Rabbit anti-Rat, Human NTRK3/TRKC Polyclonal Antibody | anti-NTRK3 antibody
NTRK3/TRKC Rabbit anti-Human Polyclonal (C-Terminus) Antibody
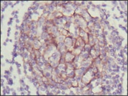
IHC (Immunohiostchemistry)
(NTRK3/TRKC Antibody-Human Brain, Cerebellum: Formalin-Fixed, Paraffin-Embedded (FFPE))
WB (Western Blot)
(NTRK3/TRKC Antibody-Fetal liver lysate. Antibody concentration: 1.0 ug/ml. Gel concentration: 12%. This image was taken for the unconjugated form of this product. Other forms have not been tested.)
NTRK3 (TRK3, Tropomyosin receptor kinase C) is a neurotrophic tyrosine kinase receptor for neurotrophin NT-3. NTRK3 functions in the differentiation and survival of neurons. NTRK3 is also involved in regulating eating behavior and genetic variants in NTRK3 are associated with eating disorders. NTRK3 seems to be important for the development and plasticity of brain systems related to emotionality, and dosage imbalance of NTRK3 expression (and inter-individual variability in expression) may determine susceptibility to panic disorders and other related diseases. In congenital mesoblastic nephroma, NTRK3-ETV6 gene fusions commonly occur in the cellular histological type of mesoblastic nephroma and are associated with greater relapse-free survival. In immunohistochemistry, NTRK3 has highest nuclear and cytoplasmic positivity in the cerebral cortex in the brain, and it is also found throughout the central nervous system and at lower levels throughout the body.
NCBI and Uniprot Product Information
Customer Reviews
Loading reviews...
Share Your Experience
Similar Products
Product Notes
The NTRK3 ntrk3 (Catalog #AAA162647) is an Antibody produced from Rabbit and is intended for research purposes only. The product is available for immediate purchase. The NTRK3/TRKC Rabbit anti-Human Polyclonal (C-Terminus) Antibody reacts with Rat, Human and may cross-react with other species as described in the data sheet. AAA Biotech's NTRK3/TRKC can be used in a range of immunoassay formats including, but not limited to, WB (Western Blot), IHC (Immunohistochemistry), IHC (Immunohistochemistry). Researchers should empirically determine the suitability of the NTRK3 ntrk3 for an application not listed in the data sheet. Researchers commonly develop new applications and it is an integral, important part of the investigative research process. It is sometimes possible for the material contained within the vial of "NTRK3/TRKC, Polyclonal Antibody" to become dispersed throughout the inside of the vial, particularly around the seal of said vial, during shipment and storage. We always suggest centrifuging these vials to consolidate all of the liquid away from the lid and to the bottom of the vial prior to opening. Please be advised that certain products may require dry ice for shipping and that, if this is the case, an additional dry ice fee may also be required.Precautions
All products in the AAA Biotech catalog are strictly for research-use only, and are absolutely not suitable for use in any sort of medical, therapeutic, prophylactic, in-vivo, or diagnostic capacity. By purchasing a product from AAA Biotech, you are explicitly certifying that said products will be properly tested and used in line with industry standard. AAA Biotech and its authorized distribution partners reserve the right to refuse to fulfill any order if we have any indication that a purchaser may be intending to use a product outside of our accepted criteria.Disclaimer
Though we do strive to guarantee the information represented in this datasheet, AAA Biotech cannot be held responsible for any oversights or imprecisions. AAA Biotech reserves the right to adjust any aspect of this datasheet at any time and without notice. It is the responsibility of the customer to inform AAA Biotech of any product performance issues observed or experienced within 30 days of receipt of said product. To see additional details on this or any of our other policies, please see our Terms & Conditions page.Item has been added to Shopping Cart
If you are ready to order, navigate to Shopping Cart and get ready to checkout.
