Rabbit NR2C1 Polyclonal Antibody | anti-NR2C1 antibody
NR2C1 Antibody
Phosphate buffered saline, pH 7.4, 150mM NaCl, 0.02% sodium azide and 50% glycerol.
IHC (Immunohiostchemistry)
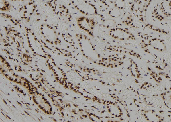
(AAA327677 at 1/100 staining Human kidney tissue by IHC-P. The sample was formaldehyde fixed and a heat mediated antigen retrieval step in citrate buffer was performed. The sample was then blocked and incubated with the antibody for 1.5 hours at 22 degree C. An HRP conjugated goat anti-rabbit antibody was used as the secondary.)
Subunit Structure: Homodimer (By similarity). Heterodimer; binds DNA as a heterodimer with NR2C2 required for chromatin remodeling and for binding to promoter regions such as globin DR1 repeats (By similarity). Interacts with NRIP1 (via its LXXLL motifs); the interaction provides corepressor activity. Interacts with HDAC3 (via the DNA-binding domain). Interacts with HDAC4 (via the DNA-binding domain). Interacts with PIAS1; the interaction is required for sumoylation of NR2C1. Interacts with UBE2I; the interaction is required for sumoylation of NR2C1. Interacts with KAT2B; the interaction acts as a corepressor of gene expression (By similarity). Interacts with ESR1; the interaction prevents homodimerization of ESR1 and suppresses its transcriptional activity and cell growth.
Post-translational Modifications: Sumoylation requires both PIAS1 and UBE2I. Sumoylation appears to dissociate NR2C1 from the PML nuclear bodies. Enhances the interaction with NRIP1 but inhibits interaction with KAT2B. In proliferating cells, stimulation by all-trans retinoic acid, activation of MAPK1-mediated phosphorylation and recruitment to PML bodies with subsequent sumoylation, suppresses OCT4 expression (By similarity). Phosphorylated on several serine and threonine residues. Phosphorylation on Thr-222, stimulated by all-trans retinoic acid (atRA) mediates PML location and sumoylation in proliferating cells which then modulates its association with effector molecules, KAT2B and NRIP1. Phosphorylation on Ser-581 by PKC is important for protein stability and function as activator of RARB (By similarity).
Similarity: Belongs to the nuclear hormone receptor family. NR2 subfamily.
NCBI and Uniprot Product Information
Predicted: 68 kDa
Customer Reviews
Loading reviews...
Share Your Experience
Similar Products
Product Notes
The NR2C1 nr2c1 (Catalog #AAA327677) is an Antibody produced from Rabbit and is intended for research purposes only. The product is available for immediate purchase. The NR2C1 Antibody reacts with Human, Mouse, Rat and may cross-react with other species as described in the data sheet. AAA Biotech's NR2C1 can be used in a range of immunoassay formats including, but not limited to, ELISA, IHC (Immunohistochemistry), WB (Western Blot). Researchers should empirically determine the suitability of the NR2C1 nr2c1 for an application not listed in the data sheet. Researchers commonly develop new applications and it is an integral, important part of the investigative research process. It is sometimes possible for the material contained within the vial of "NR2C1, Polyclonal Antibody" to become dispersed throughout the inside of the vial, particularly around the seal of said vial, during shipment and storage. We always suggest centrifuging these vials to consolidate all of the liquid away from the lid and to the bottom of the vial prior to opening. Please be advised that certain products may require dry ice for shipping and that, if this is the case, an additional dry ice fee may also be required.Precautions
All products in the AAA Biotech catalog are strictly for research-use only, and are absolutely not suitable for use in any sort of medical, therapeutic, prophylactic, in-vivo, or diagnostic capacity. By purchasing a product from AAA Biotech, you are explicitly certifying that said products will be properly tested and used in line with industry standard. AAA Biotech and its authorized distribution partners reserve the right to refuse to fulfill any order if we have any indication that a purchaser may be intending to use a product outside of our accepted criteria.Disclaimer
Though we do strive to guarantee the information represented in this datasheet, AAA Biotech cannot be held responsible for any oversights or imprecisions. AAA Biotech reserves the right to adjust any aspect of this datasheet at any time and without notice. It is the responsibility of the customer to inform AAA Biotech of any product performance issues observed or experienced within 30 days of receipt of said product. To see additional details on this or any of our other policies, please see our Terms & Conditions page.Item has been added to Shopping Cart
If you are ready to order, navigate to Shopping Cart and get ready to checkout.
