacts with ROCK2 and BRCA2. Interacts with RPGR. Interacts with CENPW. Interacts with EIF2AK2/PKR. Interacts with CEBPA (isoform 4) (PubMed:20075868). Interacts with DDX31; this interaction prevents interaction between NPM1 and HDM2 (PubMed:23019224). Interacts with MYC; competitive with NOP53 (PubMed:25956029). Interacts with NOP53; the interaction is direct and competitive with MYC (PubMed:25956029). Interacts with LRRC34 (By similarity). Interacts with RRP1B (PubMed:19710015, PubMed:20926688).
Similarity: Belongs to the nucleoplasmin family.
NCBI and Uniprot Product Information
Predicted: 33 kDa
Customer Reviews
Loading reviews...
Share Your Experience
Similar Products
Product Notes
The NPM npm1 (Catalog #AAA328368) is an Antibody produced from Rabbit and is intended for research purposes only. The product is available for immediate purchase. The Phospho-NPM (Ser10) Antibody reacts with Human, Mouse, Rat Predicted: Pig, Bovine, Horse, Rabbit, Dog, Chicken and may cross-react with other species as described in the data sheet. AAA Biotech's NPM can be used in a range of immunoassay formats including, but not limited to, ELISA (Peptide ELISA), IHC (Immunohistochemistry), WB (Western Blot). Researchers should empirically determine the suitability of the NPM npm1 for an application not listed in the data sheet. Researchers commonly develop new applications and it is an integral, important part of the investigative research process. It is sometimes possible for the material contained within the vial of "NPM, Polyclonal Antibody" to become dispersed throughout the inside of the vial, particularly around the seal of said vial, during shipment and storage. We always suggest centrifuging these vials to consolidate all of the liquid away from the lid and to the bottom of the vial prior to opening. Please be advised that certain products may require dry ice for shipping and that, if this is the case, an additional dry ice fee may also be required.Precautions
All products in the AAA Biotech catalog are strictly for research-use only, and are absolutely not suitable for use in any sort of medical, therapeutic, prophylactic, in-vivo, or diagnostic capacity. By purchasing a product from AAA Biotech, you are explicitly certifying that said products will be properly tested and used in line with industry standard. AAA Biotech and its authorized distribution partners reserve the right to refuse to fulfill any order if we have any indication that a purchaser may be intending to use a product outside of our accepted criteria.Disclaimer
Though we do strive to guarantee the information represented in this datasheet, AAA Biotech cannot be held responsible for any oversights or imprecisions. AAA Biotech reserves the right to adjust any aspect of this datasheet at any time and without notice. It is the responsibility of the customer to inform AAA Biotech of any product performance issues observed or experienced within 30 days of receipt of said product. To see additional details on this or any of our other policies, please see our Terms & Conditions page.Item has been added to Shopping Cart
If you are ready to order, navigate to Shopping Cart and get ready to checkout.
