Rabbit anti-Human Nuclear receptor subfamily 2 group C member 1 Polyclonal Antibody | anti-NR2C1 antibody
Rabbit anti-human Nuclear receptor subfamily 2 group C member 1 polyclonal Antibody(NR2C1)
Gene Names
NR2C1; TR2
Reactivity
Human
Applications
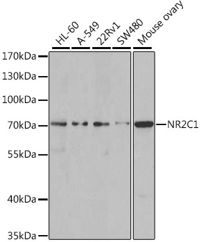
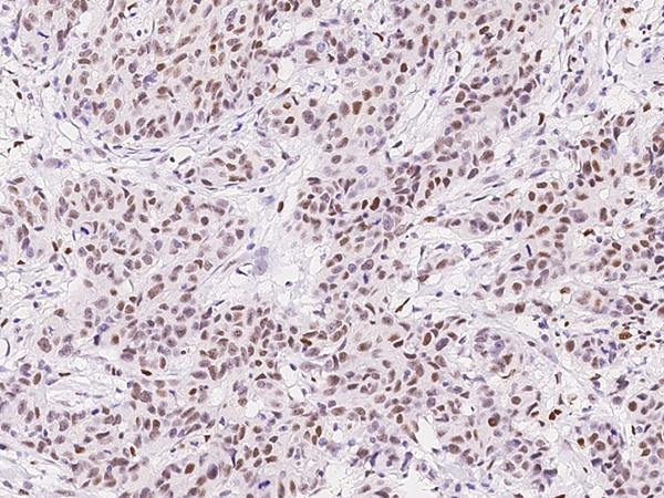
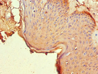
Immunohistochemistry, ELISA
Purity
Antigen Affinity Purified
Synonyms
Nuclear receptor subfamily 2 group C member 1, Antibody; Rabbit anti-human Nuclear receptor subfamily 2 group C member 1 polyclonal Antibody(NR2C1); Orphan nuclear receptor TR2; Testicular receptor 2; NR2C1; TR2; anti-NR2C1 antibody
Host
Rabbit
Reactivity
Human
Clonality
Polyclonal
Isotype
IgG
Purity/Purification
Antigen Affinity Purified
Sequence Length
467
Applicable Applications for anti-NR2C1 antibody
IHC (Immunohistochemistry), ELISA
Storage Buffer
PBS with 0.02% sodium azide, 50% glycerol, pH7.3.
Conjugate
Non-conjugated
Immunogen
Recombinant human Nuclear receptor subfamily 2 group C member 1 protein(1-240aa)
Santa Cruz Alternative
Potential replacement for Santa Cruz Biotechnology antibody catalog# sc-8618 / sc-8617 / sc-9087
Preparation and Storage
Shipped at 4 degree C. Upon delivery aliquot and store at -20 degree C or -80 degree C. Avoid repeated freeze.
Related Product Information for anti-NR2C1 antibody
Orphan nuclear receptor. Binds the IR7 element in the promoter of its own gene in an autoregulatory negative feedback mechanism. Primarily repressor of a broad range of genes. Binds to hormone response elements (HREs) consisting of two 5'-AGGTCA-3' half site direct repeat consensus sequences. Together with NR2C2, forms the core of the DRED (direct repeat erythroid-definitive) complex that represses embryonic and fetal globin transcription. Also activator of OCT4 gene expression. May be involved in stem cell proliferation and differentiation. Mediator of retinoic acid-regulated preadipocyte proliferation.
NCBI and Uniprot Product Information
NCBI GI #
NCBI GeneID
NCBI Accession #
NCBI GenBank Nucleotide #
Molecular Weight
53,042 Da
NCBI Official Full Name
nuclear receptor subfamily 2 group C member 1 isoform b
NCBI Official Synonym Full Names
nuclear receptor subfamily 2 group C member 1
NCBI Official Symbol
NR2C1
NCBI Official Synonym Symbols
TR2
NCBI Protein Information
nuclear receptor subfamily 2 group C member 1
UniProt Protein Name
Nuclear receptor subfamily 2 group C member 1
UniProt Gene Name
NR2C1
UniProt Synonym Gene Names
TR2
UniProt Entry Name
NR2C1_HUMAN
Customer Reviews
Loading reviews...
Share Your Experience
Similar Products
Product Notes
The NR2C1 nr2c1 (Catalog #AAA119822) is an Antibody produced from Rabbit and is intended for research purposes only. The product is available for immediate purchase. The Rabbit anti-human Nuclear receptor subfamily 2 group C member 1 polyclonal Antibody(NR2C1) reacts with Human and may cross-react with other species as described in the data sheet. AAA Biotech's Nuclear receptor subfamily 2 group C member 1 can be used in a range of immunoassay formats including, but not limited to, IHC (Immunohistochemistry), ELISA. Researchers should empirically determine the suitability of the NR2C1 nr2c1 for an application not listed in the data sheet. Researchers commonly develop new applications and it is an integral, important part of the investigative research process. It is sometimes possible for the material contained within the vial of "Nuclear receptor subfamily 2 group C member 1, Polyclonal Antibody" to become dispersed throughout the inside of the vial, particularly around the seal of said vial, during shipment and storage. We always suggest centrifuging these vials to consolidate all of the liquid away from the lid and to the bottom of the vial prior to opening. Please be advised that certain products may require dry ice for shipping and that, if this is the case, an additional dry ice fee may also be required.Precautions
All products in the AAA Biotech catalog are strictly for research-use only, and are absolutely not suitable for use in any sort of medical, therapeutic, prophylactic, in-vivo, or diagnostic capacity. By purchasing a product from AAA Biotech, you are explicitly certifying that said products will be properly tested and used in line with industry standard. AAA Biotech and its authorized distribution partners reserve the right to refuse to fulfill any order if we have any indication that a purchaser may be intending to use a product outside of our accepted criteria.Disclaimer
Though we do strive to guarantee the information represented in this datasheet, AAA Biotech cannot be held responsible for any oversights or imprecisions. AAA Biotech reserves the right to adjust any aspect of this datasheet at any time and without notice. It is the responsibility of the customer to inform AAA Biotech of any product performance issues observed or experienced within 30 days of receipt of said product. To see additional details on this or any of our other policies, please see our Terms & Conditions page.Item has been added to Shopping Cart
If you are ready to order, navigate to Shopping Cart and get ready to checkout.
