Rabbit anti-Human, Mouse OPRM1 Polyclonal Antibody | anti-OPRM1 antibody
OPRM1 Antibody
Phosphate buffered saline, pH 7.4, 150mM NaCl, 0.02% sodium azide and 50% glycerol.
IF (Immunofluorescence)
(AAA325649 staining HeLa cells by ICC/IF. Cells were fixed with PFA and permeabilized in 0.1% saponin prior to blocking in 10% serum for 45 minutes at 37 degree C. The primary antibody was diluted 1/200 and incubated with the sample for 1 hour at 37 degree C. A Alexa Fluor 594 conjugated goat polyclonal to rabbit IgG (H+L), diluted 1/600 was used as secondary antibody.)
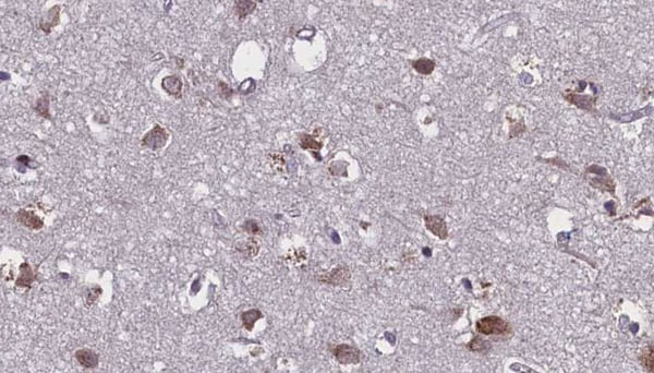
IHC (Immunohistochemistry)
(AAA325649 at 1/100 staining Human brain cancer tissue by IHC-P. The sample was formaldehyde fixed and a heat mediated antigen retrieval step in citrate buffer was performed. The sample was then blocked and incubated with the antibody for 1.5 hours at 22 degree C. An HRP conjugated goat anti-rabbit antibody was used as the secondary.)
Subunit Structure: Forms homooligomers and heterooligomers with other GPCRs, such as OPRD1, OPRK1, OPRL1, NPFFR2, ADRA2A, SSTR2, CNR1 and CCR5 (probably in dimeric forms) (PubMed:12413885, PubMed:15778451, PubMed:15967873, PubMed:17224450). Interacts with heterotrimeric G proteins; interaction with a heterotrimeric complex containing GNAI1, GNB1 and GNG2 stabilizes the active conformation of the receptor and increases its affinity for endomorphin-2, the synthetic opioid peptide DAMGO and for morphinan agonists (By similarity). Interacts with PPL; the interaction disrupts agonist-mediated G-protein activation (PubMed:12810704). Interacts (via C-terminus) with DNAJB4 (via C-terminus) (PubMed:16542645). Interacts with calmodulin; the interaction inhibits the constitutive activity of OPRM1; it abolishes basal and attenuates agonist-stimulated G-protein coupling (PubMed:10419536, PubMed:10899953). Interacts with FLNA, PLD2, RANBP9 and WLS and GPM6A (PubMed:12519790, PubMed:14573758, PubMed:19788913, PubMed:20214800). Interacts with RTP4 (By similarity). Interacts with SYP and GNAS (By similarity). Interacts with RGS9, RGS17, RGS20, RGS4, PPP1R9B and HINT1 (By similarity).
Post-translational Modifications: Phosphorylated. Differentially phosphorylated in basal and agonist-induced conditions. Agonist-mediated phosphorylation modulates receptor internalization. Phosphorylated by GRK2 in a agonist-dependent manner. Phosphorylation at Tyr-168 requires receptor activation, is dependent on non-receptor protein tyrosine kinase Src and results in a decrease in agonist efficacy by reducing G-protein coupling efficiency. Phosphorylated on tyrosine residues; the phosphorylation is involved in agonist-induced G-protein-independent receptor down-regulation. Phosphorylation at Ser-377 is involved in G-protein-dependent but not beta-arrestin-dependent activation of the ERK pathway (By similarity). Ubiquitinated. A basal ubiquitination seems not to be related to degradation. Ubiquitination is increased upon formation of OPRM1:OPRD1 oligomers leading to proteasomal degradation; the ubiquitination is diminished by RTP4.
Similarity: Belongs to the G-protein coupled receptor 1 family.
NCBI and Uniprot Product Information
Predicted: 45 kDa
Customer Reviews
Loading reviews...
Share Your Experience
Similar Products
Product Notes
The OPRM1 oprm1 (Catalog #AAA325649) is an Antibody produced from Rabbit and is intended for research purposes only. The product is available for immediate purchase. The OPRM1 Antibody reacts with Human, Mouse and may cross-react with other species as described in the data sheet. AAA Biotech's OPRM1 can be used in a range of immunoassay formats including, but not limited to, ELISA, ICC (Immunocytochemistry), IF (Immunofluorescence), IHC (Immunohistochemistry), WB (Western Blot). Researchers should empirically determine the suitability of the OPRM1 oprm1 for an application not listed in the data sheet. Researchers commonly develop new applications and it is an integral, important part of the investigative research process. It is sometimes possible for the material contained within the vial of "OPRM1, Polyclonal Antibody" to become dispersed throughout the inside of the vial, particularly around the seal of said vial, during shipment and storage. We always suggest centrifuging these vials to consolidate all of the liquid away from the lid and to the bottom of the vial prior to opening. Please be advised that certain products may require dry ice for shipping and that, if this is the case, an additional dry ice fee may also be required.Precautions
All products in the AAA Biotech catalog are strictly for research-use only, and are absolutely not suitable for use in any sort of medical, therapeutic, prophylactic, in-vivo, or diagnostic capacity. By purchasing a product from AAA Biotech, you are explicitly certifying that said products will be properly tested and used in line with industry standard. AAA Biotech and its authorized distribution partners reserve the right to refuse to fulfill any order if we have any indication that a purchaser may be intending to use a product outside of our accepted criteria.Disclaimer
Though we do strive to guarantee the information represented in this datasheet, AAA Biotech cannot be held responsible for any oversights or imprecisions. AAA Biotech reserves the right to adjust any aspect of this datasheet at any time and without notice. It is the responsibility of the customer to inform AAA Biotech of any product performance issues observed or experienced within 30 days of receipt of said product. To see additional details on this or any of our other policies, please see our Terms & Conditions page.Item has been added to Shopping Cart
If you are ready to order, navigate to Shopping Cart and get ready to checkout.
