Rabbit p107 Polyclonal Antibody | anti-RBL1 antibody
Anti-p107 antibody
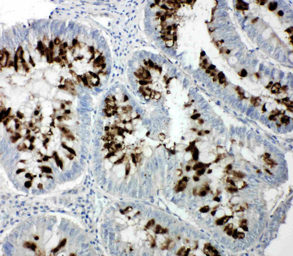
IHC (Immunohiostchemistry)
(Anti-p107 antibody, AAA45421, IHC(P)IHC(P): Human Intestinal Cancer Tissue)
WB (Western Blot)
(Anti-p107 antibody, AAA45421, Western blottingLane 1: 239T Cell LysateLane 2: JURKAT Cell Lysate)
Background: RBL1(Retinoblastoma-like 1), also known as Cullular Proteins p107, CP107 and 107, is a protein that in humans is encoded by the RBL1 gene. Ewen et al.(1991)used a partial cDNA for human p107 to map the gene to 20q11. by fluorescence in situ hybridization. Huppi et al.(1996)found that the mouse Rbl1 gene maps to the distal end of chromosome 2, as does also the E2f1 gene. The protein encoded by this gene is similar in sequence and possibly function to the product of the retinoblastoma 1(RB1) gene. The RB1 gene product is a tumor suppressor protein that appears to be involved in cell cycle regulation, as it is phosphorylated in the S to M phase transition and is dephosphorylated in the G1 phase of the cell cycle. Both the RB1 protein and the product of this gene can form a complex with adenovirus E1A protein and SV40 Large T-antigen, with the SV40 large T-antigen binding only to the unphosphorylated form of each protein. In addition, both proteins can inhibit the transcription of cell cycle genes containing E2F binding sites in their promoters. Due to the sequence and biochemical similarities with the RB1 protein, it is though that the protein encoded by this gene may also be a tumor suppressor. Two transcript variants encoding different isoforms have been found for this gene.
NCBI and Uniprot Product Information
Customer Reviews
Loading reviews...
Share Your Experience
Similar Products
Product Notes
The RBL1 rbl1 (Catalog #AAA45421) is an Antibody produced from Rabbit and is intended for research purposes only. The product is available for immediate purchase. The Anti-p107 antibody reacts with Human, Mouse, Rat and may cross-react with other species as described in the data sheet. AAA Biotech's p107 can be used in a range of immunoassay formats including, but not limited to, IHC (Immunohistochemistry), WB (Western Blot). Researchers should empirically determine the suitability of the RBL1 rbl1 for an application not listed in the data sheet. Researchers commonly develop new applications and it is an integral, important part of the investigative research process. It is sometimes possible for the material contained within the vial of "p107, Polyclonal Antibody" to become dispersed throughout the inside of the vial, particularly around the seal of said vial, during shipment and storage. We always suggest centrifuging these vials to consolidate all of the liquid away from the lid and to the bottom of the vial prior to opening. Please be advised that certain products may require dry ice for shipping and that, if this is the case, an additional dry ice fee may also be required.Precautions
All products in the AAA Biotech catalog are strictly for research-use only, and are absolutely not suitable for use in any sort of medical, therapeutic, prophylactic, in-vivo, or diagnostic capacity. By purchasing a product from AAA Biotech, you are explicitly certifying that said products will be properly tested and used in line with industry standard. AAA Biotech and its authorized distribution partners reserve the right to refuse to fulfill any order if we have any indication that a purchaser may be intending to use a product outside of our accepted criteria.Disclaimer
Though we do strive to guarantee the information represented in this datasheet, AAA Biotech cannot be held responsible for any oversights or imprecisions. AAA Biotech reserves the right to adjust any aspect of this datasheet at any time and without notice. It is the responsibility of the customer to inform AAA Biotech of any product performance issues observed or experienced within 30 days of receipt of said product. To see additional details on this or any of our other policies, please see our Terms & Conditions page.Item has been added to Shopping Cart
If you are ready to order, navigate to Shopping Cart and get ready to checkout.
